Suppr超能文献

大鼠急性心肌梗死后肠道微生物群的变化。

The changes of gut microbiota after acute myocardial infarction in rats.

作者信息

Wu Ze-Xuan, Li Su-Fang, Chen Hong, Song Jun-Xian, Gao Yuan-Feng, Zhang Feng, Cao Cheng-Fu

机构信息

Department of Cardiology, Peking University People's Hospital, Beijing, China.

Beijing Key Laboratory of Early Prediction and Intervention of Acute Myocardial Infarction, Peking University People's Hospital, Beijing, China.

出版信息

PLoS One. 2017 Jul 7;12(7):e0180717. doi: 10.1371/journal.pone.0180717. eCollection 2017.

Abstract

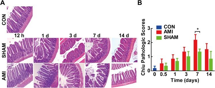
Recent studies suggested that gut microbiota was involved in the development of coronary artery disease. However, the changes of gut microbiota following acute myocardial infarction (AMI) remain unknown. In this study, a total of 66 male Wistar rats were randomly divided into control, AMI and SHAM groups. The controls (n = 6) were sacrificed after anesthesia. The AMI model was built by ligation of left anterior descending coronary artery. The rats of AMI and SHAM groups were sacrificed at 12 h, 1 d, 3 d, 7 d and 14 d post-operation respectively. Gut microbiota was analyzed by 16S rDNA high throughput sequencing. The gut barrier injuries were evaluated through histopathology, transmission electron microscope and immunohistochemical staining. The richness of gut microbiota was significantly higher in AMI group than SHAM group at 7 d after AMI (P<0.05). Principal coordinate analysis with unweighted UniFrac distances revealed microbial differences between AMI and SHAM groups at 7 d. The gut barrier impairment was also the most significant at 7 d post-AMI. We further identified the differences of microorganisms between AMI and SHAM group at 7 d. The abundance of Synergistetes phylum, Spirochaetes phylum, Lachnospiraceae family, Syntrophomonadaceae family and Tissierella Soehngenia genus was higher in AMI group compared with SHAM group at 7 d post-operation (q<0.05). Our study showed the changes of gut microbiota at day 7 post AMI which was paralleled with intestinal barrier impairment. We also identified the microbial organisms that contribute most.

摘要

近期研究表明,肠道微生物群参与了冠状动脉疾病的发展。然而,急性心肌梗死(AMI)后肠道微生物群的变化仍不清楚。在本研究中,总共66只雄性Wistar大鼠被随机分为对照组、AMI组和假手术组。对照组(n = 6)在麻醉后处死。通过结扎左冠状动脉前降支建立AMI模型。AMI组和假手术组的大鼠分别在术后12小时、1天、3天、7天和14天处死。通过16S rDNA高通量测序分析肠道微生物群。通过组织病理学、透射电子显微镜和免疫组织化学染色评估肠道屏障损伤。AMI组在AMI后7天时肠道微生物群的丰富度显著高于假手术组(P<0.05)。基于非加权UniFrac距离的主坐标分析显示,AMI组和假手术组在7天时存在微生物差异。AMI后7天时肠道屏障损伤也最为显著。我们进一步确定了AMI组和假手术组在7天时微生物的差异。术后7天时,AMI组中协同菌门、螺旋体门、毛螺菌科、互营单胞菌科和索氏蒂西埃拉菌属的丰度高于假手术组(q<0.05)。我们的研究显示了AMI后第7天肠道微生物群的变化,这与肠道屏障损伤平行。我们还确定了贡献最大的微生物种类。

https://cdn.ncbi.nlm.nih.gov/pmc/blobs/17ac/5501596/1d7cbb9aab26/pone.0180717.g001.jpg

文献AI研究员

20分钟写一篇综述,助力文献阅读效率提升50倍。

立即体验

用中文搜PubMed

大模型驱动的PubMed中文搜索引擎

马上搜索

文档翻译

学术文献翻译模型,支持多种主流文档格式。

立即体验