• 文献检索
  • 文档翻译
  • 深度研究
  • 学术资讯
  • Suppr Zotero 插件Zotero 插件
  • 邀请有礼
  • 套餐&价格
  • 历史记录
应用&插件
Suppr Zotero 插件Zotero 插件浏览器插件Mac 客户端Windows 客户端微信小程序
定价
高级版会员购买积分包购买API积分包
服务
文献检索文档翻译深度研究API 文档MCP 服务
关于我们
关于 Suppr公司介绍联系我们用户协议隐私条款
关注我们

Suppr 超能文献

核心技术专利:CN118964589B侵权必究
粤ICP备2023148730 号-1Suppr @ 2026

文献检索

告别复杂PubMed语法,用中文像聊天一样搜索,搜遍4000万医学文献。AI智能推荐,让科研检索更轻松。

立即免费搜索

文件翻译

保留排版,准确专业,支持PDF/Word/PPT等文件格式,支持 12+语言互译。

免费翻译文档

深度研究

AI帮你快速写综述,25分钟生成高质量综述,智能提取关键信息,辅助科研写作。

立即免费体验

双侧多发性肺动脉瘤合并空洞型肺结核:一例报告

Bilateral multiple pulmonary artery aneurysms associated with cavitary pulmonary tuberculosis: a case report.

作者信息

Pallangyo Pedro, Lyimo Frederick, Bhalia Smita, Makungu Hilda, Nyangasa Bashir, Lwakatare Flora, Suranyi Pal, Janabi Mohamed

机构信息

Department of Cardiovascular Medicine, Jakaya Kikwete Cardiac Institute, P.O Box 65141, Dar es Salaam, Tanzania.

Department of Radiology, Muhimbili National Hospital, P.O Box 65000, Dar es Salaam, Tanzania.

出版信息

J Med Case Rep. 2017 Jul 19;11(1):196. doi: 10.1186/s13256-017-1360-x.

DOI:10.1186/s13256-017-1360-x
PMID:28720136
原文链接:https://pmc.ncbi.nlm.nih.gov/articles/PMC5516347/
Abstract

BACKGROUND

Pulmonary artery aneurysms constitute <1% of aneurysms occurring in the thoracic cavity. Congenital cardiac defects are responsible for the majority (>50%) of cases, however, pulmonary artery aneurysm is a rare sequelae of pulmonary tuberculosis reported in about 5% of patients with chronic cavitary tuberculosis on autopsy. The natural history of this potentially fatal condition remains poorly understood and guidelines for optimal management are controversial.

CASE PRESENTATION

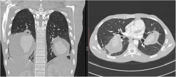
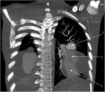
A 24-year-old man, a nursing student of African descent, was referred to us from an up-country regional hospital with a 4-week history of recurrent episodes of breathlessness, awareness of heartbeats and coughing blood 3 weeks after completing a 6-month course of anti-tuberculosis drugs. A physical examination revealed conjuctival and palmar pallor but there were no stigmata of connective tissue disorders, systemic vasculitides or congenital heart disease. An examination of the cardiovascular system revealed accentuated second heart sound (S) with early diastolic (grade 1/6) and holosystolic (grade 2/6) murmurs at the pulmonic and tricuspid areas respectively. Blood tests showed iron deficiency anemia, prolonged bleeding time, and mild hyponatremia. A chest radiograph revealed bilateral ovoid-shaped perihilar opacities while a computed tomography scan showed bilateral multiple pulmonary artery pseudoaneurysms with surrounding hematoma together with adjacent cystic changes, consolidations, and tree-in-bud appearance. Our patient refused to undergo surgery and died of aneurismal rupture after 9 days of hospitalization.

CONCLUSIONS

The presence of intractable hemoptysis among patients with tuberculosis even after completion of anti-tuberculosis course should raise an index of suspicion for pulmonary artery aneurysm. Furthermore, despite of its rarity, early recognition and timely surgical intervention of pulmonary artery aneurysm is crucial to reducing morbidity and preventing the attributed mortality.

