• 文献检索
  • 文档翻译
  • 深度研究
  • 学术资讯
  • Suppr Zotero 插件Zotero 插件
  • 邀请有礼
  • 套餐&价格
  • 历史记录
应用&插件
Suppr Zotero 插件Zotero 插件浏览器插件Mac 客户端Windows 客户端微信小程序
定价
高级版会员购买积分包购买API积分包
服务
文献检索文档翻译深度研究API 文档MCP 服务
关于我们
关于 Suppr公司介绍联系我们用户协议隐私条款
关注我们

Suppr 超能文献

核心技术专利:CN118964589B侵权必究
粤ICP备2023148730 号-1Suppr @ 2026

文献检索

告别复杂PubMed语法,用中文像聊天一样搜索,搜遍4000万医学文献。AI智能推荐,让科研检索更轻松。

立即免费搜索

文件翻译

保留排版,准确专业,支持PDF/Word/PPT等文件格式,支持 12+语言互译。

免费翻译文档

深度研究

AI帮你快速写综述,25分钟生成高质量综述,智能提取关键信息,辅助科研写作。

立即免费体验

[CT扫描检测急性阑尾炎穿孔时的完整共同系膜]

[Detection of complete common mesentery on CT scan for perforation in acute appendicitis].

作者信息

Ababacar Traore Abdoulaye, Franck Mvumbi Kutubisa, Seydou Ly, Youssef Alaoui Lamrany, Meryem Boubbou, Maaroufi Maaroufi, Badreeddine Alami

机构信息

Service de Radiologie du CHU, Faculté de Médecine et de Pharmacie, Université Sidi Mohamed Ben Abdellah, Hassan II Fès, Maroc.

出版信息

Pan Afr Med J. 2017 May 2;27:3. doi: 10.11604/pamj.2017.27.3.11511. eCollection 2017.

DOI:10.11604/pamj.2017.27.3.11511
PMID:28748005
原文链接:https://pmc.ncbi.nlm.nih.gov/articles/PMC5511726/
Abstract

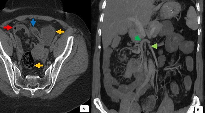
Complete common mesentery is a rare abnormality in midgut rotation. Its detection is exceptional during adulthood because, during this period, is very often asymptomatic and therefore not diagnosed. Complete common mesentery may be discovered incidentally in patients with ectopic appendicular syndrome, as in our case study. We here report the case of a 42-year old patient presenting with acute clinico-biological pelvic inflammatory disorder. CT scan allowed the diagnosis of complete common mesentery associated with acute appendicitis. Laparotomy confirmed the diagnosis of perforated acute appendicitis associated with intestinal malrotation. Appendectomy outcomes were favorable.

摘要

完整的共同肠系膜是中肠旋转罕见的异常情况。在成年期其检出极为罕见,因为在此期间它常常没有症状,因此未被诊断出来。完整的共同肠系膜可能在异位阑尾综合征患者中偶然发现,就像我们的病例研究那样。我们在此报告一例42岁患者,其表现为急性临床生物学盆腔炎症性疾病。CT扫描诊断为完整的共同肠系膜合并急性阑尾炎。剖腹手术证实诊断为穿孔性急性阑尾炎合并肠旋转不良。阑尾切除术后结果良好。

https://cdn.ncbi.nlm.nih.gov/pmc/blobs/a8ba/5511726/c8745f9f5d0e/PAMJ-27-3-g002.jpg
https://cdn.ncbi.nlm.nih.gov/pmc/blobs/a8ba/5511726/7db43f6160f6/PAMJ-27-3-g001.jpg
https://cdn.ncbi.nlm.nih.gov/pmc/blobs/a8ba/5511726/c8745f9f5d0e/PAMJ-27-3-g002.jpg
https://cdn.ncbi.nlm.nih.gov/pmc/blobs/a8ba/5511726/7db43f6160f6/PAMJ-27-3-g001.jpg
https://cdn.ncbi.nlm.nih.gov/pmc/blobs/a8ba/5511726/c8745f9f5d0e/PAMJ-27-3-g002.jpg

