Suppr超能文献

在新诊断为C4肾小球病的情况下,通过肾活检诊断的未达可存活孕周的子痫前期

Previable Preeclampsia Diagnosed by Renal Biopsy in Setting of Novel Diagnosis of C4 Glomerulopathy.

作者信息

Parrott Jessica, Fields Timothy A, Parrish Marc

机构信息

Division of Maternal Fetal Medicine, Department of Obstetrics and Gynecology, University of Kansas School of Medicine, 3901 Rainbow Boulevard, Kansas City, KS 66160, USA.

Department of Pathology and Laboratory Medicine, University of Kansas School of Medicine, 3901 Rainbow Boulevard, Kansas City, KS 66160, USA.

出版信息

Case Rep Obstet Gynecol. 2017;2017:8698670. doi: 10.1155/2017/8698670. Epub 2017 Jul 4.

Abstract

BACKGROUND

Preeclampsia diagnosed before 20 weeks' gestational age is a rare entity, particularly without any predisposing factors. We report a case of preeclampsia occurring prior to 20 weeks' gestational age in the setting of a novel diagnosis of C4 glomerulopathy.

CASE

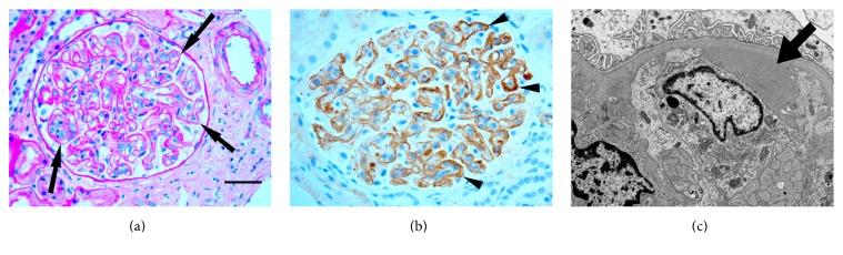
A G3P0020 at 18 weeks presented with new onset hypertension and proteinuria, requiring multiple antihypertensive agents to maintain control. Renal biopsy demonstrated thrombotic microangiopathic lesions and glomerular endotheliosis. C4-dominant staining and numerous subendothelial and mesangial electron dense deposits were found within the glomerulus. With no other definable etiologies, preeclampsia was diagnosed. She developed posterior reversible encephalopathic syndrome and pregnancy termination was recommended.

CONCLUSION

The lectin complement pathway may play a role in the pathophysiology of severe, early onset preeclampsia. Renal biopsy may play an integral role in diagnosis.

摘要

背景

孕20周前诊断的子痫前期是一种罕见情况,尤其是没有任何易感因素时。我们报告一例在新诊断为C4肾小球病的情况下孕20周前发生的子痫前期病例。

病例

一名孕18周的G3P0020孕妇出现新发高血压和蛋白尿,需要多种抗高血压药物来控制。肾活检显示血栓性微血管病变和肾小球内皮病变。肾小球内发现C4为主的染色以及大量内皮下和系膜电子致密沉积物。由于没有其他可明确的病因,诊断为子痫前期。她发展为后部可逆性脑病综合征,建议终止妊娠。

结论

凝集素补体途径可能在重度早发型子痫前期的病理生理中起作用。肾活检在诊断中可能起重要作用。

https://cdn.ncbi.nlm.nih.gov/pmc/blobs/fdc4/5514321/e9cdfe1df37c/CRIOG2017-8698670.001.jpg

文献AI研究员

20分钟写一篇综述,助力文献阅读效率提升50倍。

立即体验

用中文搜PubMed

大模型驱动的PubMed中文搜索引擎

马上搜索

文档翻译

学术文献翻译模型,支持多种主流文档格式。

立即体验