Suppr超能文献

采用坚固外牵张系统对单侧唇腭裂患者进行上颌骨牵张成骨术。

Maxillary Distraction Osteogenesis in Unilateral Cleft Lip and Palate Patients with Rigid External Distraction System.

作者信息

Alkhouri Shadi, Waite Peter D, Davis Matthew B, Lamani Ejvis, Kau Chung How

机构信息

Department of Orthodontics, University of Alabama, Birmingham, Alabama, USA.

Department of Oral and Maxillofacial Surgery, University of Alabama, Birmingham, Alabama, USA.

出版信息

Ann Maxillofac Surg. 2017 Jan-Jun;7(1):57-63. doi: 10.4103/ams.ams_174_16.

Abstract

AIM

Distraction osteogenesis (DO) is a treatment option for patients with maxillary hypoplasia secondary to cleft lip and palate (CLP).

PURPOSE

The aim of this study is to present a technique for maxillary DO using Le Fort I osteotomy with rigid external distraction (RED) system.

SUBJECTS AND METHODS

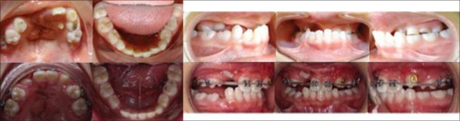
The patient presented in this paper was an Asian female with CLP aged 13 years and 6 months. She presented with severe midfacial deficiency with a Class III dental malocclusion with a negative overjet and concave facial profile. Cone-beam computed tomography images were recorded preoperatively and the operation performed involved a high Le Fort I osteotomy. The appliance fabricated was banded to upper first molars used for anchorage of the RED system. Distraction of the maxilla was initiated after 7-day latency period.

RESULTS

Postoperative cephalometric analysis showed maxillary advancement anteriorly and superiorly, the total distraction treatment period was 10 days. The maxillary advancement was 10.5 mm and the SNA angle increased from 67.5° to 77.9°. Furthermore, the ANB angle changed from -9.8° to 1.6° and the occlusion changed from Class III to Class I. The profile of the face changed from concave to convex and a much better esthetic result was achieved.

CONCLUSION

The study suggests RED system to be a reliable alternative procedure for the treatment of midfacial hypoplasia with or without cleft. Furthermore, it minimizes the risk of the surgical procedure and shortens the operating time.

摘要

目的

牵张成骨术(DO)是唇腭裂(CLP)继发上颌骨发育不全患者的一种治疗选择。

目的

本研究的目的是介绍一种使用Le Fort I截骨术结合坚固外牵张(RED)系统进行上颌骨DO的技术。

对象与方法

本文报道的患者是一名13岁6个月的亚洲CLP女性。她表现为严重的面中部发育不足,伴有III类牙颌面畸形,覆盖为负,面部轮廓凹陷。术前记录锥形束计算机断层扫描图像,手术采用高位Le Fort I截骨术。制作的矫治器固定在上颌第一磨牙上,用于RED系统的锚固。在7天的延迟期后开始上颌骨牵张。

结果

术后头影测量分析显示上颌骨向前上方移动,总牵张治疗期为10天。上颌骨前移10.5mm,SNA角从67.5°增加到77.9°。此外,ANB角从-9.8°变为1.6°,咬合关系从III类变为I类。面部轮廓从凹陷变为凸起,美学效果更佳。

结论

该研究表明RED系统是治疗有或无腭裂的面中部发育不全的可靠替代方法。此外,它将手术风险降至最低,并缩短了手术时间。

https://cdn.ncbi.nlm.nih.gov/pmc/blobs/2a9c/5502517/ab8bb07c7c41/AMS-7-57-g001.jpg

文献AI研究员

20分钟写一篇综述,助力文献阅读效率提升50倍。

立即体验

用中文搜PubMed

大模型驱动的PubMed中文搜索引擎

马上搜索

文档翻译

学术文献翻译模型,支持多种主流文档格式。

立即体验