• 文献检索
  • 文档翻译
  • 深度研究
  • 学术资讯
  • Suppr Zotero 插件Zotero 插件
  • 邀请有礼
  • 套餐&价格
  • 历史记录
应用&插件
Suppr Zotero 插件Zotero 插件浏览器插件Mac 客户端Windows 客户端微信小程序
定价
高级版会员购买积分包购买API积分包
服务
文献检索文档翻译深度研究API 文档MCP 服务
关于我们
关于 Suppr公司介绍联系我们用户协议隐私条款
关注我们

Suppr 超能文献

核心技术专利:CN118964589B侵权必究
粤ICP备2023148730 号-1Suppr @ 2026

文献检索

告别复杂PubMed语法,用中文像聊天一样搜索,搜遍4000万医学文献。AI智能推荐,让科研检索更轻松。

立即免费搜索

文件翻译

保留排版,准确专业,支持PDF/Word/PPT等文件格式,支持 12+语言互译。

免费翻译文档

深度研究

AI帮你快速写综述,25分钟生成高质量综述,智能提取关键信息,辅助科研写作。

立即免费体验

人类牙周韧带干细胞分泌组来源于多发性硬化症患者,可抑制实验性自身免疫性脑脊髓炎中 NALP3 炎性小体的激活。

Human periodontal ligament stem cells secretome from multiple sclerosis patients suppresses NALP3 inflammasome activation in experimental autoimmune encephalomyelitis.

机构信息

1 IRCCS Centro Neurolesi "Bonino Pulejo," Messina, Italy.

2 Stem Cells and Regenerative Medicine Laboratory, Department of Medical, Oral and Biotechnological Sciences, "G. d'Annunzio" University of Chieti-Pescara, Chieti, Italy.

出版信息

Int J Immunopathol Pharmacol. 2017 Sep;30(3):238-252. doi: 10.1177/0394632017722332. Epub 2017 Aug 2.

DOI:10.1177/0394632017722332
PMID:28764573
原文链接:https://pmc.ncbi.nlm.nih.gov/articles/PMC5815262/
Abstract

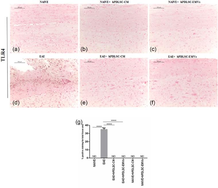
Research in recent years has largely explored the immunomodulatory effects of mesenchymal stem cells (MSCs) and their secretory products, called "secretome," in the treatment of neuroinflammatory diseases. Here, we examined whether such immunosuppressive effects might be elicited due to inflammasome inactivation. To this end, we treated experimental autoimmune encephalomyelitis (EAE) mice model of multiple sclerosis (MS) with the conditioned medium or purified exosomes/microvesicles (EMVs) obtained from relapsing-remitting-MS patients human periodontal ligament stem cells (hPDLSCs) and investigated the regulation of NALP3 inflammasome. We noticed enhanced expression of NALP3, Cleaved Caspase 1, interleukin (IL)-1β, and IL-18 in EAE mouse spinal cord. Conversely, hPDLSCs-conditioned medium and EMVs significantly blocked NALP3 inflammasome activation and provided protection from EAE. Reduction in NALP3, Cleaved Caspase 1, IL-1β, and IL-18 level was noticed in conditioned medium and EMVs-treated EAE mice. Pro-inflammatory Toll-like receptor (TLR)-4 and nuclear factor (NF)-κB were elevated in EAE, while hPDLSCs-conditioned medium and EMVs treatment reduced their expression and increased IκB-α expression. Characterization of hPDLSCs-conditioned medium showed substantial level of anti-inflammatory IL-10, transforming growth factor (TGF)-β, and stromal cell-derived factor 1α (SDF-1α). We propose that the immunosuppressive role of hPDLSCs-derived conditioned medium and EMVs in EAE mice may partly attribute to the presence of soluble immunomodulatory factors, NALP3 inflammasome inactivation, and NF-κB reduction.

