• 文献检索
  • 文档翻译
  • 深度研究
  • 学术资讯
  • Suppr Zotero 插件Zotero 插件
  • 邀请有礼
  • 套餐&价格
  • 历史记录
应用&插件
Suppr Zotero 插件Zotero 插件浏览器插件Mac 客户端Windows 客户端微信小程序
定价
高级版会员购买积分包购买API积分包
服务
文献检索文档翻译深度研究API 文档MCP 服务
关于我们
关于 Suppr公司介绍联系我们用户协议隐私条款
关注我们

Suppr 超能文献

核心技术专利:CN118964589B侵权必究
粤ICP备2023148730 号-1Suppr @ 2026

文献检索

告别复杂PubMed语法,用中文像聊天一样搜索,搜遍4000万医学文献。AI智能推荐,让科研检索更轻松。

立即免费搜索

文件翻译

保留排版,准确专业,支持PDF/Word/PPT等文件格式,支持 12+语言互译。

免费翻译文档

深度研究

AI帮你快速写综述,25分钟生成高质量综述,智能提取关键信息,辅助科研写作。

立即免费体验

睾丸浆液性交界性肿瘤及相关磁共振成像表现

Serous Borderline Tumor of the Testis and Associated Magnetic Resonance Imaging Findings.

作者信息

Hsieh Alan, Miller Mitchell, He Wenlei, Shin David

机构信息

Rutgers New Jersey Medical School, Division of Urology, 185 South Orange Avenue, G536/MSB Building, Newark, NJ, 07103, USA.

Department of Radiology, Hackensack University Medical Center, 30 Prospect Ave., Hackensack, NJ, 07601, USA.

出版信息

Urol Case Rep. 2017 Jul 8;14:30-32. doi: 10.1016/j.eucr.2017.06.007. eCollection 2017 Sep.

DOI:10.1016/j.eucr.2017.06.007
PMID:28752065
原文链接:https://pmc.ncbi.nlm.nih.gov/articles/PMC5516726/
Abstract

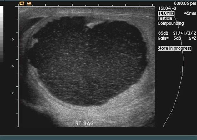
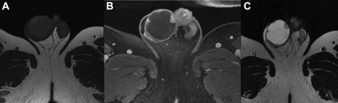
Serous borderline tumor (SBT) of the testis is a rare, ovarian epithelial-type tumor of the testis. We present a case of SBT after radical orchiectomy in a 59-year-old man who had 3-month progressive enlargement of his right hemi-scrotum, negative testicular tumor markers and scrotal ultrasound equivocal for malignancy. Magnetic resonance imaging (MRI) of the pelvis was obtained to aid with evaluation and showed marked hyperintensity on T2-weighted images with frond-like nodular peripheral enhancement within right testis mass. These distinct MRI findings can help clinicians differentiate SBT from other testis tumors. Relapse has not been observed in 8 years of follow-up.

摘要

睾丸浆液性交界性肿瘤(SBT)是一种罕见的睾丸卵巢上皮型肿瘤。我们报告一例59岁男性患者,在根治性睾丸切除术后发生SBT。该患者右侧半阴囊进行性肿大3个月,睾丸肿瘤标志物阴性,阴囊超声检查对恶性肿瘤的判断不明确。盆腔磁共振成像(MRI)用于辅助评估,结果显示右侧睾丸肿块在T2加权图像上呈明显高信号,周边有叶状结节样强化。这些独特的MRI表现有助于临床医生将SBT与其他睾丸肿瘤区分开来。随访8年未观察到复发情况。

https://cdn.ncbi.nlm.nih.gov/pmc/blobs/494b/5516726/bf544a3eb147/gr3.jpg
https://cdn.ncbi.nlm.nih.gov/pmc/blobs/494b/5516726/6b38de45ed66/gr1.jpg
https://cdn.ncbi.nlm.nih.gov/pmc/blobs/494b/5516726/e3df5a3cea75/gr2.jpg
https://cdn.ncbi.nlm.nih.gov/pmc/blobs/494b/5516726/bf544a3eb147/gr3.jpg
https://cdn.ncbi.nlm.nih.gov/pmc/blobs/494b/5516726/6b38de45ed66/gr1.jpg
https://cdn.ncbi.nlm.nih.gov/pmc/blobs/494b/5516726/e3df5a3cea75/gr2.jpg
https://cdn.ncbi.nlm.nih.gov/pmc/blobs/494b/5516726/bf544a3eb147/gr3.jpg