相似文献

1
[Detection of complete common mesentery on CT scan for perforation in acute appendicitis].[CT扫描检测急性阑尾炎穿孔时的完整共同系膜]
Pan Afr Med J. 2017 May 2;27:3. doi: 10.11604/pamj.2017.27.3.11511. eCollection 2017.
2
[Common mesentery presenting with left-sided perforated appendicitis].[以左侧穿孔性阑尾炎表现的共同系膜]
J Radiol. 2010 Sep;91(9 Pt 1):915-6. doi: 10.1016/s0221-0363(10)70136-0.
3
Education and Imaging. Gastroenterology: Acute left-sided appendicitis with intestinal malrotation.教育与影像。胃肠病学:急性左侧阑尾炎伴肠旋转不良。
J Gastroenterol Hepatol. 2015 Oct;30(10):1446. doi: 10.1111/jgh.12969.
4
Midgut volvulus: a rare cause of intestinal obstruction in adults.中肠扭转:成人肠梗阻的罕见病因。
ANZ J Surg. 2018 Apr;88(4):E348-E349. doi: 10.1111/ans.13343. Epub 2015 Oct 13.
5
Left-Sided Appendicitis in a 14-Year Girl with Midgut Malrotation.一名患有中肠旋转不良的14岁女孩的左侧阑尾炎
J Coll Physicians Surg Pak. 2018 Apr;28(4):317-319. doi: 10.29271/jcpsp.2018.04.317.
6
Midgut malrotation presenting with left-sided acute appendicitis and CT inversion sign.以左侧急性阑尾炎和CT反转征为表现的中肠旋转不良
BMJ Case Rep. 2014 Mar 28;2014:bcr2013202709. doi: 10.1136/bcr-2013-202709.
7
Misdiagnosis of appendiceal abscess with intestinal malrotation: A case report.阑尾脓肿合并肠旋转不良误诊 1 例报告。
Ulus Travma Acil Cerrahi Derg. 2021 Jul;27(4):483-485. doi: 10.14744/tjtes.2020.92836.
8
Appendicitis in adults with incidental midgut malrotation: CT findings.成人偶然中肠旋转不良伴阑尾炎:CT 表现。
Clin Radiol. 2013 Dec;68(12):1212-9. doi: 10.1016/j.crad.2013.07.001. Epub 2013 Aug 9.
9
Complete common mesentery revealed by acute perforated appendicitis: case report and review of the literature.急性穿孔性阑尾炎显示的完全性共同系膜:病例报告及文献复习
Radiol Case Rep. 2022 Nov 23;18(2):441-443. doi: 10.1016/j.radcr.2022.10.069. eCollection 2023 Feb.
10
Acute appendicitis in a patient with intestinal malrotation.一名患有肠旋转不良患者的急性阑尾炎。
Rev Gastroenterol Mex (Engl Ed). 2018 Jul-Sep;83(3):356-358. doi: 10.1016/j.rgmx.2017.03.001. Epub 2017 Apr 1.

引用本文的文献

1
Complete common mesentery revealed by a cecal bascule: Two case reports.盲肠瓣翻转术显示完整的共同系膜:两例报告。
Int J Surg Case Rep. 2025 Apr;129:111160. doi: 10.1016/j.ijscr.2025.111160. Epub 2025 Mar 16.
2
[ associated with wandering spleen and common mesentery detected from medical imaging in Niamey (Niger): a case report].[尼亚美(尼日尔)医学影像检测到的游走脾与共同肠系膜相关:病例报告]
Pan Afr Med J. 2022 Nov 17;43:144. doi: 10.11604/pamj.2022.43.144.32397. eCollection 2022.
3
Complete common mesentery revealed by acute perforated appendicitis: case report and review of the literature.

本文引用的文献

1
Congenital intestinal malrotation in adolescent and adult patients: a 12-year clinical and radiological survey.青少年及成年患者先天性肠旋转不良:一项为期12年的临床与影像学调查
Springerplus. 2016 Mar 1;5:245. doi: 10.1186/s40064-016-1842-0. eCollection 2016.
2
Unusual presentation of left sided acute appendicitis in elderly male with asymptomatic midgut malrotation.老年男性左侧急性阑尾炎合并无症状中肠旋转不良的不寻常表现
Int J Surg Case Rep. 2015;17:42-4. doi: 10.1016/j.ijscr.2015.10.018. Epub 2015 Oct 20.
3
Intestinal malrotation and acute left side appendicitis: an indication for laparoscopic exploration.
急性穿孔性阑尾炎显示的完全性共同系膜:病例报告及文献复习
Radiol Case Rep. 2022 Nov 23;18(2):441-443. doi: 10.1016/j.radcr.2022.10.069. eCollection 2023 Feb.
4
Mirrored Appearance of Complete Common Mesentery Discovered on CT Scan for Crohn's Disease.在克罗恩病的CT扫描中发现完全性共同系膜的镜像外观。
Eur J Case Rep Intern Med. 2021 Oct 11;8(10):002721. doi: 10.12890/2021_002721. eCollection 2021.
肠旋转不良与急性左侧阑尾炎:腹腔镜探查的指征
BMJ Case Rep. 2015 Apr 28;2015:bcr2015210412. doi: 10.1136/bcr-2015-210412.
4
The utilization of clinical and radiologic tools for the diagnosis of acute appendicitis.
Am J Emerg Med. 2015 Jun;33(6):840-1. doi: 10.1016/j.ajem.2015.03.009. Epub 2015 Mar 14.
5
Single-incision laparoscopic appendectomy for treating appendicitis in a patient with gastrointestinal malrotation.单孔腹腔镜阑尾切除术治疗合并胃肠道旋转不良患者的阑尾炎
Int J Surg Case Rep. 2014;5(8):558-61. doi: 10.1016/j.ijscr.2014.06.017. Epub 2014 Jun 30.
6
Acute appendicitis with intestinal malrotation: the usefulness of coronal computed tomography.急性阑尾炎合并肠旋转不良:冠状位计算机断层扫描的作用
Intern Med. 2014;53(14):1511-3. doi: 10.2169/internalmedicine.53.1755. Epub 2014 Jul 15.
7
[Acute appendicitis with left clinical manifestation on complete common mesentery: about one case].全肠系膜上急性阑尾炎伴左侧临床表现:附1例报告
Pan Afr Med J. 2010;7:13. Epub 2010 Nov 18.
8
[Common mesentery presenting with left-sided perforated appendicitis].[以左侧穿孔性阑尾炎表现的共同系膜]
J Radiol. 2010 Sep;91(9 Pt 1):915-6. doi: 10.1016/s0221-0363(10)70136-0.