Suppr超能文献

酷似二尖瓣狭窄的心房黏液瘤

Atrial Myxoma Mimicking Mitral Stenosis.

作者信息

Spartalis Michael, Tzatzaki Eleni, Spartalis Eleftherios, Moris Demetrios, Athanasiou Antonios, Kyrzopoulos Stamatios, Tsiapras Dimitrios, Kalogris Panagiotis, Voudris Vassilis

机构信息

Division of Cardiology, Onassis Cardiac Surgery Center, Athens, Greece.

Laboratory of Experimental Surgery and Surgical Research, University of Athens, Medical School, Athens, Greece.

出版信息

Cardiol Res. 2017 Jun;8(3):128-130. doi: 10.14740/cr558w. Epub 2017 Jun 30.

Abstract

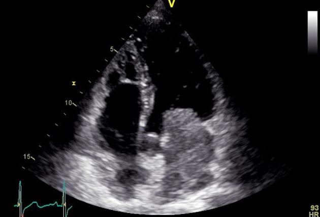
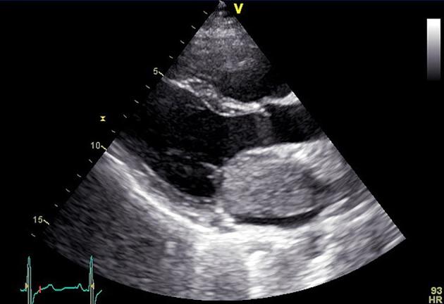
Myxoma is the most common primary cardiac tumor and is usually located in the left atrium. Clinical manifestation relies in large part on the size, location, and architecture of the tumor. There are many reports in the literature of cardiac myxomas causing syncope, embolism, even myocardial infarction. We present a rare case of a patient who underwent urgent surgical resection of a large left atrial myxoma mimicking mitral stenosis. The postoperative course of the patient was uncomplicated. One year after surgery, the patient is asymptomatic and disease-free.

摘要

黏液瘤是最常见的原发性心脏肿瘤,通常位于左心房。临床表现很大程度上取决于肿瘤的大小、位置和结构。文献中有许多关于心脏黏液瘤导致晕厥、栓塞甚至心肌梗死的报道。我们报告一例罕见病例,患者因酷似二尖瓣狭窄的巨大左心房黏液瘤接受了紧急手术切除。患者术后过程顺利。术后一年,患者无症状且无疾病复发。

https://cdn.ncbi.nlm.nih.gov/pmc/blobs/c907/5505297/d4059ed4bff5/cr-08-128-g001.jpg

文献AI研究员

20分钟写一篇综述,助力文献阅读效率提升50倍。

立即体验

用中文搜PubMed

大模型驱动的PubMed中文搜索引擎

马上搜索

文档翻译

学术文献翻译模型,支持多种主流文档格式。

立即体验