Mitchell Andrew, Petrella Tony
Department of Anatomical Pathology and Cytology, Maisonneuve-Rosemont Hospital, 5415 Boulevard de L'Assomption, Montreal, Quebec, H1T 2M4, Canada.
BMC Gastroenterol. 2017 Aug 8;17(1):95. doi: 10.1186/s12876-017-0647-0.
"Lichenoid esophagitis" is a descriptive term for a lichenoid pattern of inflammation in the esophagus for which a precise histologic diagnosis cannot be established. The differential diagnosis includes lichen planus, a drug-related reaction, and viral infection. Lichenoid esophagitis causing death has not been reported previously. We describe a case, diagnosed by autopsy, of lichenoid esophagitis in which massive bleeding from generalized epithelial sloughing and a large longitudinal ulcer proved fatal.
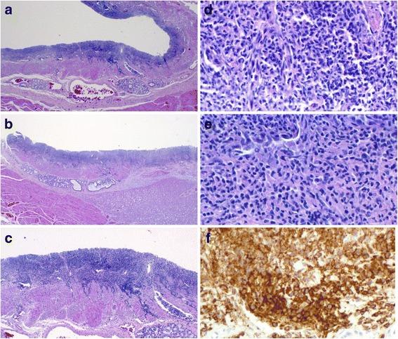
A 52 year-old diabetic woman collapsed at her home in front of an acquaintance. "Bloody vomit" was noted. Despite resuscitation efforts, the patient died. A complete autopsy was performed. The middle portion of the esophagus showed a 9 cm longitudinal ulcer situated 12 cm from the esophago-gastric junction. Microscopic examination showed complete sloughing of the esophageal epithelium with a striking subepithelial lichenoid lymphocytic infiltrate extending into the muscularis mucosae. The findings were considered compatible with lichenoid esophagitis. Laboratory studies also showed the presence of diabetic ketoacidosis.
Lichenoid esophagitis is an appropriate diagnostic term when clinical, histologic and laboratory findings do not allow for specific categorization of lichenoid inflammation in the esophagus. As illustrated here for the first time, lichenoid esophagitis may cause ulceration and mucosal sloughing severe enough to result in massive upper gastrointestinal bleeding and death. Translating these autopsy findings to the clinical setting, it is possible that the endoscopic finding of a longitudinal mid-esophageal ulcer in the presence of proximal stricture may be indicative of underlying lichenoid esophagitis.
“苔藓样食管炎”是一个用于描述食管中苔藓样炎症模式的术语,目前尚无法建立精确的组织学诊断。鉴别诊断包括扁平苔藓、药物相关反应和病毒感染。此前尚未有苔藓样食管炎导致死亡的报道。我们报告一例经尸检诊断的苔藓样食管炎病例,该病例因广泛上皮脱落和一个大的纵向溃疡导致大量出血而死亡。
一名52岁的糖尿病女性在家中在熟人面前晕倒。有人注意到她“吐血”。尽管进行了复苏努力,患者仍死亡。进行了完整的尸检。食管中部距食管胃交界处12厘米处有一个9厘米长的纵向溃疡。显微镜检查显示食管上皮完全脱落,显著的上皮下苔藓样淋巴细胞浸润延伸至黏膜肌层。这些发现被认为与苔藓样食管炎相符。实验室检查还显示存在糖尿病酮症酸中毒。
当临床、组织学和实验室检查结果无法对食管中的苔藓样炎症进行具体分类时,苔藓样食管炎是一个合适的诊断术语。如本文首次所示,苔藓样食管炎可能导致溃疡和黏膜脱落,严重到足以导致大量上消化道出血和死亡。将这些尸检结果应用于临床情况,在存在近端狭窄的情况下,食管中部纵向溃疡的内镜检查结果可能提示潜在的苔藓样食管炎。