Suppr超能文献

了解CD44V6在卵巢癌中的作用。

Understanding the role of CD44V6 in ovarian cancer.

作者信息

Zhang Hui-Feng, Hu Peng, Fang Sheng-Quan

机构信息

Department of Gynecologic Oncology, Hubei Cancer Hospital, Wuhan, Hubei 430070, P.R. China.

出版信息

Oncol Lett. 2017 Aug;14(2):1989-1992. doi: 10.3892/ol.2017.6377. Epub 2017 Jun 13.

Abstract

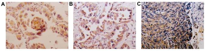
This study examined the association of CD44V6 expression in ovarian cancer. We recruited 38 patients with ovarian cancer, 23 with benign ovarian tumor, and 20 with normal ovaries using RT-PCR and western block analysis. Compared with normal ovaries, the expression of mRNA was significantly elevated in benign ovarian tumor and ovarian cancer. At the protein level, we found no significant differences in CD44V6 expression between normal ovarian tissue and benign ovarian tumor. However, the expression of CD44V6 in ovarian cancer was significantly elevated compared to normal ovaries and benign ovarian tumor. These results were supported by ELISA and western blot analysis. Immunohistochemistry showed that CD44V6 protein in ovarian cancer cells accumulated at high levels on the membrane of ovarian cancer cells. CD44V6 expression is closely associated with the tumorous transformation of ovarian tissue, suggesting that CD44V6 can promote the occurrence and progression of ovarian cancer.

摘要

本研究检测了卵巢癌中CD44V6表达的相关性。我们招募了38例卵巢癌患者、23例卵巢良性肿瘤患者和20例正常卵巢者,采用逆转录聚合酶链反应(RT-PCR)和蛋白质免疫印迹分析。与正常卵巢相比,mRNA在卵巢良性肿瘤和卵巢癌中的表达显著升高。在蛋白质水平,我们发现正常卵巢组织和卵巢良性肿瘤之间CD44V6表达无显著差异。然而,与正常卵巢和卵巢良性肿瘤相比,CD44V6在卵巢癌中的表达显著升高。酶联免疫吸附测定(ELISA)和蛋白质免疫印迹分析证实了这些结果。免疫组织化学显示,卵巢癌细胞中的CD44V6蛋白在卵巢癌细胞膜上高水平积聚。CD44V6表达与卵巢组织的肿瘤转化密切相关,提示CD44V6可促进卵巢癌的发生和进展。

https://cdn.ncbi.nlm.nih.gov/pmc/blobs/7c8e/5530090/dd5e3fa4ad9f/ol-14-02-1989-g00.jpg

文献AI研究员

20分钟写一篇综述,助力文献阅读效率提升50倍。

立即体验

用中文搜PubMed

大模型驱动的PubMed中文搜索引擎

马上搜索

文档翻译

学术文献翻译模型,支持多种主流文档格式。

立即体验