Suppr超能文献

海绵窦内良性病变的显微外科治疗:病例系列

Microsurgical management of benign lesions interior to the cavernous sinus: A case series.

作者信息

Chowdhury Forhad Hossain, Haque Mohammod Raziul

机构信息

Department of Neurosurgery, National Institute of Neurosciences and Hospital, Dhaka, Bangladesh.

Department of Neurosurgery, Dhaka Medical College Hospital, Dhaka, Bangladesh.

出版信息

Asian J Neurosurg. 2017 Jul-Sep;12(3):398-406. doi: 10.4103/1793-5482.180892.

Abstract

BACKGROUND

Benign lesion interior to the cavernous sinus (CS) is very rare.

OBJECTIVE

In this series we found nonneoplastic lymphatic aggregation and osteoclastoma inside the CS which is very rare and probably not reported in literature. One interesting postoperative complaint of feeling of tickling down of warm water under the skin forehead was found in the patient of inflammatory disease of CS which is not reported in literature. Here we also describe our experiences of microsurgical management of series of benign lesions inside the CS.

MATERIALS AND METHODS

Benign mass originated from the content of CS or inner side of walls of CS, confirmed peroperatively were included in this series. Prospectively recorded data of microsurgical management was retrogradely studied.

RESULTS

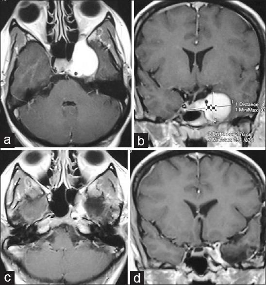
Total number of patient was 12. Patient's age range was 30-60 years. Follow-up range was 60 months to 19 months. Three was nonneoplastic lesion (tuberculosis, inflammatory and nonneoplastic lymphoid infiltration). Among the 9 neoplastic lesions, two hemangiomas, two meningiomas, three 6 nerve schwannomas, one osteoclastoma and one epidermoid tumor. Middle cranial fossa-subtemporal extradural approach was used in 9 cases and in two cases extended middle fossa zygomatic approach. New postoperative 3 nerve palsy developed in 5 cases all recovered completely except one. In seven patients 6 nerve palsy developed after operation; only one recovered. Postoperatively simultaneous 3, 4 and 6 nerve palsy developed in four cases. One interesting postoperative complaint of feeling of tickling down of warm water under the skin of left sided forehead was found in the patient of inflammatory disease of CS. Mortality was nil. Total resection was done in 9 cases. There was no recurrence till last follow-up.

CONCLUSION

Though decision for microsurgical removal of such lesions is not straight forward. Probably microsurgery is the best option in treating such benign lesions though it may associate with some permanent cranial nerve palsy.

摘要

背景

海绵窦(CS)内的良性病变非常罕见。

目的

在本系列研究中,我们在CS内发现了非肿瘤性淋巴聚集和骨巨细胞瘤,这非常罕见,可能在文献中未被报道。在CS炎性疾病患者中发现了一种有趣的术后主诉,即前额皮肤下有温水向下挠痒的感觉,这在文献中也未被报道。在此我们还描述了我们对CS内一系列良性病变进行显微手术治疗的经验。

材料与方法

本系列纳入了源自CS内容物或CS壁内侧且经术中证实的良性肿块。对显微手术治疗的前瞻性记录数据进行回顾性研究。

结果

患者总数为12例。患者年龄范围为30至60岁。随访时间为60个月至19个月。有3例为非肿瘤性病变(结核、炎症和非肿瘤性淋巴浸润)。在9例肿瘤性病变中,有2例血管瘤、2例脑膜瘤、3例6神经鞘瘤、1例骨巨细胞瘤和1例表皮样肿瘤。9例采用中颅窝 - 颞下硬膜外入路,2例采用扩大中颅窝颧骨入路。术后新出现3神经麻痹5例,除1例未完全恢复外其余均完全恢复。7例患者术后出现6神经麻痹;仅1例恢复。术后4例同时出现3、4和6神经麻痹。在CS炎性疾病患者中发现了一种有趣的术后主诉,即左侧前额皮肤下有温水向下挠痒的感觉。无死亡病例。9例实现了全切除。至最后一次随访时无复发。

结论

虽然对于此类病变进行显微手术切除的决策并非简单直接。尽管显微手术可能会伴有一些永久性颅神经麻痹,但可能仍是治疗此类良性病变的最佳选择。

https://cdn.ncbi.nlm.nih.gov/pmc/blobs/9329/5532921/bb3aec7e5d94/AJNS-12-398-g002.jpg

文献AI研究员

20分钟写一篇综述,助力文献阅读效率提升50倍。

立即体验

用中文搜PubMed

大模型驱动的PubMed中文搜索引擎

马上搜索

文档翻译

学术文献翻译模型,支持多种主流文档格式。

立即体验