摘要

近年来的研究主要探讨了间充质干细胞(MSCs)及其分泌产物(称为“分泌组”)在治疗神经炎症性疾病中的免疫调节作用。在这里,我们研究了这些免疫抑制作用是否可能是由于炎症小体失活引起的。为此,我们用复发性-缓解型多发性硬化症(MS)患者的人牙周膜干细胞(hPDLSCs)的条件培养基或纯化的外泌体/微泡(EMVs)处理实验性自身免疫性脑脊髓炎(EAE)多发性硬化症(MS)小鼠模型,并研究了 NALP3 炎症小体的调节。我们注意到 EAE 小鼠脊髓中 NALP3、Cleaved Caspase 1、白细胞介素(IL)-1β 和 IL-18 的表达增强。相反,hPDLSCs 条件培养基和 EMVs 显著阻断了 NALP3 炎症小体的激活,并为 EAE 提供了保护。在条件培养基和 EMVs 处理的 EAE 小鼠中,观察到 NALP3、Cleaved Caspase 1、IL-1β 和 IL-18 水平降低。EAE 中促炎 Toll 样受体(TLR)-4 和核因子(NF)-κB 升高,而 hPDLSCs 条件培养基和 EMVs 治疗降低了它们的表达并增加了 IκB-α 的表达。hPDLSCs 条件培养基的特征显示出大量的抗炎性白细胞介素(IL)-10、转化生长因子(TGF)-β 和基质细胞衍生因子 1α(SDF-1α)。我们提出,hPDLSCs 衍生的条件培养基和 EMVs 在 EAE 小鼠中的免疫抑制作用部分归因于存在可溶性免疫调节因子、NALP3 炎症小体失活和 NF-κB 减少。

https://cdn.ncbi.nlm.nih.gov/pmc/blobs/db75/5815262/26479233f24d/10.1177_0394632017722332-fig6.jpg
https://cdn.ncbi.nlm.nih.gov/pmc/blobs/db75/5815262/604c79aae447/10.1177_0394632017722332-fig1.jpg
https://cdn.ncbi.nlm.nih.gov/pmc/blobs/db75/5815262/6c376a5b81f7/10.1177_0394632017722332-fig2.jpg
https://cdn.ncbi.nlm.nih.gov/pmc/blobs/db75/5815262/5fa60a202fa5/10.1177_0394632017722332-fig3.jpg
https://cdn.ncbi.nlm.nih.gov/pmc/blobs/db75/5815262/891d59ef117c/10.1177_0394632017722332-fig4.jpg
https://cdn.ncbi.nlm.nih.gov/pmc/blobs/db75/5815262/a99b6a3076dd/10.1177_0394632017722332-fig5.jpg
https://cdn.ncbi.nlm.nih.gov/pmc/blobs/db75/5815262/26479233f24d/10.1177_0394632017722332-fig6.jpg
https://cdn.ncbi.nlm.nih.gov/pmc/blobs/db75/5815262/604c79aae447/10.1177_0394632017722332-fig1.jpg
https://cdn.ncbi.nlm.nih.gov/pmc/blobs/db75/5815262/6c376a5b81f7/10.1177_0394632017722332-fig2.jpg
https://cdn.ncbi.nlm.nih.gov/pmc/blobs/db75/5815262/5fa60a202fa5/10.1177_0394632017722332-fig3.jpg
https://cdn.ncbi.nlm.nih.gov/pmc/blobs/db75/5815262/891d59ef117c/10.1177_0394632017722332-fig4.jpg
https://cdn.ncbi.nlm.nih.gov/pmc/blobs/db75/5815262/a99b6a3076dd/10.1177_0394632017722332-fig5.jpg
https://cdn.ncbi.nlm.nih.gov/pmc/blobs/db75/5815262/26479233f24d/10.1177_0394632017722332-fig6.jpg

