• 文献检索
  • 文档翻译
  • 深度研究
  • 学术资讯
  • Suppr Zotero 插件Zotero 插件
  • 邀请有礼
  • 套餐&价格
  • 历史记录
应用&插件
Suppr Zotero 插件Zotero 插件浏览器插件Mac 客户端Windows 客户端微信小程序
定价
高级版会员购买积分包购买API积分包
服务
文献检索文档翻译深度研究API 文档MCP 服务
关于我们
关于 Suppr公司介绍联系我们用户协议隐私条款
关注我们

Suppr 超能文献

核心技术专利:CN118964589B侵权必究
粤ICP备2023148730 号-1Suppr @ 2026

文献检索

告别复杂PubMed语法,用中文像聊天一样搜索,搜遍4000万医学文献。AI智能推荐,让科研检索更轻松。

立即免费搜索

文件翻译

保留排版,准确专业,支持PDF/Word/PPT等文件格式,支持 12+语言互译。

免费翻译文档

深度研究

AI帮你快速写综述,25分钟生成高质量综述,智能提取关键信息,辅助科研写作。

立即免费体验

巨大蝶筛气房导致的压迫性视神经病变:一例报告及文献复习

Compressive optic neuropathy due to a large Onodi air cell: A case report and literature review.

作者信息

Yen Nee See Wendy, Sumugam Kala, Subrayan Visvaraja

机构信息

Department of Ophthalmology, Faculty of Medicine, University of Malaya, Kuala Lumpur, Malaysia.

出版信息

Allergy Rhinol (Providence). 2016 Jan 1;7(4):223-226. doi: 10.2500/ar.2016.7.0178.

DOI:10.2500/ar.2016.7.0178
PMID:28683249
原文链接:https://pmc.ncbi.nlm.nih.gov/articles/PMC5244282/
Abstract

BACKGROUND

To report an unusual case of compressive optic neuropathy secondary to a large onodi air cell.

METHOD

Case report.

RESULTS

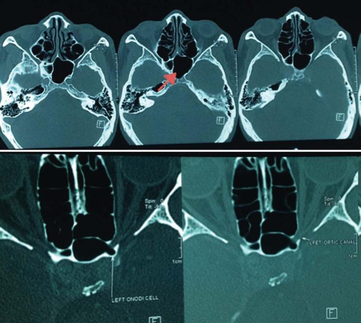
A 50 year-old gentlemen presented to the eye clinic with left eye painless loss of vision for one day. Visual acuity was counting finger in the left eye with a positive relative afferent pupillary defect (RAPD). Dilated left fundus examination revealed a pale optic disc. A computed tomography of orbit and brain showed a large left sphenoid sinus with onodi-cell-like projection on the left superior margin of left optic canal impinging on the left optic nerve. He was referred to the otorhinolaryngology team and subsequently underwent left optic nerve decompression. Post-operatively, his left visual acuity improved to 6/60 with reversal of RAPD.

CONCLUSION

There are many causes of optic neuropathy and compressive optic neuropathy due to large onodi air cell is uncommon. Acute unilateral loss of vision heralds from a multitude of sinister causes and junior residents should be vigilant that onodi air cell pneumotisation could be one of them.

摘要

背景

报告一例罕见的因大的蝶筛隐窝气房导致的压迫性视神经病变。

方法

病例报告。

结果

一名50岁男性因左眼无痛性视力丧失一天就诊于眼科门诊。左眼视力为眼前指数,伴有相对传入性瞳孔障碍(RAPD)阳性。左眼散瞳眼底检查显示视盘苍白。眼眶和脑部计算机断层扫描显示左侧蝶窦大,左侧视神经管上缘有类似蝶筛隐窝气房的突起,压迫左侧视神经。他被转诊至耳鼻喉科团队,随后接受了左侧视神经减压术。术后,他的左眼视力提高到6/60,RAPD消失。

