• 文献检索
  • 文档翻译
  • 深度研究
  • 学术资讯
  • Suppr Zotero 插件Zotero 插件
  • 邀请有礼
  • 套餐&价格
  • 历史记录
应用&插件
Suppr Zotero 插件Zotero 插件浏览器插件Mac 客户端Windows 客户端微信小程序
定价
高级版会员购买积分包购买API积分包
服务
文献检索文档翻译深度研究API 文档MCP 服务
关于我们
关于 Suppr公司介绍联系我们用户协议隐私条款
关注我们

Suppr 超能文献

核心技术专利:CN118964589B侵权必究
粤ICP备2023148730 号-1Suppr @ 2026

文献检索

告别复杂PubMed语法,用中文像聊天一样搜索,搜遍4000万医学文献。AI智能推荐,让科研检索更轻松。

立即免费搜索

文件翻译

保留排版,准确专业,支持PDF/Word/PPT等文件格式,支持 12+语言互译。

免费翻译文档

深度研究

AI帮你快速写综述,25分钟生成高质量综述,智能提取关键信息,辅助科研写作。

立即免费体验

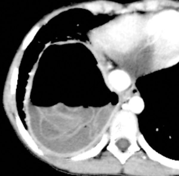
儿童肺包虫囊肿的 CT 表现及与囊肿破裂相关的因素。

Computed Tomography (CT) Findings of Pulmonary Hydatid Cysts in Children and the Factors Related to Cyst Rupture.

机构信息

Department of Radiology, Dicle University School of Medicine, Diyarbakır, Turkey.

Department of Thoracic Surgery, Dicle University School of Medicine, Diyarbakır, Turkey.

出版信息

Med Sci Monit. 2017 Jul 29;23:3679-3686. doi: 10.12659/msm.906163.

DOI:10.12659/msm.906163
PMID:28754885
原文链接:https://pmc.ncbi.nlm.nih.gov/articles/PMC5546193/
Abstract

BACKGROUND The lungs are the most common site of hydatid cysts in children. Rupture is the main complication of cysts causing morbidity and mortality. In this study we aimed to comprehensively describe the CT signs for cysts and analyze the relationship of cyst ruptures to the diameter and location of cyst. MATERIAL AND METHODS A total of 145 cysts from 102 patients, aged 17 years or younger, who underwent a multi-detector computed tomography (MDCT) evaluation and had surgically proven pulmonary hydatid disease were included retrospectively. The CT images were analyzed for radiologic findings and signs of cyst rupture. RESULTS The cysts had a mean diameter of 5.45±3.03 cm. Most of the patients had a solitary cyst (70.6%). The most common lobes involved were the lower lobes (58.6%). Peripherally located cysts were more common than central cysts. The overall number of ruptured cysts was 69 (47.5%). The most common sign was the waterlily sign with a prevalence of 24.6%. After exclusion of cysts of 1 cm, the mean cyst diameter was 6.23±2.83 cm in the unruptured group and 5.02±2.80 cm in the complete ruptured group (p=0.020). The mean cyst diameter was 6.38±3.11 cm for centrally located cysts, and 4.31±2.37 cm for peripherally located cysts (p<0.0001). CONCLUSIONS Pulmonary hydatid cysts commonly presents as solitary cysts with a predilection for lower lobes and the peripheral regions of the lung. Peripherally located cysts are more common but smaller than centrally located cysts. Radiologists should also be aware of atypical imaging findings of cyst rupture, and radiologic signs should be explored during radiologic evaluation.

摘要

背景

肺部是儿童包虫囊肿最常见的部位。破裂是囊肿的主要并发症,可导致发病率和死亡率。在本研究中,我们旨在全面描述囊肿的 CT 征象,并分析囊肿破裂与囊肿直径和位置的关系。

材料和方法

回顾性分析了 102 例年龄在 17 岁以下的经多排 CT(MDCT)检查并经手术证实为肺包虫病的患者的 145 个囊肿。对 CT 图像进行了影像学表现和囊肿破裂的影像学征象分析。

结果

囊肿的平均直径为 5.45±3.03cm。大多数患者为单发囊肿(70.6%)。最常见的受累肺叶是下叶(58.6%)。周围部位的囊肿比中央部位的囊肿更常见。破裂的囊肿总数为 69 个(47.5%)。最常见的征象是睡莲征,发生率为 24.6%。排除直径为 1cm 的囊肿后,未破裂组的平均囊肿直径为 6.23±2.83cm,完全破裂组为 5.02±2.80cm(p=0.020)。中央部位囊肿的平均直径为 6.38±3.11cm,周围部位囊肿的平均直径为 4.31±2.37cm(p<0.0001)。