相似文献

1
Human periodontal ligament stem cells secretome from multiple sclerosis patients suppresses NALP3 inflammasome activation in experimental autoimmune encephalomyelitis.人类牙周韧带干细胞分泌组来源于多发性硬化症患者,可抑制实验性自身免疫性脑脊髓炎中 NALP3 炎性小体的激活。
Int J Immunopathol Pharmacol. 2017 Sep;30(3):238-252. doi: 10.1177/0394632017722332. Epub 2017 Aug 2.
2
Anti-inflammatory effects of hypoxia-preconditioned human periodontal ligament cell secretome in an experimental model of multiple sclerosis: a key role of IL-37.缺氧预处理的人牙周膜细胞分泌组在多发性硬化症实验模型中的抗炎作用:IL-37的关键作用
FASEB J. 2017 Dec;31(12):5592-5608. doi: 10.1096/fj.201700524R. Epub 2017 Aug 23.
3
The secretome of periodontal ligament stem cells from MS patients protects against EAE.多发性硬化症患者牙周韧带干细胞的分泌组可预防 EAE。
Sci Rep. 2016 Dec 7;6:38743. doi: 10.1038/srep38743.
4
Fluorofenidone attenuates pulmonary inflammation and fibrosis via inhibiting the activation of NALP3 inflammasome and IL-1β/IL-1R1/MyD88/NF-κB pathway.氟非尼酮通过抑制NALP3炎性小体和IL-1β/IL-1R1/MyD88/NF-κB信号通路的激活来减轻肺部炎症和纤维化。
J Cell Mol Med. 2016 Nov;20(11):2064-2077. doi: 10.1111/jcmm.12898. Epub 2016 Jun 16.
5
Inflammasome activation in multiple sclerosis and experimental autoimmune encephalomyelitis (EAE).多发性硬化症和实验性自身免疫性脑脊髓炎(EAE)中的炎性小体激活
Brain Pathol. 2017 Mar;27(2):213-219. doi: 10.1111/bpa.12477.
6
Conditioned medium of periodontal ligament mesenchymal stem cells exert anti-inflammatory effects in lipopolysaccharide-activated mouse motoneurons.牙周膜间充质干细胞条件培养基对脂多糖激活的小鼠运动神经元具有抗炎作用。
Exp Cell Res. 2016 Nov 15;349(1):152-161. doi: 10.1016/j.yexcr.2016.10.008. Epub 2016 Oct 11.
7
Hydrogen-Rich Saline Attenuated Subarachnoid Hemorrhage-Induced Early Brain Injury in Rats by Suppressing Inflammatory Response: Possible Involvement of NF-κB Pathway and NLRP3 Inflammasome.富氢盐水通过抑制炎症反应减轻大鼠蛛网膜下腔出血诱导的早期脑损伤:NF-κB通路和NLRP3炎性小体的可能参与
Mol Neurobiol. 2016 Jul;53(5):3462-3476. doi: 10.1007/s12035-015-9242-y. Epub 2015 Jun 20.
8
Alternative source of stem cells derived from human periodontal ligament: a new treatment for experimental autoimmune encephalomyelitis.源自人牙周膜的干细胞替代来源:实验性自身免疫性脑脊髓炎的一种新疗法。
Stem Cell Res Ther. 2016 Jan 4;7:1. doi: 10.1186/s13287-015-0253-4.
9
Atrial natriuretic peptide down-regulates LPS/ATP-mediated IL-1β release by inhibiting NF-kB, NLRP3 inflammasome and caspase-1 activation in THP-1 cells.心房利钠肽通过抑制THP-1细胞中的NF-κB、NLRP3炎性小体和半胱天冬酶-1激活,下调LPS/ATP介导的IL-1β释放。
Immunol Res. 2016 Feb;64(1):303-12. doi: 10.1007/s12026-015-8751-0.
10
Nicotinamide adenine dinucleotide treatment alleviates the symptoms of experimental autoimmune encephalomyelitis by activating autophagy and inhibiting the NLRP3 inflammasome.烟酰胺腺嘌呤二核苷酸通过激活自噬和抑制 NLRP3 炎性小体来缓解实验性自身免疫性脑脊髓炎的症状。
Int Immunopharmacol. 2021 Jan;90:107092. doi: 10.1016/j.intimp.2020.107092. Epub 2020 Dec 4.

引用本文的文献

1
Resveratrol as a naturally occurring inflammasome modulator: Implications for health and disease.白藜芦醇作为一种天然存在的炎性小体调节剂:对健康与疾病的影响。
Iran J Basic Med Sci. 2025;28(10):1301-1318. doi: 10.22038/ijbms.2025.87366.18879.
2
Boosting the Therapeutic Potential of Extracellular Vesicles Derived From Mesenchymal Stem Cells via Advanced Preconditioning for Neurodegenerative Disorders.通过先进预处理提高间充质干细胞衍生的细胞外囊泡对神经退行性疾病的治疗潜力
Stem Cells Int. 2025 Aug 21;2025:2616653. doi: 10.1155/sci/2616653. eCollection 2025.
3
Molecular and therapeutic effects of mesenchymal stem cell-derived exosomes on autoimmune diseases.

