• 文献检索
  • 文档翻译
  • 深度研究
  • 学术资讯
  • Suppr Zotero 插件Zotero 插件
  • 邀请有礼
  • 套餐&价格
  • 历史记录
应用&插件
Suppr Zotero 插件Zotero 插件浏览器插件Mac 客户端Windows 客户端微信小程序
定价
高级版会员购买积分包购买API积分包
服务
文献检索文档翻译深度研究API 文档MCP 服务
关于我们
关于 Suppr公司介绍联系我们用户协议隐私条款
关注我们

Suppr 超能文献

核心技术专利:CN118964589B侵权必究
粤ICP备2023148730 号-1Suppr @ 2026

文献检索

告别复杂PubMed语法,用中文像聊天一样搜索,搜遍4000万医学文献。AI智能推荐,让科研检索更轻松。

立即免费搜索

文件翻译

保留排版,准确专业,支持PDF/Word/PPT等文件格式,支持 12+语言互译。

免费翻译文档

深度研究

AI帮你快速写综述,25分钟生成高质量综述,智能提取关键信息,辅助科研写作。

立即免费体验

静态磁场影响下新鲜和玻璃化小鼠卵巢异体移植至睾丸组织的比较。

Comparison of Allotransplantation of Fresh and Vitrified Mouse Ovaries to The Testicular Tissue under Influence of The Static Magnetic Field.

作者信息

Kazemein Jasemi Vida Sadat, Samadi Firooz, Eimani Hussein, Hasani Saeed, Fathi Rouhollah, Shahverdi Abdolhossein

机构信息

Department of Animal and Poultry Physiology, Faculty of Animal Science, Gorgan University of Agricultural Sciences and Natural Resources, Gorgan, Golestan, Iran.

Department of Embryology, Reproductive Biomedicine Research Center, Royan Institute for Reproductive Biomedicine, ACECR, Tehran, Iran.

出版信息

Cell J. 2017 Oct;19(3):492-505. doi: 10.22074/cellj.2017.4513. Epub 2017 Aug 19.

DOI:10.22074/cellj.2017.4513
PMID:28836412
原文链接:https://pmc.ncbi.nlm.nih.gov/articles/PMC5570414/
Abstract

OBJECTIVES

The aim of this study was to investigate the effects of static magnetic field (SMF) during transplantation of the ovarian tissue into the testis.

MATERIALS AND METHODS

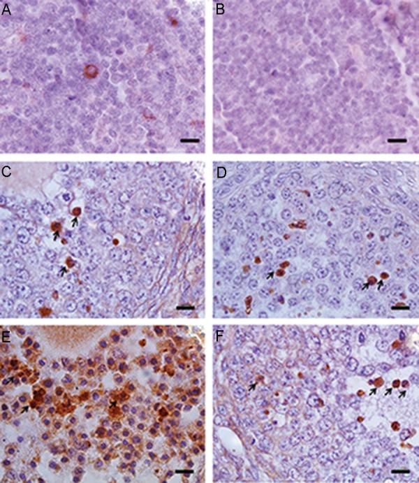
In this experimental study, ovaries of 6- to 8-week-old female Naval Medical Research Institute (NMRI) mice were randomly divided into four groups: i. Fresh ovaries were immediately transplanted into the testicular tissue (FOT group), ii. Fresh ovaries were exposed to the SMF for 10 minutes and then transplanted into the testicular tissue (FOT+ group), iii. Vitrified-warmed ovaries were transplanted into the testicular tissue (VOT group), and iv. Vitrified-warmed ovaries were transplanted into the testicular tissue and the transplantation site was then exposed to the SMF for 10 minutes (VOT+ group).

RESULTS

The lowest percentages of morphologically dead primordial follicles and the highest percentages of morphologically intact primordial follicles were seen in the FOT+ group (4.11% ± 2.88 and 41.26% ± 0.54, respectively). Although the lowest significant percentage of maturation, embryonic development and fertility was observed in the VOT group as compared to the other groups, the difference in the fertility rate was not significant between the VOT and VOT+ groups. Estrogen and progesterone concentrations were significantly higher in the FOT+ group than those of the control mice.

CONCLUSIONS

It is concluded that, exposure of the vitrified-warmed ovaries to SMF retains the structure of the graft similar to that of fresh ovaries.

