Suppr超能文献

磷酸二酯酶抑制剂异丁司特可减轻帕金森病MPTP模型中的神经炎症。

The phosphodiesterase inhibitor, ibudilast, attenuates neuroinflammation in the MPTP model of Parkinson's disease.

作者信息

Schwenkgrub Joanna, Zaremba Malgorzata, Joniec-Maciejak Ilona, Cudna Agnieszka, Mirowska-Guzel Dagmara, Kurkowska-Jastrzębska Iwona

机构信息

Department of Experimental and Clinical Pharmacology, Centre for Preclinical Research and Technology (CePT), Medical University of Warsaw, Warsaw, Poland.

Laboratory of Magnetic Resonance Imaging of Small Animals, Mossakowski Medical Research Centre, PAS, Warsaw, Poland.

出版信息

PLoS One. 2017 Jul 28;12(7):e0182019. doi: 10.1371/journal.pone.0182019. eCollection 2017.

Abstract

BACKGROUND/AIMS: Since the degeneration of the nigrostriatal dopaminergic pathway in Parkinson's disease (PD) is associated with the inflammation process and decreased levels of cyclic nucleotides, inhibition of up-regulated cyclic nucleotide phosphodiesterases (PDEs) appears to be a promising therapeutic strategy. We used ibudilast (IBD), a non-selective PDE3,4,10,11 inhibitor, due to the abundant PDE 4 and 10 expression in the striatum. The present study for the first time examined the efficacy of IBD in the 1-methyl-4-phenyl-1,2,3,6-tetrahydropyridine (MPTP) mouse model of PD.

METHODS

IBD [0, 20, 30, 40, or 50 mg/kg] was injected b.i.d. subcutaneously for nine days to three-month-old male C57Bl/10Tar mice, beginning two days prior to MPTP (60 mg/kg) intoxication. High-pressure liquid chromatography, Western blot analysis, and real time RT-PCR methods were applied.

RESULTS

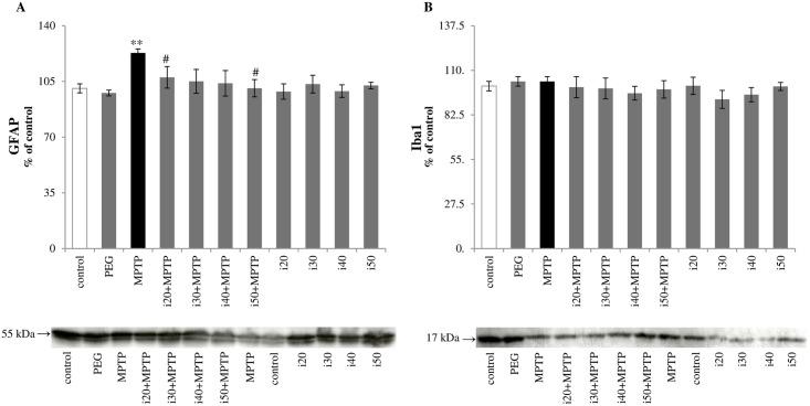
Our study demonstrated that chronic administration of IBD attenuated astroglial reactivity and increased glial cell-derived neurotrophic factor (GDNF) production in the striatum. Moreover, IBD reduced TNF-α, IL-6, and IL-1β expression.

CONCLUSION

IBD had a well-defined effect on astroglial activation in the mouse model of PD; however, there was no protective effect in the acute phase of injury. Diminished inflammation and an increased level of GDNF may provide a better outcome in the later stages of neurodegeneration.

摘要

背景/目的:由于帕金森病(PD)中黑质纹状体多巴胺能通路的退化与炎症过程及环核苷酸水平降低有关,抑制上调的环核苷酸磷酸二酯酶(PDEs)似乎是一种有前景的治疗策略。由于纹状体中PDE 4和10表达丰富,我们使用了非选择性PDE3、4、10、11抑制剂异丁司特(IBD)。本研究首次在1-甲基-4-苯基-1,2,3,6-四氢吡啶(MPTP)诱导的PD小鼠模型中检测了IBD的疗效。

方法

对3月龄雄性C57Bl/10Tar小鼠,在MPTP(60mg/kg)中毒前两天开始,皮下注射IBD[0、20、30、40或50mg/kg],每日两次,共9天。采用高压液相色谱、蛋白质免疫印迹分析和实时RT-PCR方法。

结果

我们的研究表明,长期给予IBD可减轻纹状体中的星形胶质细胞反应,并增加胶质细胞源性神经营养因子(GDNF)的产生。此外,IBD降低了TNF-α、IL-6和IL-1β的表达。

结论

IBD对PD小鼠模型中的星形胶质细胞活化有明确作用;然而,在损伤急性期没有保护作用。炎症减轻和GDNF水平升高可能在神经退行性变后期带来更好的结果。

https://cdn.ncbi.nlm.nih.gov/pmc/blobs/d8aa/5533435/c8c35d1ed709/pone.0182019.g001.jpg

文献检索

告别复杂PubMed语法,用中文像聊天一样搜索,搜遍4000万医学文献。AI智能推荐,让科研检索更轻松。

立即免费搜索

文件翻译

保留排版,准确专业,支持PDF/Word/PPT等文件格式,支持 12+语言互译。

免费翻译文档

深度研究

AI帮你快速写综述,25分钟生成高质量综述,智能提取关键信息,辅助科研写作。

立即免费体验