National Institute for Viral Disease Control and Prevention, Chinese Center for Disease Control and Prevention, Key Laboratory for Medical Virology, National Health and Family Planning Commission, Beijing 102206, China.
National Institute for Viral Disease Control and Prevention, Chinese Center for Disease Control and Prevention, Key Laboratory for Medical Virology, National Health and Family Planning Commission, Beijing 102206, China.
EBioMedicine. 2017 Aug;22:133-142. doi: 10.1016/j.ebiom.2017.07.010. Epub 2017 Jul 13.
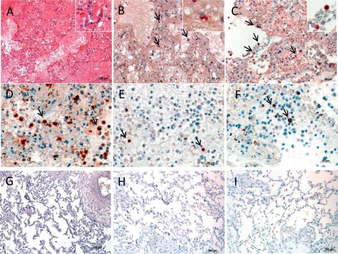
Severe influenza diseases with high mortality have been frequently reported, especially in those patients infected with avian influenza A (H5N1, H7N9 or H10N8) or during a pandemic. Respiratory distress, which is attributed to alveolar damage associated with immunopathological lesions, is the most common cause of death. There is a wealth of information on pathogenesis or treatment options. In this study, we showed that high levels of C-reactive protein (CRP) were induced and correlated with complement activation in patients infected with severe influenza A (H5N1, H7N9 or H10N8), and higher levels were induced in fatal patients than in survivors. CRP treatment enhanced the phagocytosis of monocytes THP-1 to H5N1 virus as well as the expression of proinflammatory cytokines or apoptosis-associated genes in THP-1 cells or pneumocytes A-549 respectively. CRP may link to proinflammatory mediators contributing to activation of complement and boosting inflammatory response in severe influenza infections. Compound 1,6-bis(phosphocholine)-hexane improved the severity and mortality of mice infected with lethal influenza virus significantly. These observations showed that CRP is involved in deterioration of severe influenza diseases, and indicated a substantial candidate molecule for immunotherapy of severe influenza diseases.
严重的流感疾病死亡率很高,尤其是在感染禽流感 A(H5N1、H7N9 或 H10N8)或大流行期间的患者中。呼吸窘迫是最常见的死亡原因,其归因于与免疫病理损伤相关的肺泡损伤。目前有大量关于发病机制或治疗选择的信息。在这项研究中,我们表明,高水平的 C 反应蛋白(CRP)在感染严重的甲型流感(H5N1、H7N9 或 H10N8)的患者中被诱导并与补体激活相关,并且在死亡患者中诱导的水平高于幸存者。CRP 治疗增强了单核细胞 THP-1 对 H5N1 病毒的吞噬作用,以及在 THP-1 细胞或肺细胞 A-549 中促炎细胞因子或凋亡相关基因的表达。CRP 可能与促炎介质相关,这些介质有助于严重流感感染中补体的激活和炎症反应的增强。化合物 1,6-双(磷酸胆碱)-己烷可显著改善感染致死性流感病毒的小鼠的严重程度和死亡率。这些观察结果表明,CRP 参与了严重流感疾病的恶化,并提示了严重流感疾病免疫治疗的一个重要候选分子。