• 文献检索
  • 文档翻译
  • 深度研究
  • 学术资讯
  • Suppr Zotero 插件Zotero 插件
  • 邀请有礼
  • 套餐&价格
  • 历史记录
应用&插件
Suppr Zotero 插件Zotero 插件浏览器插件Mac 客户端Windows 客户端微信小程序
定价
高级版会员购买积分包购买API积分包
服务
文献检索文档翻译深度研究API 文档MCP 服务
关于我们
关于 Suppr公司介绍联系我们用户协议隐私条款
关注我们

Suppr 超能文献

核心技术专利:CN118964589B侵权必究
粤ICP备2023148730 号-1Suppr @ 2026

文献检索

告别复杂PubMed语法,用中文像聊天一样搜索,搜遍4000万医学文献。AI智能推荐,让科研检索更轻松。

立即免费搜索

文件翻译

保留排版,准确专业,支持PDF/Word/PPT等文件格式,支持 12+语言互译。

免费翻译文档

深度研究

AI帮你快速写综述,25分钟生成高质量综述,智能提取关键信息,辅助科研写作。

立即免费体验

颅底骨病变:管理细节;来自三级护理中心的回顾性分析

Skull base bony lesions: Management nuances; a retrospective analysis from a Tertiary Care Centre.

作者信息

Singh Amit Kumar, Srivastava Arun Kumar, Sardhara Jayesh, Bhaisora Kamlesh Singh, Das Kuntal Kanti, Mehrotra Anant, Sahu Rabi Narayan, Jaiswal Awadhesh Kumar, Behari Sanjay

机构信息

Department of Neurosurgery, SGPGIMS, Lucknow, Uttar Pradesh, India.

出版信息

Asian J Neurosurg. 2017 Jul-Sep;12(3):506-513. doi: 10.4103/1793-5482.185068.

DOI:10.4103/1793-5482.185068
PMID:28761532
原文链接:https://pmc.ncbi.nlm.nih.gov/articles/PMC5532939/
Abstract

BACKGROUND

Skull base lesions are not uncommon, but their management has been challenging for surgeons. There is large no of bony tumors at the skull base which has not been studied in detail as a group. These tumors are difficult not only because of their location but also due to their variability in the involvement of important local structure. Through this retrospective analysis from a Tertiary Care Centre, we are summarizing the details of skull base bony lesions and its management nuances.

MATERIALS AND METHODS

The histopathologically, radiologically, and surgically proven cases of skull base bony tumors or lesions involving bone were analyzed from the neurosurgery, neuropathology record of our Tertiary Care Institute from January 2009 to January 2014. All available preoperative and postoperative details were noted from their case files. The extent of excision was ascertained from operation records and postoperative magnetic resonance imaging if available.

RESULTS

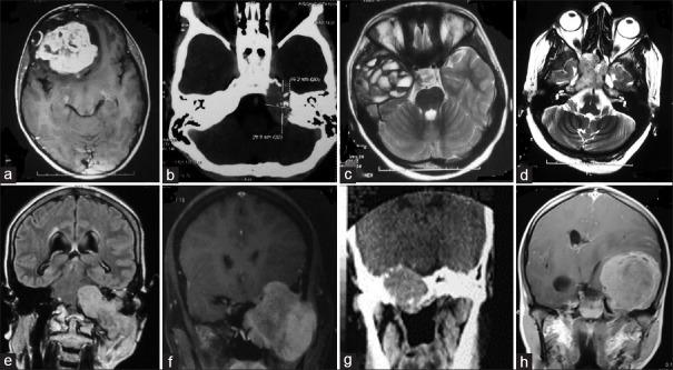
We have surgically managed 41 cases of skull base bony tumors. It includes 11 patients of anterior skull base, 13 middle skull base, and 17 posterior skull base bony tumors. The most common bony tumor was chordoma 15 (36.6%), followed by fibrous dysplasia 5 (12.2%), chondrosarcoma (12.2%), and ewings sarcoma-peripheral primitive neuroectodermal tumor (EWS-pPNET) five cases (12.2%) each. There were more malignant lesions ( = 29, 70.7%) at skull base than benign ( = 12, 29.3%) lesions. The surgical approach employed depended on location of tumor and pathology. Total mortality was 8 (20%) of whom 5 patients were of histological proven EWS-pPNET.

CONCLUSIONS

Bony skull base lesion consists of wide variety of lesions, and requires multispecialty management. The complex lesions required tailored approaches surgery of these lesions. With the advent of microsurgical and endoscopic techniques, and use of navigation better outcomes are being seen, but these lesions require further study for development of proper management plan.

