Suppr超能文献

创伤性颈内动脉海绵窦瘘,表现为延迟出现的危及生命的鼻出血,通过假性动脉瘤实现鞍上颈内动脉与海绵窦之间的连通。

Traumatic Carotid Cavernous Fistula with a Connection between the Supraclinoid Internal Carotid Artery and Cavernous Sinus via a Pseudoaneurysm Presenting with Delayed Life-threatening Epistaxis.

作者信息

Ko Jun Kyeung, Lee Sang Weon, Lee Tae Hong, Choi Chang Hwa

机构信息

Department of Neurosurgery, Medical Research Institute, Pusan National University Hospital, Busan, Korea.

Department of Neurosurgery, Medical Research Institute, Pusan National University Yangsan Hospital, Yangsan, Korea.

出版信息

NMC Case Rep J. 2017 Mar 23;4(2):43-46. doi: 10.2176/nmccrj.cr.2016-0137. eCollection 2017 Apr.

Abstract

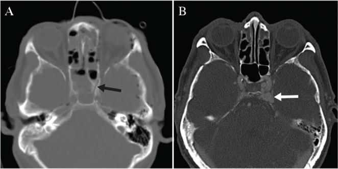
Traumatic carotid cavernous fistula (CCF) presents most commonly as a direct connection between the cavernous segment of internal carotid artery (ICA) and cavernous sinus (CS), and often accompanies basal skull fracture (BSF). The most frequently reported signs and symptoms are proptosis, chemosis, and bruit. Epistaxis is uncommon symptom of CCF. A 63-year-old man with a history of BSF due to blunt head trauma eight months previously was referred to our emergency room for massive epistaxis. Cerebral angiography demonstrated a high-flow CCF with a connection between the supraclinoid portion of left ICA and CS via a pseudoaneurysm, suggesting the life-threatening epistaxis had been caused by high-flow shunting, through the gap created by the BSF. After the complete obliteration of the pseudoaneurysm arising from the supraclinoid ICA by stent-assisted coil embolization, the CCF was no longer evident and epistaxis ceased. To the best of our knowledge, this is the first case of a traumatic CCF with a connection between the supraclinoid ICA and CS via a pseudoaneurysm, presenting with delayed life-threatening epistaxis.

摘要

创伤性颈动脉海绵窦瘘(CCF)最常见的表现是颈内动脉(ICA)海绵窦段与海绵窦(CS)之间的直接连接,且常伴有颅底骨折(BSF)。最常报道的体征和症状是眼球突出、结膜水肿和血管杂音。鼻出血是CCF的罕见症状。一名63岁男性,8个月前因钝性头部外伤有颅底骨折病史,因大量鼻出血被转诊至我院急诊室。脑血管造影显示为高流量CCF,左侧ICA鞍上部分通过假性动脉瘤与海绵窦相连,提示危及生命的鼻出血是由高流量分流通过颅底骨折造成的间隙引起的。通过支架辅助弹簧圈栓塞完全闭塞鞍上ICA产生的假性动脉瘤后,CCF不再明显,鼻出血停止。据我们所知,这是首例通过假性动脉瘤在鞍上ICA与海绵窦之间存在连接的创伤性CCF,并伴有延迟出现的危及生命的鼻出血。

https://cdn.ncbi.nlm.nih.gov/pmc/blobs/58e5/5453298/105c41c3bbb0/nmccrj-4-043-g001.jpg

相似文献

3
The use of a covered stent graft for obliteration of high-flow carotid cavernous fistula presenting with life-threatening epistaxis.
J Neurointerv Surg. 2009 Dec;1(2):142-5. doi: 10.1136/jnis.2009.001040. Epub 2009 Oct 30.
4
Sphenoid sinus pseudoaneurysm with carotid cavernous fistula presenting with delayed subarachnoid hemorrhage: A case report.
Medicine (Baltimore). 2021 Jun 18;100(24):e26383. doi: 10.1097/MD.0000000000026383.
7
Coils and onyx embolization of traumatic carotid-cavernous fistula caused by an intradural internal carotid artery pseudoaneurysm.
Neuroradiol J. 2012 May;25(2):231-6. doi: 10.1177/197140091202500214. Epub 2012 Apr 24.
8
Coil Embolisation of Post Traumatic Giant Supraclinoid Pseudoaneurysm Presenting as Carotid Cavernous Fistula.
Asian J Neurosurg. 2018 Oct-Dec;13(4):1244-1246. doi: 10.4103/ajns.AJNS_161_17.
9
Traumatic carotid-cavernous sinus fistula associated with an intradural pseudoaneurysm: a case report.
Surg Neurol. 1991 Aug;36(2):126-32. doi: 10.1016/0090-3019(91)90230-7.

引用本文的文献

1
Endovascular Treatment of Epistaxis.
Semin Intervent Radiol. 2020 Jun;37(2):150-156. doi: 10.1055/s-0040-1709156. Epub 2020 May 14.
2
Supraclinoid direct carotid-cavernous sinus fistula.
BJR Case Rep. 2018 Mar 21;4(3):20170058. doi: 10.1259/bjrcr.20170058. eCollection 2018 Mar.
3
Epistaxis as unusual presentation of carotid siphon aneurysms, evolved in subacute carotid thrombosis.
Neurol Sci. 2019 Jan;40(1):203-205. doi: 10.1007/s10072-018-3561-5. Epub 2018 Sep 19.

本文引用的文献

2
Endovascular coil occlusion of traumatic intradural aneurysm with presentation as carotid cavernous fistula.
J Clin Imaging Sci. 2014 Feb 27;4:11. doi: 10.4103/2156-7514.127961. eCollection 2014.
3
Coils and onyx embolization of traumatic carotid-cavernous fistula caused by an intradural internal carotid artery pseudoaneurysm.
Neuroradiol J. 2012 May;25(2):231-6. doi: 10.1177/197140091202500214. Epub 2012 Apr 24.
4
Traumatic carotid-cavernous fistula presenting as massive epistaxis.
J Pediatr Surg. 2013 Apr;48(4):883-6. doi: 10.1016/j.jpedsurg.2013.01.041.
10
Endovascular reconstruction with the Neuroform stent as monotherapy for the treatment of uncoilable intradural pseudoaneurysms.
Neurosurgery. 2006 Aug;59(2):291-300; discussion 291-300. doi: 10.1227/01.NEU.0000223650.11954.6C.

文献AI研究员

20分钟写一篇综述,助力文献阅读效率提升50倍。

立即体验

用中文搜PubMed

大模型驱动的PubMed中文搜索引擎

马上搜索

文档翻译

学术文献翻译模型,支持多种主流文档格式。

立即体验