摘要

背景

肺动脉瘤占胸腔内动脉瘤的比例不到1%。先天性心脏缺陷是大多数(>50%)病例的病因,然而,肺动脉瘤是肺结核的一种罕见后遗症,据报道,在慢性空洞性肺结核患者尸检中约5%的患者出现此情况。这种潜在致命疾病的自然病程仍知之甚少,最佳治疗指南也存在争议。

病例报告

一名24岁的男性,是一名非洲裔护理专业学生,在完成6个月抗结核药物疗程3周后,因反复出现气短、心悸和咯血4周,被一家偏远地区医院转诊至我院。体格检查发现结膜和手掌苍白,但无结缔组织病、系统性血管炎或先天性心脏病的体征。心血管系统检查发现第二心音亢进(S),分别在肺动脉和三尖瓣区有舒张早期(1/6级)和全收缩期(2/6级)杂音。血液检查显示缺铁性贫血、出血时间延长和轻度低钠血症。胸部X线片显示双侧肺门周围椭圆形阴影,而计算机断层扫描显示双侧多发肺动脉假性动脉瘤伴周围血肿,以及相邻的囊性改变、实变和树芽征。我们的患者拒绝接受手术,住院9天后死于动脉瘤破裂。

结论

即使在完成抗结核疗程后,肺结核患者出现难治性咯血也应提高对肺动脉瘤的怀疑指数。此外,尽管肺动脉瘤罕见,但早期识别和及时手术干预对于降低发病率和预防相关死亡率至关重要。

https://cdn.ncbi.nlm.nih.gov/pmc/blobs/479b/5516347/a5901b5751ff/13256_2017_1360_Fig5_HTML.jpg
https://cdn.ncbi.nlm.nih.gov/pmc/blobs/479b/5516347/c7b122d64ca6/13256_2017_1360_Fig1_HTML.jpg
https://cdn.ncbi.nlm.nih.gov/pmc/blobs/479b/5516347/de2b2bceb4f6/13256_2017_1360_Fig2_HTML.jpg
https://cdn.ncbi.nlm.nih.gov/pmc/blobs/479b/5516347/57d8f03c5007/13256_2017_1360_Fig3_HTML.jpg
https://cdn.ncbi.nlm.nih.gov/pmc/blobs/479b/5516347/ccc77c59919f/13256_2017_1360_Fig4_HTML.jpg
https://cdn.ncbi.nlm.nih.gov/pmc/blobs/479b/5516347/a5901b5751ff/13256_2017_1360_Fig5_HTML.jpg
https://cdn.ncbi.nlm.nih.gov/pmc/blobs/479b/5516347/c7b122d64ca6/13256_2017_1360_Fig1_HTML.jpg
https://cdn.ncbi.nlm.nih.gov/pmc/blobs/479b/5516347/de2b2bceb4f6/13256_2017_1360_Fig2_HTML.jpg
https://cdn.ncbi.nlm.nih.gov/pmc/blobs/479b/5516347/57d8f03c5007/13256_2017_1360_Fig3_HTML.jpg
https://cdn.ncbi.nlm.nih.gov/pmc/blobs/479b/5516347/ccc77c59919f/13256_2017_1360_Fig4_HTML.jpg
https://cdn.ncbi.nlm.nih.gov/pmc/blobs/479b/5516347/a5901b5751ff/13256_2017_1360_Fig5_HTML.jpg

相似文献

1
Bilateral multiple pulmonary artery aneurysms associated with cavitary pulmonary tuberculosis: a case report.双侧多发性肺动脉瘤合并空洞型肺结核:一例报告
J Med Case Rep. 2017 Jul 19;11(1):196. doi: 10.1186/s13256-017-1360-x.
2
Fatal hemoptysis caused by ruptured giant Rasmussen's aneurysm.巨大型拉斯穆森动脉瘤破裂导致致命性咯血。
AJR Am J Roentgenol. 2000 Jan;174(1):262-3. doi: 10.2214/ajr.174.1.1740262.
3
Fatal haemoptysis caused by a ruptured Rasmussen's aneurysm.拉斯穆森动脉瘤破裂导致的致命性咯血。
Thorax. 2011 Jun;66(6):553-4. doi: 10.1136/thx.2010.135616. Epub 2010 Aug 30.
4
Postmortem computed tomographic (PMCT) demonstration of fatal hemoptysis by pulmonary tuberculosis--radiological-pathological correlation in a case of rupture of Rasmussen's aneurysm.肺结核致死性咯血的尸检计算机断层扫描(PMCT)表现——1例拉斯姆森动脉瘤破裂病例的放射学与病理学相关性分析
Radiat Med. 2004 Mar-Apr;22(2):120-2.
5
Large bilateral pulmonary artery aneurysms in Behçet's disease: rupture of the contralateral lesion after aneurysmorrhaphy.白塞病中的双侧巨大肺动脉瘤:动脉瘤缝扎术后对侧病变破裂
Respiration. 1996;63(1):49-51. doi: 10.1159/000196515.
6
Non-invasive assessment of bleeding pulmonary artery aneurysms due to Behçet disease.
Eur Radiol. 1998;8(3):359-63. doi: 10.1007/s003300050394.
7
Embolization of multiple Rasmussen aneurysms as a treatment of hemoptysis.栓塞多发性拉斯穆森动脉瘤作为咯血的一种治疗方法。
Radiology. 1994 Nov;193(2):396-8. doi: 10.1148/radiology.193.2.7972750.
8
Pulmonary Artery Pseudoaneurysm: A Rare Cause of Hemoptysis in a Child.肺动脉假性动脉瘤:儿童咯血的罕见原因。
Pediatr Dev Pathol. 2016 Mar-Apr;19(2):146-9. doi: 10.2350/15-05-1642-CR.1. Epub 2015 Sep 14.
9
Rasmussen's aneurysm masquerading as mass lesion.伪装成占位性病变的拉斯穆森动脉瘤。
BMJ Case Rep. 2020 Feb 16;13(2):e232669. doi: 10.1136/bcr-2019-232669.
10
Pulmonary artery aneurysms and pseudoaneurysms in adults: findings at CT and radiography.成人肺动脉瘤和假性动脉瘤:CT及X线摄影表现
AJR Am J Roentgenol. 2007 Feb;188(2):W126-34. doi: 10.2214/AJR.05.1652.