摘要

背景

颅底病变并不罕见,但对外科医生来说,其治疗一直具有挑战性。颅底有大量的骨肿瘤,作为一个整体尚未得到详细研究。这些肿瘤之所以棘手,不仅是因为其位置,还因其累及重要局部结构的情况存在差异。通过对一家三级医疗中心的回顾性分析,我们总结了颅底骨病变的详细情况及其治疗要点。

材料与方法

对2009年1月至2014年1月期间在我们三级医疗研究所神经外科、神经病理学记录中经组织病理学、放射学和手术证实的累及骨骼的颅底骨肿瘤或病变病例进行分析。从他们的病历中记录所有可用的术前和术后详细信息。如果有术后磁共振成像,从手术记录和术后磁共振成像确定切除范围。

结果

我们手术治疗了41例颅底骨肿瘤。其中包括11例前颅底、13例中颅底和17例后颅底骨肿瘤。最常见的骨肿瘤是脊索瘤15例(36.6%),其次是骨纤维发育不良5例(12.2%)、软骨肉瘤(12.2%)以及尤因肉瘤-外周原始神经外胚层肿瘤(EWS-pPNET)各5例(12.2%)。颅底的恶性病变(n = 29,70.7%)比良性病变(n = 12,29.3%)更多。所采用的手术入路取决于肿瘤的位置和病理类型。总死亡率为8例(20%),其中5例经组织学证实为EWS-pPNET。

结论

颅底骨病变包括多种类型的病变,需要多学科管理。复杂病变需要针对这些病变的定制手术方法。随着显微外科和内镜技术的出现以及导航的使用,正在看到更好的治疗效果,但这些病变需要进一步研究以制定合适的管理计划。

https://cdn.ncbi.nlm.nih.gov/pmc/blobs/0d29/5532939/d2c3cf71d1b8/AJNS-12-506-g007.jpg
https://cdn.ncbi.nlm.nih.gov/pmc/blobs/0d29/5532939/23b75fa2aebb/AJNS-12-506-g001.jpg
https://cdn.ncbi.nlm.nih.gov/pmc/blobs/0d29/5532939/29a15a8e6079/AJNS-12-506-g006.jpg
https://cdn.ncbi.nlm.nih.gov/pmc/blobs/0d29/5532939/d2c3cf71d1b8/AJNS-12-506-g007.jpg
https://cdn.ncbi.nlm.nih.gov/pmc/blobs/0d29/5532939/23b75fa2aebb/AJNS-12-506-g001.jpg
https://cdn.ncbi.nlm.nih.gov/pmc/blobs/0d29/5532939/29a15a8e6079/AJNS-12-506-g006.jpg
https://cdn.ncbi.nlm.nih.gov/pmc/blobs/0d29/5532939/d2c3cf71d1b8/AJNS-12-506-g007.jpg

相似文献

1
Skull base bony lesions: Management nuances; a retrospective analysis from a Tertiary Care Centre.颅底骨病变:管理细节;来自三级护理中心的回顾性分析
Asian J Neurosurg. 2017 Jul-Sep;12(3):506-513. doi: 10.4103/1793-5482.185068.
2
Tumors of the skull base in children and adolescents.儿童和青少年的颅底肿瘤。
J Neurosurg. 2004 Feb;100(2 Suppl Pediatrics):169-78. doi: 10.3171/ped.2004.100.2.0169.
3
[Significance of anatomic variants of bony surroundings of the internal carotid artery and their significance for lateral surgical approaches to the cavernous sinus].[颈内动脉骨性周围结构解剖变异的意义及其对海绵窦外侧手术入路的意义]
Ann Acad Med Stetin. 2003;49:205-29.
4
Neuronavigational guidance in craniofacial approaches for large (para)nasal tumors involving the anterior skull base and upper clival lesions.用于涉及前颅底和上斜坡病变的大型(副)鼻窦肿瘤的颅面入路中的神经导航引导
Eur J Surg Oncol. 2009 Jun;35(6):666-72. doi: 10.1016/j.ejso.2008.10.011. Epub 2008 Dec 3.
5
Jugular foramen tumors: diagnosis and treatment.颈静脉孔区肿瘤:诊断与治疗
Neurosurg Focus. 2004 Aug 15;17(2):E5. doi: 10.3171/foc.2004.17.2.5.
6
[Endoscopic endonasal surgery for extrasellar tumors: case presentation and its future perspective].[经鼻内镜手术治疗鞍外肿瘤:病例报告及其未来展望]
No Shinkei Geka. 2009 Mar;37(3):229-46.
7
Revising the Indications of Transtemporal Surgical Approaches in the Modern Endoscopic Era of Skull Base Surgery: A Dying Art.现代内镜颅底外科时代经颞手术入路适应证的修订:一门渐趋式微的技艺
J Neurol Surg B Skull Base. 2020 Nov 26;83(2):167-176. doi: 10.1055/s-0040-1718767. eCollection 2022 Apr.
8
Chondrosarcoma of the skull base: long-term follow-up.颅底软骨肉瘤:长期随访
Otol Neurotol. 2006 Oct;27(7):981-91. doi: 10.1097/01.mao.0000233812.48800.b4.
9
Pediatric sinonasal and skull base lesions.小儿鼻窦和颅底病变。
World J Otorhinolaryngol Head Neck Surg. 2020 Apr 8;6(2):118-124. doi: 10.1016/j.wjorl.2020.01.007. eCollection 2020 Jun.
10
Posttraumatic reactive fibrous bone neoformation of the anterior skull base mimicking osteosarcoma.前颅底创伤后反应性纤维性骨新形成,酷似骨肉瘤。
Skull Base. 2008 Sep;18(5):345-51. doi: 10.1055/s-0028-1086058.