结论

肺包虫囊肿常表现为单发囊肿,以下叶和肺外周区域为好发部位。周围部位的囊肿比中央部位的囊肿更常见,但体积更小。放射科医生也应该注意到囊肿破裂的不典型影像学表现,在影像学评估中应该探索影像学征象。

https://cdn.ncbi.nlm.nih.gov/pmc/blobs/82f8/5546193/66e2c58eb73f/medscimonit-23-3679-g005.jpg
https://cdn.ncbi.nlm.nih.gov/pmc/blobs/82f8/5546193/0fa6c06f9821/medscimonit-23-3679-g001.jpg
https://cdn.ncbi.nlm.nih.gov/pmc/blobs/82f8/5546193/95483fc5a18a/medscimonit-23-3679-g002.jpg
https://cdn.ncbi.nlm.nih.gov/pmc/blobs/82f8/5546193/11b9722e5d27/medscimonit-23-3679-g003.jpg
https://cdn.ncbi.nlm.nih.gov/pmc/blobs/82f8/5546193/c930c62a824f/medscimonit-23-3679-g004.jpg
https://cdn.ncbi.nlm.nih.gov/pmc/blobs/82f8/5546193/66e2c58eb73f/medscimonit-23-3679-g005.jpg
https://cdn.ncbi.nlm.nih.gov/pmc/blobs/82f8/5546193/0fa6c06f9821/medscimonit-23-3679-g001.jpg
https://cdn.ncbi.nlm.nih.gov/pmc/blobs/82f8/5546193/95483fc5a18a/medscimonit-23-3679-g002.jpg
https://cdn.ncbi.nlm.nih.gov/pmc/blobs/82f8/5546193/11b9722e5d27/medscimonit-23-3679-g003.jpg
https://cdn.ncbi.nlm.nih.gov/pmc/blobs/82f8/5546193/c930c62a824f/medscimonit-23-3679-g004.jpg
https://cdn.ncbi.nlm.nih.gov/pmc/blobs/82f8/5546193/66e2c58eb73f/medscimonit-23-3679-g005.jpg

相似文献

1
Computed Tomography (CT) Findings of Pulmonary Hydatid Cysts in Children and the Factors Related to Cyst Rupture.儿童肺包虫囊肿的 CT 表现及与囊肿破裂相关的因素。
Med Sci Monit. 2017 Jul 29;23:3679-3686. doi: 10.12659/msm.906163.
2
[Acute rupture of hydatid cysts in the peritoneum: 17 cases].[腹膜包虫囊肿急性破裂:17例]
Presse Med. 2004 Mar 27;33(6):378-84. doi: 10.1016/s0755-4982(04)98600-9.
3
Radiological characteristics of pulmonary hydatid disease in children: less common radiological appearances.儿童肺包虫病的放射学特征:少见的放射学表现。
Eur J Radiol. 2003 Feb;45(2):123-8. doi: 10.1016/s0720-048x(02)00054-2.
4
CT findings in pulmonary hydatid disease.肺包虫病的CT表现。
Acta Radiol. 1999 Sep;40(5):510-4. doi: 10.3109/02841859909175576.
5
[Computed tomography of complicated pulmonary hydatid cyst by rupture in the bronchi].[支气管破裂所致复杂型肺包虫囊肿的计算机断层扫描]
J Radiol. 2007 Jan;88(1 Pt 1):59-64. doi: 10.1016/s0221-0363(07)89790-3.
6
Computed tomography of pulmonary hydatid disease.肺包虫病的计算机断层扫描
J Comput Assist Tomogr. 1986 Mar-Apr;10(2):226-32. doi: 10.1097/00004728-198603000-00011.
7
Surgical management of pulmonary hydatid cysts: is size an important prognostic indicator?肺包虫囊肿的外科治疗:大小是一个重要的预后指标吗?
Tex Heart Inst J. 2010;37(4):429-34.
8
Treatment of spontaneous rupture of lung hydatid cysts into a bronchus in children.儿童肺包虫囊肿自发性破裂入支气管的治疗
J Pediatr Surg. 2015 Sep;50(9):1481-3. doi: 10.1016/j.jpedsurg.2015.01.010. Epub 2015 Jan 29.
9
''Air-bubble'' signs in the CT diagnosis of perforated pulmonary hydatid cyst: three case reports.CT诊断肺包虫囊肿破裂的“气泡”征:三例报告
Minerva Pediatr. 2008 Jun;60(3):361-4.
10
Intraperitoneal rupture of hydatid cysts.包虫囊肿腹腔内破裂
Eur J Trauma Emerg Surg. 2017 Jun;43(3):387-391. doi: 10.1007/s00068-016-0662-9. Epub 2016 Mar 23.

引用本文的文献

1
The Impact of Fissure-Adjacent Localization on Rupture Risk in Pulmonary Hydatid Disease.肺包虫病中临近裂隙定位对破裂风险的影响
Cureus. 2025 Jul 14;17(7):e87899. doi: 10.7759/cureus.87899. eCollection 2025 Jul.
2
Bilateral Pulmonary Cystic Lesions with Fatal Outcome Due to Echinococcosis.因棘球蚴病导致双侧肺囊性病变并出现致命结局
Am J Trop Med Hyg. 2025 Feb 18;112(5):948-949. doi: 10.4269/ajtmh.24-0511. Print 2025 May 7.
3
Capitonnage Versus Non-Capitonnage in Pediatric Pulmonary Hydatid Disease: A Systematic Review and Meta-Analysis.

