Suppr超能文献

一例食管鳞状细胞癌食管切除术后骨骼肌转移灶手术切除后的长期生存病例。

A long-term survival case after surgical resection of skeletal muscle metastasis following esophagectomy for squamous cell carcinoma of the esophagus.

作者信息

Saito Akira, Murakami Masahiko, Otsuka Koji, Komoto Masahiro, Kato Rei, Motegi Kentaro, Yamashita Takeshi, Date Hiromi, Ariyoshi Tomotake, Goto Satoru, Koizumi Tomotake, Yamazaki Kimiyasu, Watanabe Makoto, Aoki Takeshi

机构信息

Department of Gastroenterological and General Surgery, Showa University, Shinagawa, Tokyo 142-8555, Japan.

出版信息

J Surg Case Rep. 2017 Jul 31;2017(7):rjx141. doi: 10.1093/jscr/rjx141. eCollection 2017 Jul.

Abstract

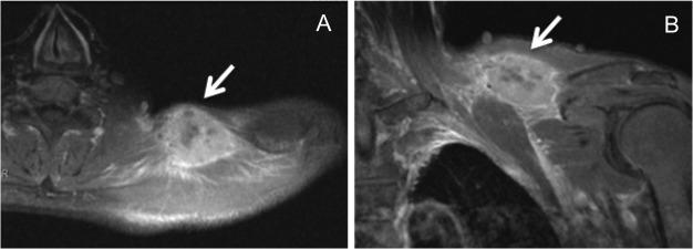
Cases of skeletal muscle metastasis of esophageal carcinoma are very rare, with few reports of long-term survival. We report a case of long-term survival after surgical resection of skeletal muscle metastasis. A 56-year-old man with advanced esophageal cancer and early gastric cancer underwent thoracoscopic esophagectomy, 2-field lymph node dissection, partial gastrectomy and gastric tube reconstruction. Six months later, cervical lymph node metastasis and mediastinal lymph node recurrence were found. Therefore, the patient underwent cervical lymph node dissection and adjuvant chemoradiotherapy. Two years and 3 months after the esophagectomy, a muscle metastasis was found in the left shoulder, and he underwent tumor dissection, followed by adjuvant chemotherapy for a year. There has been no sign of recurrence since, even 13 years after the esophagectomy. We believe our aggressive surgical treatment might have led to long-term survival.

摘要

食管癌骨骼肌转移病例非常罕见,关于长期生存的报道很少。我们报告一例骨骼肌转移瘤手术切除后长期生存的病例。一名56岁男性,患有晚期食管癌和早期胃癌,接受了胸腔镜下食管切除术、二野淋巴结清扫术、部分胃切除术和胃管重建术。六个月后,发现颈部淋巴结转移和纵隔淋巴结复发。因此,患者接受了颈部淋巴结清扫术和辅助放化疗。食管切除术后两年零三个月,左肩部发现肌肉转移瘤,随后他接受了肿瘤切除术,接着进行了一年的辅助化疗。自那以后,甚至在食管切除术后13年,都没有复发迹象。我们认为积极的手术治疗可能是导致长期生存的原因。

https://cdn.ncbi.nlm.nih.gov/pmc/blobs/328f/5570075/cc2b1c2fec8f/rjx141f01.jpg

相似文献

2
A case of long-term survival after surgical resection for solitary adrenal recurrence of esophageal squamous carcinoma.
Surg Case Rep. 2017 Dec;3(1):61. doi: 10.1186/s40792-017-0337-8. Epub 2017 May 5.
7
[Experience of surgical treatment for cervical esophageal carcinoma].
Zhonghua Wei Chang Wai Ke Za Zhi. 2008 Jan;11(1):19-23.
9
Subtotal esophagectomy with extended 2-field lymph node dissection for thoracic esophageal cancer.
Eur J Cardiothorac Surg. 2003 Mar;23(3):415-20. doi: 10.1016/s1010-7940(02)00801-1.
10
Clinical features of metastasis from superficial squamous cell carcinoma of the thoracic esophagus.
Surgery. 2019 Dec;166(6):1033-1040. doi: 10.1016/j.surg.2019.07.022. Epub 2019 Sep 5.

引用本文的文献

1
Gastroesophageal Junction Adenocarcinoma With Skeletal Muscle Metastases: A Case Report and Literature Review.
Cureus. 2024 Jul 4;16(7):e63855. doi: 10.7759/cureus.63855. eCollection 2024 Jul.
2
Soft-Tissue Metastases From Esophageal Cancer.
J Gastrointest Surg. 2019 Sep;23(9):1721-1728. doi: 10.1007/s11605-019-04160-w. Epub 2019 Feb 26.

本文引用的文献

1
Primary esophageal adenocarcinoma with distant metastasis to the skeletal muscle.
Int Surg. 2014 Sep-Oct;99(5):650-5. doi: 10.9738/INTSURG-D-13-00166.1.
2
Metastases of esophageal carcinoma to skeletal muscle: single center experience.
World J Gastroenterol. 2012 Sep 21;18(35):4962-6. doi: 10.3748/wjg.v18.i35.4962.
3
Giant temporalis muscle metastasis of esophageal carcinoma.
J Craniofac Surg. 2011 Mar;22(2):736-7. doi: 10.1097/SCS.0b013e318208bae9.
5
Multiple metastases to skeletal muscle from carcinoma of the esophagus detected by FDG PET-CT imaging.
Clin Nucl Med. 2006 Dec;31(12):810-1. doi: 10.1097/01.rlu.0000247784.90704.d7.
6
Metastasis to skeletal muscle from esophageal adenocarcinoma.
Scand J Gastroenterol. 2005 Aug;40(8):1000-4. doi: 10.1080/00365520510023143.
7
PET detection of solitary distant skeletal muscle metastasis of esophageal adenocarcinoma.
Clin Nucl Med. 2005 May;30(5):335-7. doi: 10.1097/01.rlu.0000159678.98822.43.
8
Skeletal muscle metastases of carcinoma: a clinicopathological study of 12 cases.
Jpn J Clin Oncol. 2004 Apr;34(4):210-4. doi: 10.1093/jjco/hyh036.

文献AI研究员

20分钟写一篇综述,助力文献阅读效率提升50倍。

立即体验

用中文搜PubMed

大模型驱动的PubMed中文搜索引擎

马上搜索

文档翻译

学术文献翻译模型,支持多种主流文档格式。

立即体验