本文引用的文献

1
Inflammasome Priming in Sterile Inflammatory Disease.免疫激活物预刺激在非感染性炎症性疾病中的作用。
Trends Mol Med. 2017 Feb;23(2):165-180. doi: 10.1016/j.molmed.2016.12.007. Epub 2017 Jan 18.
2
Inflammasome activation in multiple sclerosis and experimental autoimmune encephalomyelitis (EAE).多发性硬化症和实验性自身免疫性脑脊髓炎(EAE)中的炎性小体激活
Brain Pathol. 2017 Mar;27(2):213-219. doi: 10.1111/bpa.12477.
3
The secretome of periodontal ligament stem cells from MS patients protects against EAE.多发性硬化症患者牙周韧带干细胞的分泌组可预防 EAE。
间充质干细胞衍生外泌体对自身免疫性疾病的分子及治疗作用
World J Stem Cells. 2025 Jul 26;17(7):107202. doi: 10.4252/wjsc.v17.i7.107202.
4
Mechanistic insights into periodontal ligament stem cell-derived exosomes in tissue regeneration.牙周膜干细胞衍生外泌体在组织再生中的机制研究
Clin Oral Investig. 2025 Jun 25;29(7):357. doi: 10.1007/s00784-025-06422-1.
5
Isolation methods of exosomes derived from dental stem cells.从牙源性干细胞中提取外泌体的分离方法。
Int J Oral Sci. 2025 Jun 16;17(1):50. doi: 10.1038/s41368-025-00370-y.
6
VCAM-1 Mesenchymal Stem/Stromal Cells Reveal Preferable Efficacy Upon an Experimental Autoimmune Encephalomyelitis Mouse Model of Multiple Sclerosis Over the VCAM-1 Counterpart.VCAM-1 间充质干细胞/基质细胞在实验性自身免疫性脑脊髓炎多发性硬化症小鼠模型中比 VCAM-1 对照物显示出更好的疗效。
Neurochem Res. 2024 Nov 30;50(1):40. doi: 10.1007/s11064-024-04267-w.
7
The Therapeutic Potential of Exosomes from Mesenchymal Stem Cells in Multiple Sclerosis.间充质干细胞外泌体在多发性硬化症中的治疗潜力。
Int J Mol Sci. 2024 Sep 24;25(19):10292. doi: 10.3390/ijms251910292.
8
Targeting NLRP3 Inflammasomes: A Trojan Horse Strategy for Intervention in Neurological Disorders.靶向NLRP3炎性小体:一种干预神经疾病的木马策略。
Mol Neurobiol. 2025 Feb;62(2):1840-1881. doi: 10.1007/s12035-024-04359-2. Epub 2024 Jul 23.
9
Possible Roles of Extracellular Vesicles in the Pathogenesis and Interventions of Immune-Mediated Central Demyelinating Diseases.细胞外囊泡在免疫介导的中枢脱髓鞘疾病发病机制及干预中的潜在作用
Exp Neurobiol. 2024 Apr 30;33(2):47-67. doi: 10.5607/en24002.
10
Stem Cell Derived Extracellular Vesicle Therapy for Multiple Sclerosis, A Systematic Review and Meta-Analysis of Preclinical Studies.基于临床前研究的系统评价和荟萃分析:干细胞衍生的细胞外囊泡治疗多发性硬化症
Stem Cells Transl Med. 2024 May 14;13(5):436-447. doi: 10.1093/stcltm/szae011.
Sci Rep. 2016 Dec 7;6:38743. doi: 10.1038/srep38743.
4
Mesenchymal Stem Cell-Derived Exosomes: New Opportunity in Cell-Free Therapy.间充质干细胞衍生的外泌体:无细胞疗法的新机遇。
Adv Pharm Bull. 2016 Sep;6(3):293-299. doi: 10.15171/apb.2016.041. Epub 2016 Sep 25.
5
Multiple Sclerosis in Pediatrics: Current Concepts and Treatment Options.小儿多发性硬化症:当前概念与治疗选择
Neurol Ther. 2016 Dec;5(2):131-143. doi: 10.1007/s40120-016-0052-6. Epub 2016 Sep 17.
6
Dental mesenchymal stem cells.牙间充质干细胞
Development. 2016 Jul 1;143(13):2273-80. doi: 10.1242/dev.134189.
7
Mesenchymal Stem Cell-Derived Extracellular Vesicles Promote Angiogenesis: Potencial Clinical Application.间充质干细胞衍生的细胞外囊泡促进血管生成:潜在的临床应用。
Front Physiol. 2016 Feb 9;7:24. doi: 10.3389/fphys.2016.00024. eCollection 2016.
8
Exosomes as a potential novel therapeutic tools against neurodegenerative diseases.外泌体作为一种针对神经退行性疾病的潜在新型治疗工具。
Pharmacol Res. 2016 Nov;113(Pt B):816-822. doi: 10.1016/j.phrs.2016.02.002. Epub 2016 Feb 6.
9
Alternative source of stem cells derived from human periodontal ligament: a new treatment for experimental autoimmune encephalomyelitis.源自人牙周膜的干细胞替代来源:实验性自身免疫性脑脊髓炎的一种新疗法。
Stem Cell Res Ther. 2016 Jan 4;7:1. doi: 10.1186/s13287-015-0253-4.
10
NLRP3 inflammasome and its inhibitors: a review.NLRP3炎性小体及其抑制剂:综述
Front Pharmacol. 2015 Nov 5;6:262. doi: 10.3389/fphar.2015.00262. eCollection 2015.