相似文献

1
Serous Borderline Tumor of the Testis and Associated Magnetic Resonance Imaging Findings.睾丸浆液性交界性肿瘤及相关磁共振成像表现
Urol Case Rep. 2017 Jul 8;14:30-32. doi: 10.1016/j.eucr.2017.06.007. eCollection 2017 Sep.
2
MRI appearance of ovarian serous borderline tumors of the micropapillary type compared to that of typical ovarian serous borderline tumors: radiologic-pathologic correlation.微乳头型卵巢浆液性交界性肿瘤的 MRI 表现与典型卵巢浆液性交界性肿瘤的比较:影像学-病理学相关性。
J Ovarian Res. 2018 Jan 10;11(1):7. doi: 10.1186/s13048-018-0379-y.
3
Magnetic resonance imaging findings of cellular angiofibroma of the tunica vaginalis of the testis: a case report.睾丸鞘膜细胞性血管纤维瘤的磁共振成像表现:一例报告
J Med Case Rep. 2016 Mar 31;10:71. doi: 10.1186/s13256-016-0861-3.
4
Median raphe cyst in the scrotum, mimicking a serous borderline tumor, associated with cryptorchidism after orchiopecxy.阴囊正中缝囊肿,酷似浆液性交界性肿瘤,与睾丸固定术后隐睾相关。
Int J Urol. 2004 Dec;11(12):1150-2. doi: 10.1111/j.1442-2042.2004.00965.x.
5
Borderline serous papillary tumor of the testis.睾丸交界性浆液性乳头状肿瘤。
Indian J Pathol Microbiol. 2020 Oct-Dec;63(4):618-619. doi: 10.4103/IJPM.IJPM_837_19.
6
[Segmental infarction of the testis presenting as acute scrotum: a case report].[以急性阴囊表现的睾丸节段性梗死:一例报告]
Hinyokika Kiyo. 2009 May;55(5):281-4.
7
Serous Borderline Ovarian Epithelial Type Tumors of Testis in A Young Man with Only Mass Resection: A Case Report.仅行肿块切除术的年轻男性睾丸浆液性交界性卵巢上皮样肿瘤:一例报告
Iran J Pathol. 2023;18(4):476-479. doi: 10.30699/IJP.2023.547886.2880. Epub 2023 Oct 15.
8
[A Case of Granulomatous Orchitis].[一例肉芽肿性睾丸炎]
Hinyokika Kiyo. 2016 Jan;62(1):45-7.
9
Seromucinous borderline tumor of the testis-A case report.睾丸浆液性黏液性交界性肿瘤——病例报告
Hum Pathol. 2017 Feb;60:188-191. doi: 10.1016/j.humpath.2016.06.023. Epub 2016 Sep 3.
10
A Rare Case of Serous Papillary Ovarian Epithelial Type Carcinoma in Testis: A Rare Testicular Neoplasm.睾丸浆液性乳头状卵巢上皮型癌1例:一种罕见的睾丸肿瘤
J Family Reprod Health. 2019 Jun;13(2):116-119.

引用本文的文献

1
Epigenetic Factors and ncRNAs in Testicular Cancer.表观遗传因子和非编码 RNA 在睾丸癌中的作用。
Int J Mol Sci. 2023 Jul 30;24(15):12194. doi: 10.3390/ijms241512194.
2
Primary borderline mucinous tumor of the testis with postoperative metastasis: A rare case report.睾丸原发性交界性黏液性肿瘤伴术后转移:1例罕见病例报告
Radiol Case Rep. 2023 Jun 30;18(9):3203-3205. doi: 10.1016/j.radcr.2023.05.051. eCollection 2023 Sep.
3
Paratesticular Serous Borderline Tumor in a Pediatric Patient.一名儿科患者的睾丸旁浆液性交界性肿瘤

本文引用的文献

1
Borderline serous papillary tumour of the testis: a case report and review of the literature.睾丸交界性浆液性乳头状肿瘤:一例报告并文献复习。
Anticancer Res. 2012 Nov;32(11):5011-3.
2
Metastatic serous carcinoma of the testis: a case report and review of the literature.睾丸转移性浆液性癌:一例报告并文献复习
Case Rep Oncol. 2011 Apr 18;4(1):246-9. doi: 10.1159/000327989.
3
MR imaging of scrotal tumors and pseudotumors.阴囊肿瘤和假性肿瘤的磁共振成像。
Case Rep Pathol. 2020 Oct 19;2020:8789143. doi: 10.1155/2020/8789143. eCollection 2020.
Radiographics. 2010 May;30(3):665-83. doi: 10.1148/rg.303095049.
4
MRI in the histologic characterization of testicular neoplasms.磁共振成像在睾丸肿瘤组织学特征中的应用
AJR Am J Roentgenol. 2007 Dec;189(6):W331-7. doi: 10.2214/AJR.07.2267.
5
Serous borderline tumor of the paratestis: a report of seven cases.睾丸旁浆液性交界性肿瘤:7例报告
Am J Surg Pathol. 2001 Mar;25(3):373-8. doi: 10.1097/00000478-200103000-00012.