Suppr超能文献

激活的间充质干细胞与抗生素和宿主固有免疫反应相互作用,以控制慢性细菌感染。

Activated Mesenchymal Stem Cells Interact with Antibiotics and Host Innate Immune Responses to Control Chronic Bacterial Infections.

机构信息

Center for Immune and Regenerative Medicine, Department of Clinical Sciences, College of Veterinary Medicine and Biomedical Sciences, Colorado State University, Ft. Collins, CO, USA.

出版信息

Sci Rep. 2017 Aug 29;7(1):9575. doi: 10.1038/s41598-017-08311-4.

Abstract

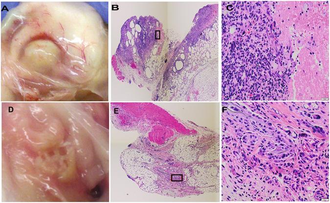
Chronic bacterial infections associated with biofilm formation are often difficult to resolve without extended courses of antibiotic therapy. Mesenchymal stem cells (MSC) exert antibacterial activity in vitro and in acute bacterial infection models, but their activity in chronic infection with biofilm models has not been previously investigated. Therefore, we studied the effects of MSC administration in mouse and dog models of chronic infections associated with biofilms. Mice with chronic Staphylococcus aureus implant infections were treated by i.v. administration of activated or non-activated MSC, with or without antibiotic therapy. The most effective treatment protocol was identified as activated MSC co-administered with antibiotic therapy. Activated MSC were found to accumulate in the wound margins several days after i.v. administration. Macrophages in infected tissues assumed an M2 phenotype, compared to untreated infections which contained predominately M1 macrophages. Bacterial killing by MSC was found to be mediated in part by secretion of cathelicidin and was significantly increased by antibiotics. Studies in pet dogs with spontaneous chronic multi drug-resistant wound infections demonstrated clearance of bacteria and wound healing following repeated i.v. administration of activated allogeneic canine MSC. Thus, systemic therapy with activated MSC may be an effective new, non-antimicrobial approach to treatment of chronic, drug-resistant infections.

摘要

慢性细菌性感染与生物膜形成有关,在没有延长抗生素治疗疗程的情况下,通常很难解决。间充质干细胞(MSC)在体外和急性细菌性感染模型中具有抗菌活性,但它们在慢性生物膜感染模型中的活性尚未被研究过。因此,我们研究了 MSC 给药在与生物膜相关的慢性感染的小鼠和犬模型中的作用。通过静脉内给予激活或未激活的 MSC 联合或不联合抗生素治疗,对患有慢性金黄色葡萄球菌植入物感染的小鼠进行治疗。确定最有效的治疗方案是激活的 MSC 与抗生素治疗联合给药。静脉内给药后几天,激活的 MSC 被发现积聚在伤口边缘。与未治疗的感染相比,感染组织中的巨噬细胞呈现 M2 表型,未治疗的感染中主要含有 M1 巨噬细胞。发现 MSC 通过分泌抗菌肽来介导杀菌作用,并且抗生素显著增加了杀菌作用。在患有自发性慢性多药耐药性伤口感染的宠物犬中进行的研究表明,在重复静脉内给予同种异体犬 MSC 后,细菌清除和伤口愈合。因此,全身应用激活的 MSC 可能是一种有效的新的非抗菌治疗方法,用于治疗慢性、耐药感染。

https://cdn.ncbi.nlm.nih.gov/pmc/blobs/f7c8/5575141/65bbc2612b66/41598_2017_8311_Fig1_HTML.jpg

文献AI研究员

20分钟写一篇综述,助力文献阅读效率提升50倍。

立即体验

用中文搜PubMed

大模型驱动的PubMed中文搜索引擎

马上搜索

文档翻译

学术文献翻译模型,支持多种主流文档格式。

立即体验