Suppr超能文献

不同粪便保存条件对物种分子检测的影响

The Impact of Different Copro-preservation Conditions on Molecular Detection of Species.

作者信息

Abdelsalam Iman Moawad, Sarhan Rania Mohammad, Hanafy Marmar Ahmed

机构信息

Dept. of Medical Parasitology, Faculty of Medicine, Ain Shams University, Cairo, Egypt.

出版信息

Iran J Parasitol. 2017 Apr-Jun;12(2):274-283.

Abstract

BACKGROUND

We aimed to evaluate different copro-preservation conditions along the duration of one month for a better outcome of molecular diagnosis of species.

METHODS

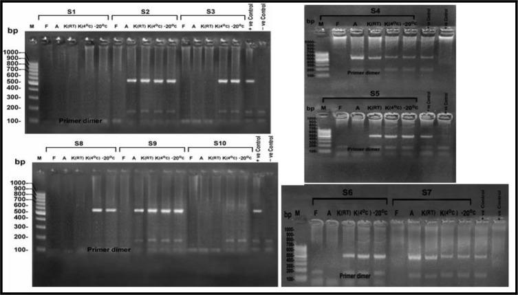
Ten samples out of 380 fresh stool samples collected from patients with diarrhea proved positive after direct examination, concentration, staining and confirmed by immunochromatographic test. The study was conducted at the Diagnostic and Research Unit of Parasitic diseases, Faculty of Medicine, Ain Shams University at the time interval from July 2014 to December 2015. Each stool sample was preserved in five different conditions; freezing at -20 °C, 70% ethyl alcohol, 10% formalin, 2.5% potassium dichromate (K dichromate) at 4 °C and 2.5% K dichromate at room temperature (RT). Then DNA extraction and nested PCR, with oocyst wall protein (COWP) gene were done from each sample at zero time (fresh specimens) as a standard for comparison with the preservation conditions at 10, 20 and 30 d.

RESULTS

Sensitivity of studied preservative conditions along the whole study duration showed best outcome from freezing at -20 °C (80%) then K dichromate (4 °C) (73.3%) followed by K dichromate (RT) (66.7%), then alcohol (33.3%), while formalin was the worst (0%) with a highly significant comparative outcome between the different conditions. Along the three extraction intervals, K dichromate (RT), unlike all the rest of conditions lacks the consistent preservative action.

CONCLUSION

Our study highlights freezing at -20 °C to be the most suitable condition for preservation followed by K dichromate at 4 °C, K dichromate at RT, then 70% ethyl alcohol. Formalin (10%) is better to be avoided.

摘要

背景

我们旨在评估为期一个月的不同粪便保存条件,以获得更好的寄生虫种类分子诊断结果。

方法

从腹泻患者收集的380份新鲜粪便样本中,有10份经直接检查、浓缩、染色后呈阳性,并通过免疫层析试验得到确认。该研究于2014年7月至2015年12月期间在艾因夏姆斯大学医学院寄生虫病诊断与研究单位进行。每份粪便样本分别保存在五种不同条件下:-20℃冷冻、70%乙醇、10%福尔马林、4℃的2.5%重铬酸钾(K重铬酸钾)和室温(RT)下的2.5%重铬酸钾。然后在零时间(新鲜样本)从每个样本中提取DNA并进行巢式PCR,以卵囊壁蛋白(COWP)基因为靶点,作为与10、20和30天时保存条件进行比较的标准。

结果

在整个研究期间,所研究的保存条件的敏感性显示,-20℃冷冻的效果最佳(80%),其次是4℃的重铬酸钾(73.3%),然后是室温下的重铬酸钾(66.7%),接着是乙醇(33.3%),而福尔马林最差(0%),不同条件之间的比较结果具有高度显著性。在三个提取时间点上,室温下的重铬酸钾与其他所有条件不同,缺乏持续的保存作用。

结论

我们的研究强调,-20℃冷冻是最适合的保存条件,其次是4℃的重铬酸钾、室温下的重铬酸钾,然后是70%乙醇。最好避免使用10%福尔马林。

https://cdn.ncbi.nlm.nih.gov/pmc/blobs/2e57/5527039/04abed28f3ea/IJPA-12-274-g001.jpg

文献检索

告别复杂PubMed语法,用中文像聊天一样搜索,搜遍4000万医学文献。AI智能推荐,让科研检索更轻松。

立即免费搜索

文件翻译

保留排版,准确专业,支持PDF/Word/PPT等文件格式,支持 12+语言互译。

免费翻译文档

深度研究

AI帮你快速写综述,25分钟生成高质量综述,智能提取关键信息,辅助科研写作。

立即免费体验