本文引用的文献

1
The relation between the location and the perforation rate of lung hydatid cysts in children.儿童肺包虫囊肿的位置与穿孔率的关系。
Asian J Surg. 2018 Sep;41(5):422-426. doi: 10.1016/j.asjsur.2017.04.001. Epub 2017 Apr 17.
2
Imaging in pulmonary hydatid cysts.肺包虫囊肿的影像学检查
World J Radiol. 2016 Jun 28;8(6):581-7. doi: 10.4329/wjr.v8.i6.581.
3
Cystic pulmonary hydatidosis.囊性肺包虫病
小儿肺包虫病中包囊内翻术与非包囊内翻术:一项系统评价与荟萃分析
Health Sci Rep. 2024 Dec 4;7(12):e70235. doi: 10.1002/hsr2.70235. eCollection 2024 Dec.
4
Non-metastatic causes of multiple pulmonary nodules.多发性肺结节的非转移性病因。
Insights Imaging. 2024 Nov 29;15(1):288. doi: 10.1186/s13244-024-01856-9.
5
Conservative Surgical Management of a Pulmonary Hydatid Cyst in an Adolescent Having Extra-pulmonary Lesions by a Multi-disciplinary Approach.多学科方法对一名患有肺外病变的青少年肺包虫囊肿的保守手术治疗
Cureus. 2024 Apr 19;16(4):e58600. doi: 10.7759/cureus.58600. eCollection 2024 Apr.
6
Ruptured hydatid cyst presenting with a hydropneumothorax in a 16-year-old boy: A case report from Syria.一名16岁男孩出现气胸的破裂包虫囊肿:来自叙利亚的病例报告
Int J Surg Case Rep. 2023 Apr;105:108034. doi: 10.1016/j.ijscr.2023.108034. Epub 2023 Mar 23.
7
Pulmonary Hydatid Cyst in Children: A Single-Institution Experience.儿童肺包虫囊肿:单机构经验
Cureus. 2022 Jul 8;14(7):e26670. doi: 10.7759/cureus.26670. eCollection 2022 Jul.
8
Evaluation of clinical status, diagnosis, treatment and radiological findings of pulmonary hydatid cyst: 5-years' experience at tertiary lung center.肺包虫囊肿的临床状况、诊断、治疗及影像学表现评估:三级肺科中心的5年经验
Caspian J Intern Med. 2022 Winter;13(1):44-50. doi: 10.22088/cjim.13.1.44.
9
Cystotomy with Non-Capitonnage in Treating Children with Pulmonary Hydatid Disease.膀胱造口术联合非套扎法治疗小儿肺包虫病
Ann Thorac Cardiovasc Surg. 2022 Feb 20;28(1):41-47. doi: 10.5761/atcs.oa.20-00390. Epub 2021 Jul 28.
10
Surgical management of pulmonary hydatid cysts in children in KwaZulu-Natal Province, South Africa.南非夸祖鲁-纳塔尔省儿童肺包虫囊肿的外科治疗
Afr J Thorac Crit Care Med. 2020 Oct 13;26(3). doi: 10.7196/AJTCCM.2020.v26i3.108. eCollection 2020.
Lung India. 2016 Mar-Apr;33(2):179-91. doi: 10.4103/0970-2113.177449.
4
Pulmonary hydatid disease is difficult recognized in children.肺包虫病在儿童中难以被识别。
Pediatr Surg Int. 2014 Jul;30(7):737-41. doi: 10.1007/s00383-014-3514-x. Epub 2014 May 20.
5
Hydatid cysts of the lung: lesion size in relation to clinical presentation and therapeutic approach.肺包虫囊肿:病变大小与临床表现和治疗方法的关系。
Surg Today. 2014 Jan;44(1):131-6. doi: 10.1007/s00595-012-0484-2. Epub 2013 Jan 20.
6
Surgical management of pulmonary hydatid cysts: is size an important prognostic indicator?肺包虫囊肿的外科治疗:大小是一个重要的预后指标吗?
Tex Heart Inst J. 2010;37(4):429-34.
7
Lung hydatic cysts in children: comparison study between giant and non-giant cysts.儿童肺包虫囊肿:巨大囊肿与非巨大囊肿的比较研究
Pediatr Surg Int. 2009 Jan;25(1):37-40. doi: 10.1007/s00383-008-2256-z. Epub 2008 Oct 1.
8
An analysis of clinical features of pulmonary giant hydatid cyst in adult population.成年人群肺巨大包虫囊肿临床特征分析
Am J Surg. 2009 Feb;197(2):177-81. doi: 10.1016/j.amjsurg.2007.12.053. Epub 2008 Jul 9.
9
Comparison of pulmonary hydatid cysts in children and adults.儿童与成人肺包虫囊肿的比较。
ANZ J Surg. 2004 Oct;74(10):885-9. doi: 10.1111/j.1445-1433.2004.03022.x.
10
Ruptured hydatid cysts of the lung in children: clinical review and results of surgery.儿童肺包虫囊肿破裂:临床回顾与手术结果
Ann Thorac Surg. 2002 Sep;74(3):889-92. doi: 10.1016/s0003-4975(02)03785-2.