结论

视神经病变有多种原因,因大的蝶筛隐窝气房导致的压迫性视神经病变并不常见。急性单侧视力丧失有多种严重原因,初级住院医师应警惕蝶筛隐窝气房气化可能是其中之一。

https://cdn.ncbi.nlm.nih.gov/pmc/blobs/80f8/5244282/c03c2080bcf3/arh0031601780003.jpg
https://cdn.ncbi.nlm.nih.gov/pmc/blobs/80f8/5244282/ad59de76d6cf/arh0031601780001.jpg
https://cdn.ncbi.nlm.nih.gov/pmc/blobs/80f8/5244282/4cf98c3759a6/arh0031601780002.jpg
https://cdn.ncbi.nlm.nih.gov/pmc/blobs/80f8/5244282/c03c2080bcf3/arh0031601780003.jpg
https://cdn.ncbi.nlm.nih.gov/pmc/blobs/80f8/5244282/ad59de76d6cf/arh0031601780001.jpg
https://cdn.ncbi.nlm.nih.gov/pmc/blobs/80f8/5244282/4cf98c3759a6/arh0031601780002.jpg
https://cdn.ncbi.nlm.nih.gov/pmc/blobs/80f8/5244282/c03c2080bcf3/arh0031601780003.jpg

相似文献

1
Compressive optic neuropathy due to a large Onodi air cell: A case report and literature review.巨大蝶筛气房导致的压迫性视神经病变:一例报告及文献复习
Allergy Rhinol (Providence). 2016 Jan 1;7(4):223-226. doi: 10.2500/ar.2016.7.0178.
2
Optic Neuropathy, Secondary to Ethmoiditis, and Onodi Cell Inflammation during Childhood: A Case Report and Review of the Literature.儿童期筛窦炎和蝶筛隐窝炎继发视神经病变:一例报告并文献复习
Neuropediatrics. 2019 Dec;50(6):341-345. doi: 10.1055/s-0039-1693156. Epub 2019 Jul 22.
3
Isolated mucocele in an Onodi cell.蝶筛隐窝内孤立性黏液囊肿。
ORL J Otorhinolaryngol Relat Spec. 1998 Nov-Dec;60(6):349-52. doi: 10.1159/000027623.
4
Onodi Cell Mucocele-Associated Optic Neuropathy: A Rare Case Report and Review of the Literature.奥诺迪气房黏液囊肿相关性视神经病变:1例罕见病例报告及文献复习
J Curr Ophthalmol. 2020 Mar 23;32(1):107-113. doi: 10.1016/j.joco.2019.08.006. eCollection 2020 Jan-Mar.
5
Optıc neuropathy secondary to inflammation of sphenoidal sinuses and Onodi cell polyps: a case report.蝶窦和 Onodi 细胞息肉炎症继发视神经病变:一例报告。
Ocul Immunol Inflamm. 2013 Jun;21(3):247-50. doi: 10.3109/09273948.2013.766215. Epub 2013 Mar 20.
6
Sudden Unilateral Visual Loss Due to an Onodi Cell Mucocele.蝶筛隐窝气囊肿导致的突发性单眼视力丧失
Ear Nose Throat J. 2023 Nov 24:1455613231214705. doi: 10.1177/01455613231214705.
7
Unilateral Proptosis and Bilateral Compressive Optic Neuropathy in a Meningioma Patient.一名脑膜瘤患者出现单侧眼球突出及双侧压迫性视神经病变
Cureus. 2024 Feb 6;16(2):e53728. doi: 10.7759/cureus.53728. eCollection 2024 Feb.
8
Optic neuropathy produced by a compressed mucocele in an Onodi cell.由蝶筛隐窝内黏液囊肿压迫所致的视神经病变。
Am J Ophthalmol. 2003 Feb;135(2):253-4. doi: 10.1016/s0002-9394(02)01941-4.
9
Recovery of Visual Function in a Patient with an Onodi Cell Mucocele Compressive Optic Neuropathy Who Had a 5-Week Interval between Onset and Surgical Intervention: A Case Report.Onodi细胞黏液囊肿压迫性视神经病变患者发病与手术干预间隔5周后视觉功能的恢复:病例报告
J Ophthalmol. 2010;2010:483056. doi: 10.1155/2010/483056. Epub 2010 Oct 12.
10
Clinics in diagnostic imaging (120). Right rhinogenic optic neuritis secondary to mucocoele of the Onodi cell.诊断影像学临床实例(120)。继发于蝶筛隐窝气房黏液囊肿的右侧鼻源性视神经炎。
Singapore Med J. 2008 Jan;49(1):84-7; quiz 88.