引用本文的文献

1
A 34-Year-Old Man With a Neck Mass.一名34岁颈部肿物男性患者。
Chest. 2022 Mar;161(3):e145-e148. doi: 10.1016/j.chest.2021.09.026.
2
Rasmussen's aneurysm masquerading as mass lesion.伪装成占位性病变的拉斯穆森动脉瘤。
BMJ Case Rep. 2020 Feb 16;13(2):e232669. doi: 10.1136/bcr-2019-232669.

本文引用的文献

1
Giant Pulmonary Artery Aneurysm in a Patient With Marfan Syndrome and Pulmonary Hypertension.一名患有马凡综合征和肺动脉高压患者的巨大肺动脉瘤
Circulation. 2016 Mar 22;133(12):1218-21. doi: 10.1161/CIRCULATIONAHA.115.020537.
2
Rasmussen's aneurysm: A rare and forgotten cause of hemoptysis.拉斯穆森动脉瘤:咯血的一种罕见且被遗忘的病因。
Indian Heart J. 2015 Dec;67 Suppl 3(Suppl 3):S53-6. doi: 10.1016/j.ihj.2015.07.009. Epub 2015 Aug 29.
3
Rasmussen's aneurysm: A forgotten scourge.拉斯穆森动脉瘤:一种被遗忘的灾祸。
Respir Med Case Rep. 2015 Aug 12;16:74-6. doi: 10.1016/j.rmcr.2015.08.003. eCollection 2015.
4
Giant pulmonary artery aneurysm in a patient with rheumatic mitral stenosis.一名风湿性二尖瓣狭窄患者的巨大肺动脉瘤。
Heart Views. 2014 Jul;15(3):89-92. doi: 10.4103/1995-705X.144802.
5
Giant idiopathic pulmonary artery aneurysm: an interesting incidental finding.巨大特发性肺动脉瘤:一项有趣的偶然发现。
Case Rep Vasc Med. 2014;2014:251373. doi: 10.1155/2014/251373. Epub 2014 Mar 9.
6
Pulmonary artery aneurysms: four case reports and literature review.肺动脉瘤:四例病例报告及文献综述
Int J Angiol. 2013 Sep;22(3):143-8. doi: 10.1055/s-0033-1347907.
7
Pulmonary artery aneurysm.肺动脉瘤
Arch Bronconeumol. 2013 Dec;49(12):551-2. doi: 10.1016/j.arbres.2013.07.016. Epub 2013 Oct 2.
8
Large pulmonary artery aneurysm associated with Marfan syndrome.与马凡综合征相关的大型肺动脉瘤。
Int J Angiol. 2010 Spring;19(1):e48-50. doi: 10.1055/s-0031-1278365.
9
Giant pulmonary artery aneurysm in a patient with vasoreactive pulmonary hypertension: a case report.肺动脉瘤巨大患者合并反应性肺动脉高压:病例报告。
BMC Cardiovasc Disord. 2011 Oct 21;11:64. doi: 10.1186/1471-2261-11-64.
10
Idiopathic pulmonary artery aneurysm.特发性肺动脉瘤
Circulation. 2011 Oct 4;124(14):e369-70. doi: 10.1161/CIRCULATIONAHA.111.029033.