Pourhoseini Somayeh, Bakhtiari Mohammad, Babaee Abdolreza, Ostovan Mohammad Ali, Eftekhar-Vaghefi Seyed Hassan, Ostovan Nikan, Dehghani Pooyan
Department of Anatomy, School of Medicine, Kerman University of Medical Sciences, Kerman, Iran.
Department of Anatomical Science and Molecular Biology, Isfahan University of Medical Sciences, Isfahan, Iran.
J Cardiovasc Thorac Res. 2017;9(2):108-112. doi: 10.15171/jcvtr.2017.18. Epub 2017 Jun 29.
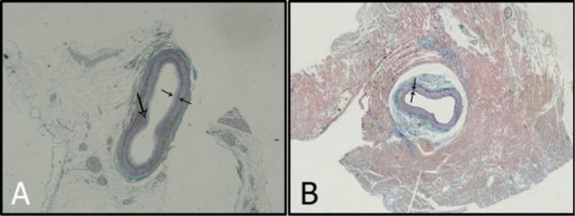
Myocardial bridge (MB) is a segment of a major epicardial coronary artery that goes intramurally under a bridge of overlying myocardium. Complications have been reported during or after stent implantation particularly coronary perforation. The aim of this study was to determine histological differences between proximal left anterior descending artery (LAD) and the tunneled segment that may have a possible role in increased risk of coronary artery perforation during percutaneous coronary intervention. Twenty specimens of MB were obtained from dissection of 45 cadavers. Sections were stained using hematoxylin and eosin (H&E), and trichrome methods. The proximal section and the tunneled artery were compared with a normal sample in terms of the characteristics of a muscle artery. The findings of this study showed an MB prevalence of 51%, as 23 out of the 45 examined cadavers were discovered to be afflicted by the MB. The intima layer in the suffering artery had gone through significant hypertrophy, while it had remained thin in the tunneled artery section. The epithelial cells under the bridge were spindle-shaped, while they were polygonal in the proximal section. In the myocardium the nuclei of the muscle fibers in the MB section were smaller than the normal section. Adventitial layer was almost normal. The histopathological differences between MB and proximal part of vessel combined with small vessel diameter in the tunneled segment can explain the high incidence of the LAD rupture and perforation in the section under the bridge.
心肌桥(MB)是一段主要的心外膜冠状动脉,其走行于覆盖其上的心肌桥下并深入心肌内部。已有报道称在支架植入期间或之后会出现并发症,尤其是冠状动脉穿孔。本研究的目的是确定左前降支近端(LAD)与心肌桥内走行段之间的组织学差异,这些差异可能在经皮冠状动脉介入治疗期间增加冠状动脉穿孔风险中发挥作用。从45具尸体解剖中获取了20个心肌桥标本。切片采用苏木精-伊红(H&E)染色和三色染色法。就肌性动脉的特征而言,将近端节段和心肌桥内走行的动脉与正常样本进行比较。本研究结果显示心肌桥患病率为51%,因为在45具接受检查的尸体中有23具被发现患有心肌桥。病变动脉的内膜层出现了显著肥厚,而心肌桥内走行段的内膜层仍较薄。心肌桥下的上皮细胞呈梭形,而近端节段的上皮细胞呈多边形。在心肌中,心肌桥段肌纤维的细胞核比正常节段的小。外膜层基本正常。心肌桥与血管近端之间的组织病理学差异以及心肌桥内走行段血管直径较小,可以解释心肌桥下节段LAD破裂和穿孔的高发生率。