引用本文的文献

1
Surgical Management of Complex Skull Base Tumor Using Preoperative Multimodal Image Fusion Technology.运用术前多模态影像融合技术的复杂颅底肿瘤手术治疗
J Craniofac Surg. 2024 Mar 27;35(3):853-9. doi: 10.1097/SCS.0000000000010073.

本文引用的文献

1
Osteosarcoma of the cranial vault and skull base in pediatric patients.小儿患者颅顶和颅底骨肉瘤
J Neurosurg Pediatr. 2014 Apr;13(4):380-7. doi: 10.3171/2013.12.PEDS13359. Epub 2014 Jan 31.
2
A 3-dimensional transnasal endoscopic journey through the paranasal sinuses and adjacent skull base: a practical and surgery-oriented perspective.经鼻内镜三维入路在鼻窦及毗邻颅底手术中的应用:一种实用且以手术为导向的视角。
Neurosurgery. 2014 Mar;10 Suppl 1:116-20; discussion 120. doi: 10.1227/NEU.0000000000000172.
3
Primary and metastatic Ewing sarcoma of the skull base - case reports and comparative analysis.
颅底原发性和转移性尤因肉瘤——病例报告及对比分析
Zh Vopr Neirokhir Im N N Burdenko. 2013;77(1):30-6; discussion 36.
4
Radiosurgery with photons or protons for benign and malignant tumours of the skull base: a review.颅底良、恶性肿瘤的光子或质子放射外科治疗:综述。
Radiat Oncol. 2012 Dec 14;7:210. doi: 10.1186/1748-717X-7-210.
5
A stepwise illustration of the translabyrinthine approach to a large cystic vestibular schwannoma.经迷路入路切除大型囊性前庭神经鞘瘤的分步图示。
Neurosurg Focus. 2012 Sep;33(3):E11. doi: 10.3171/2012.7.FOCUS12208.
6
The frontotemporal-orbitozygomatic approach: reconstructive technique and outcome.额眶颧入路:重建技术与结果。
Acta Neurochir (Wien). 2012 Jul;154(7):1275-83. doi: 10.1007/s00701-012-1370-9. Epub 2012 May 11.
7
Principles of radiobiology of stereotactic radiosurgery and clinical applications in the central nervous system.立体定向放射外科的放射生物学原理及其在中枢神经系统的临床应用。
Technol Cancer Res Treat. 2012 Feb;11(1):3-13. doi: 10.7785/tcrt.2012.500229.
8
A systematic review of intracranial chondrosarcoma and survival.颅内软骨肉瘤的系统回顾和生存。
J Clin Neurosci. 2009 Dec;16(12):1547-51. doi: 10.1016/j.jocn.2009.05.003. Epub 2009 Sep 30.
9
Extended endoscopic approaches for midline skull-base lesions.用于中线颅底病变的扩展内镜入路
Neurosurg Rev. 2009 Jul;32(3):309-19; discussion 318-9. doi: 10.1007/s10143-009-0201-9. Epub 2009 Apr 30.
10
Proposed classification for the transbasal approach and its modifications.经基底入路及其改良的拟议分类。
Skull Base. 2008 Jan;18(1):29-47. doi: 10.1055/s-2007-994292.