Suppr超能文献

一名原发性干燥综合征患者伴SLC12A3杂合突变的获得性吉特曼综合征:病例报告及文献复习

Acquired Gitelman syndrome in a primary Sjögren syndrome patient with a SLC12A3 heterozygous mutation: A case report and literature review.

作者信息

Gu Xiangchen, Su Zheling, Chen Min, Xu Yanqiu, Wang Yi

机构信息

Department of Nephrology, Yueyang Hospital of Integrated Traditional Chinese and Western Medicine, Shanghai University of Traditional Chinese Medicine, Shanghai, China.

出版信息

Nephrology (Carlton). 2017 Aug;22(8):652-655. doi: 10.1111/nep.13045.

Abstract

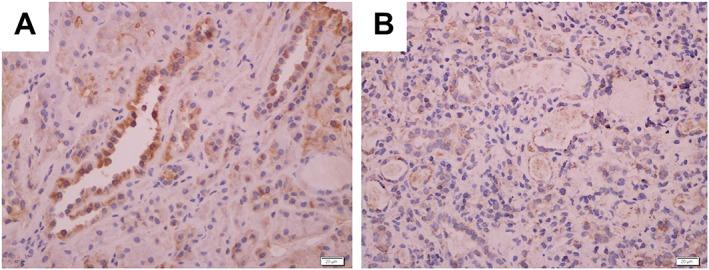
Acquired Gitelman's syndrome (GS) associated with Sjögren syndrome (SS) is rare. A 50-year-old woman was admitted to our department because of nausea, acratia and sicca complex. Laboratory tests after admission showed renal failure, hypokalaemia, metabolic alkalosis, hypomagnesaemia and hypocalciuria, all of which met the diagnostic criteria for GS. Diagnostic evaluation identified primary SS as the cause of the acquired GS. Light microscopy of the renal tissue from the patient showed severe membranoproliferative glomerunephritis and tubulointerstitial nephritis. Immunohistochemical staining of the renal tissue showed the absence of sodium-chloride co-transporter (NCCT) in distal convoluted tubules. Genetic analysis of chromosomal DNA extracted from the patient's peripheral blood showed SLC12A3 gene heterozygous mutation. The reported case was comprehensively analyzed on the basis of the clinical features, and laboratory, pathological and genetic test findings. The patient has achieved a complete remission after meticulous care and appropriate treatment.

摘要

获得性吉特曼综合征(GS)合并干燥综合征(SS)较为罕见。一名50岁女性因恶心、肌无力和干燥综合征入院。入院后实验室检查显示肾衰竭、低钾血症、代谢性碱中毒、低镁血症和低钙尿症,所有这些均符合GS的诊断标准。诊断评估确定原发性SS为获得性GS的病因。患者肾组织的光镜检查显示严重的膜增生性肾小球肾炎和肾小管间质性肾炎。肾组织免疫组化染色显示远曲小管中无氯化钠共转运体(NCCT)。从患者外周血提取的染色体DNA的基因分析显示SLC12A3基因杂合突变。根据临床特征、实验室、病理和基因检测结果对该病例进行了综合分析。经过精心护理和适当治疗,患者已完全缓解。

https://cdn.ncbi.nlm.nih.gov/pmc/blobs/e8d6/6099516/33f2418c06cb/NEP-22-652-g001.jpg

文献AI研究员

20分钟写一篇综述,助力文献阅读效率提升50倍。

立即体验

用中文搜PubMed

大模型驱动的PubMed中文搜索引擎

马上搜索

文档翻译

学术文献翻译模型,支持多种主流文档格式。

立即体验