摘要

目的

本研究旨在探讨卵巢组织移植至睾丸过程中静磁场(SMF)的作用。

材料与方法

在本实验研究中,将6至8周龄雌性海军医学研究所(NMRI)小鼠的卵巢随机分为四组:i. 新鲜卵巢立即移植至睾丸组织(FOT组);ii. 新鲜卵巢暴露于静磁场10分钟后移植至睾丸组织(FOT+组);iii. 玻璃化冷冻复温后的卵巢移植至睾丸组织(VOT组);iv. 玻璃化冷冻复温后的卵巢移植至睾丸组织,然后移植部位暴露于静磁场10分钟(VOT+组)。

结果

FOT+组中形态学上死亡的原始卵泡百分比最低,形态学上完整的原始卵泡百分比最高(分别为4.11%±2.88和41.26%±0.54)。尽管与其他组相比,VOT组观察到的成熟、胚胎发育和生育能力的最低显著百分比,但VOT组和VOT+组之间的生育率差异不显著。FOT+组中的雌激素和孕酮浓度显著高于对照小鼠。

结论

得出结论,玻璃化冷冻复温后的卵巢暴露于静磁场可使移植物结构保持与新鲜卵巢相似。

https://cdn.ncbi.nlm.nih.gov/pmc/blobs/709e/5570414/69976300c2d3/Cell-J-19-492-g05.jpg
https://cdn.ncbi.nlm.nih.gov/pmc/blobs/709e/5570414/fbc8b0032175/Cell-J-19-492-g01.jpg
https://cdn.ncbi.nlm.nih.gov/pmc/blobs/709e/5570414/f0ab9e86c133/Cell-J-19-492-g02.jpg
https://cdn.ncbi.nlm.nih.gov/pmc/blobs/709e/5570414/9d970b165e1b/Cell-J-19-492-g03.jpg
https://cdn.ncbi.nlm.nih.gov/pmc/blobs/709e/5570414/4d1000d4acfc/Cell-J-19-492-g04.jpg
https://cdn.ncbi.nlm.nih.gov/pmc/blobs/709e/5570414/69976300c2d3/Cell-J-19-492-g05.jpg
https://cdn.ncbi.nlm.nih.gov/pmc/blobs/709e/5570414/fbc8b0032175/Cell-J-19-492-g01.jpg
https://cdn.ncbi.nlm.nih.gov/pmc/blobs/709e/5570414/f0ab9e86c133/Cell-J-19-492-g02.jpg
https://cdn.ncbi.nlm.nih.gov/pmc/blobs/709e/5570414/9d970b165e1b/Cell-J-19-492-g03.jpg
https://cdn.ncbi.nlm.nih.gov/pmc/blobs/709e/5570414/4d1000d4acfc/Cell-J-19-492-g04.jpg
https://cdn.ncbi.nlm.nih.gov/pmc/blobs/709e/5570414/69976300c2d3/Cell-J-19-492-g05.jpg

相似文献

1
Comparison of Allotransplantation of Fresh and Vitrified Mouse Ovaries to The Testicular Tissue under Influence of The Static Magnetic Field.静态磁场影响下新鲜和玻璃化小鼠卵巢异体移植至睾丸组织的比较。
Cell J. 2017 Oct;19(3):492-505. doi: 10.22074/cellj.2017.4513. Epub 2017 Aug 19.
2
Function of vitrified mouse ovaries tissue under static magnetic field after autotransplantation.自体移植后玻璃化小鼠卵巢组织在静磁场下的功能
Vet Res Forum. 2017 Summer;8(3):243-249. Epub 2017 Sep 15.
3
Follicle Development in Grafted Mouse Ovaries after Vitrification Processes Under Static Magnetic Field.静态磁场下玻璃化处理后移植小鼠卵巢中的卵泡发育
Cryo Letters. 2017 May/Jun;38(3):166-177.
4
Ovarian injury during cryopreservation and transplantation in mice: a comparative study between cryoinjury and ischemic injury.小鼠冷冻保存和移植过程中的卵巢损伤:冷冻损伤与缺血性损伤的比较研究
Hum Reprod. 2016 Aug;31(8):1827-37. doi: 10.1093/humrep/dew144. Epub 2016 Jun 16.
5
Optimal vitrification protocol for mouse ovarian tissue cryopreservation: effect of cryoprotective agents and in vitro culture on vitrified-warmed ovarian tissue survival.小鼠卵巢组织冷冻保存的最佳玻璃化方案:冷冻保护剂和体外培养对玻璃化复温后卵巢组织存活的影响。
Hum Reprod. 2014 Apr;29(4):720-30. doi: 10.1093/humrep/det449. Epub 2013 Dec 22.
6
Effects of three different types of antifreeze proteins on mouse ovarian tissue cryopreservation and transplantation.三种不同类型的抗冻蛋白对小鼠卵巢组织冷冻保存及移植的影响。
PLoS One. 2015 May 4;10(5):e0126252. doi: 10.1371/journal.pone.0126252. eCollection 2015.
7
A combination of simvastatin and methylprednisolone improves the quality of vitrified-warmed ovarian tissue after auto-transplantation.辛伐他汀和甲基强的松龙联合使用可提高自体移植后玻璃化复温卵巢组织的质量。
Hum Reprod. 2015 Nov;30(11):2627-38. doi: 10.1093/humrep/dev222. Epub 2015 Sep 7.
8
Heterotopic autotransplantation of vitrified mouse ovary.玻璃化小鼠卵巢的异位自体移植
Reprod Med Biol. 2011 Oct 5;10(4):267-275. doi: 10.1007/s12522-011-0100-y. eCollection 2011 Dec.
9
Xenotransplantation of goat ovary as an alternative to analyse follicles after vitrification.山羊卵巢的异种移植作为玻璃化后分析卵泡的一种替代方法。
Reprod Domest Anim. 2019 Feb;54(2):216-224. doi: 10.1111/rda.13340. Epub 2018 Oct 19.
10
Development of sheep primordial follicles encapsulated in alginate or in ovarian tissue in fresh and vitrified samples.新鲜和玻璃化样本中包裹在藻酸盐或卵巢组织中的绵羊原始卵泡的发育情况。
Cryobiology. 2016 Apr;72(2):100-5. doi: 10.1016/j.cryobiol.2016.03.001. Epub 2016 Mar 8.

