Lee Jae Ho, Jeon Ikchan, Kim Sang Woo
Department of Neurosurgery, Yeungnam University Medical Center, Yeungnam University College of Medicine, Daegu, Korea.
Korean J Spine. 2017 Jun;14(2):57-60. doi: 10.14245/kjs.2017.14.2.57. Epub 2017 Jun 30.
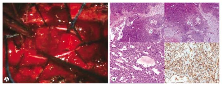
Capillary hemangiomas are common benign vascular tumors on skin and soft tissues, but developing as an intradural and extramedullary (IDEM) tumor in spine is extremely rare. In this report, we present IDEM tumor compressing thoracic cord in T2-3 level with extensive arachnoiditis below the tumor level in a 60-year-old man. The lesion was removed and histological diagnosis was capillary hemangioma. Prompt diagnosis and resection are important to avoid neurological deterioration from acute hemorrhagic condition. Simultaneous arachnoiditis may be originated from old subarachnoid hemorrhage associated tumor before diagnosis, and we suggest it as a helpful diagnostic feature to suspect vascular tumors such as capillary hemangioma.
毛细血管瘤是皮肤和软组织常见的良性血管肿瘤,但作为脊柱硬膜内髓外(IDEM)肿瘤发生极为罕见。在本报告中,我们介绍了一名60岁男性,其IDEM肿瘤压迫T2-3水平的胸段脊髓,肿瘤水平以下伴有广泛的蛛网膜炎。病变被切除,组织学诊断为毛细血管瘤。及时诊断和切除对于避免急性出血性疾病导致神经功能恶化很重要。同时存在的蛛网膜炎可能源于诊断前与肿瘤相关的陈旧性蛛网膜下腔出血,我们认为这是怀疑毛细血管瘤等血管肿瘤的一个有用的诊断特征。