引用本文的文献

1
Sphenoethmoidal air cell sinusitis: A rare cause of recurrent optic neuritis.蝶筛气房鼻窦炎:复发性视神经炎的罕见病因。
Am J Ophthalmol Case Rep. 2022 Mar 9;26:101485. doi: 10.1016/j.ajoc.2022.101485. eCollection 2022 Jun.
2
Onodi Cell Mucocele-Associated Optic Neuropathy: A Rare Case Report and Review of the Literature.奥诺迪气房黏液囊肿相关性视神经病变:1例罕见病例报告及文献复习
J Curr Ophthalmol. 2020 Mar 23;32(1):107-113. doi: 10.1016/j.joco.2019.08.006. eCollection 2020 Jan-Mar.

本文引用的文献

1
Blinding Orbital Apex Syndrome due to Onodi Cell Mucocele.筛窦黏液囊肿导致的致盲性眶尖综合征。
Case Rep Ophthalmol Med. 2014;2014:453789. doi: 10.1155/2014/453789. Epub 2014 May 15.
2
Recovery of Visual Function in a Patient with an Onodi Cell Mucocele Compressive Optic Neuropathy Who Had a 5-Week Interval between Onset and Surgical Intervention: A Case Report.Onodi细胞黏液囊肿压迫性视神经病变患者发病与手术干预间隔5周后视觉功能的恢复:病例报告
J Ophthalmol. 2010;2010:483056. doi: 10.1155/2010/483056. Epub 2010 Oct 12.
3
Clinical approach to optic neuropathies.
视神经病变的临床处理方法
Clin Ophthalmol. 2007 Sep;1(3):233-46.
4
Onodi cell mucocele: rare cause of optic compressive neuropathy.Onodi细胞黏液囊肿:视神经压迫性神经病变的罕见病因。
Arch Otolaryngol Head Neck Surg. 2007 Nov;133(11):1153-6. doi: 10.1001/archotol.133.11.1153.
5
A case of a mucocele in an Onodi cell.
J Nippon Med Sch. 2007 Aug;74(4):325-8. doi: 10.1272/jnms.74.325.
6
Ophthalmic manifestations of paranasal sinus mucoceles.鼻窦黏液囊肿的眼部表现。
J Chin Med Assoc. 2005 Jun;68(6):260-4. doi: 10.1016/S1726-4901(09)70147-9.
7
Optic neuropathy produced by a compressed mucocele in an Onodi cell.由蝶筛隐窝内黏液囊肿压迫所致的视神经病变。
Am J Ophthalmol. 2003 Feb;135(2):253-4. doi: 10.1016/s0002-9394(02)01941-4.
8
The reliability of computerized tomographic detection of the Onodi (Sphenoethmoid) cell.计算机断层扫描检测蝶筛隐窝(Onodi)气房的可靠性
Am J Rhinol. 1998 Mar-Apr;12(2):105-11. doi: 10.2500/105065898781390325.
9
Relationship of the optic nerve to the posterior paranasal sinuses: a CT anatomic study.视神经与鼻后窦的关系:一项CT解剖学研究。
AJNR Am J Neuroradiol. 1996 Apr;17(4):669-75.
10
Paranasal sinuses:anatomic terminology and nomenclature.鼻窦:解剖学术语和命名法。
Ann Otol Rhinol Laryngol Suppl. 1995 Oct;167:7-16.