引用本文的文献

1
Auto-transplantation of whole rat ovary in different transplantation sites.大鼠全卵巢在不同移植部位的自体移植
Vet Res Forum. 2017;8(4):275-280. Epub 2017 Dec 15.

本文引用的文献

1
Folliculogenesis following syngeneic transplantation of young murine ovaries into the testes.将年轻小鼠卵巢同基因移植到睾丸后的卵泡发生
Reprod Med Biol. 2006 Mar 1;5(1):71-77. doi: 10.1111/j.1447-0578.2006.00126.x. eCollection 2006 Mar.
2
Effect of Human Ovarian Tissue Vitrification/Warming on the Expression of Genes Related to Folliculogenesis.人卵巢组织玻璃化冷冻/复温对卵泡发生相关基因表达的影响
Iran Biomed J. 2015;19(4):220-5. doi: 10.7508/ibj.2015.04.005. Epub 2015 Jul 22.
3
Effect of therapeutic ultrasound on folliculogenesis, angiogenesis and apoptosis after heterotopic mouse ovarian transplantation.
治疗性超声对异位小鼠卵巢移植后卵泡发生、血管生成和细胞凋亡的影响。
Ultrasound Med Biol. 2014 Jul;40(7):1535-44. doi: 10.1016/j.ultrasmedbio.2014.02.006. Epub 2014 Apr 27.
4
In vitro maturation, fertilization and embryo culture of oocytes obtained from vitrified auto-transplanted mouse ovary.从玻璃化自体移植小鼠卵巢获得的卵母细胞的体外成熟、受精及胚胎培养
Int J Fertil Steril. 2013 Jan;6(4):278-85. Epub 2013 Mar 3.
5
Static magnetic field effects on impaired peripheral vasomotion in conscious rats.静磁场对清醒大鼠受损外周血管运动的影响。
Evid Based Complement Alternat Med. 2013;2013:746968. doi: 10.1155/2013/746968. Epub 2013 Dec 17.
6
Inhibition of angiogenesis mediated by extremely low-frequency magnetic fields (ELF-MFs).极低频磁场(ELF-MFs)介导的血管生成抑制
PLoS One. 2013 Nov 14;8(11):e79309. doi: 10.1371/journal.pone.0079309. eCollection 2013.
7
Bioeffects of static magnetic fields: oxidative stress, genotoxic effects, and cancer studies.静磁场的生物效应:氧化应激、遗传毒性效应和癌症研究。
Biomed Res Int. 2013;2013:602987. doi: 10.1155/2013/602987. Epub 2013 Aug 6.
8
Improvement in the quality of heterotopic allotransplanted mouse ovarian tissues with basic fibroblast growth factor and fibrin hydrogel.碱性成纤维细胞生长因子和纤维蛋白凝胶改善同种异体移植小鼠卵巢组织的质量。
Hum Reprod. 2013 Oct;28(10):2784-93. doi: 10.1093/humrep/det296. Epub 2013 Jul 25.
9
Enhancement of neoangiogenesis and follicle survival by sphingosine-1-phosphate in human ovarian tissue xenotransplants.鞘氨醇-1-磷酸促进人卵巢组织异种移植中的新生血管形成和卵泡存活。
PLoS One. 2011 Apr 29;6(4):e19475. doi: 10.1371/journal.pone.0019475.
10
Sheep ovarian tissue vitrification by two different dehydration protocols and needle immersing methods.采用两种不同的脱水方案和针浸法对绵羊卵巢组织进行玻璃化冷冻保存。
Cryo Letters. 2011 Jan-Feb;32(1):51-6.