Suppr超能文献

肺多形性癌的纳武利尤单抗治疗病例系列。

Case series of pleomorphic carcinomas of the lung treated with nivolumab.

机构信息

Department of Thoracic Oncology, National Hospital Organization Toneyama National Hospital, Toyonaka, Japan.

Department of Laboratory Medicine and Pathology, National Hospital Organization Toneyama National Hospital, Toyonaka, Japan.

出版信息

Thorac Cancer. 2017 Nov;8(6):724-728. doi: 10.1111/1759-7714.12505. Epub 2017 Sep 7.

Abstract

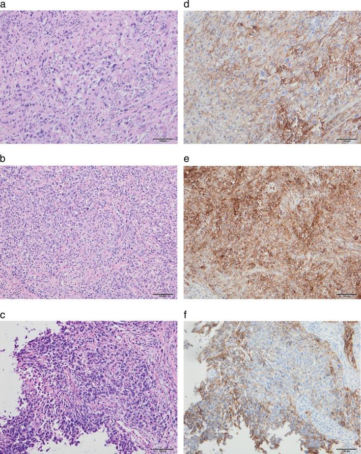
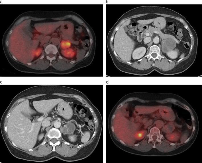
Pleomorphic carcinoma (PC) of the lung is a rare type of non-small cell lung cancer, exhibiting aggressive behavior and resistance to chemotherapy and radiotherapy. A previous study reported that PCs expressed high levels of PD-L1, suggesting the potential efficacy of immune checkpoint inhibitors in these tumors. We retrospectively reviewed the clinical records of three patients with PC of the lung treated with nivolumab: a 59-year-old woman (Case 1), a 66-year-old man (Case 2), and an 83-year-old man (Case 3). PD-L1 was highly expressed in their tumor cells. Two cases showed a partial response with long progression-free survival. However, in Case 2, brain and bone metastases progressed during nivolumab treatment in spite of high PD-L1 expression. This case series indicates that nivolumab is effective to some extent for PC of the lung. However, the clinical course of patients treated with nivolumab should be carefully observed, even when PD-L1 is highly expressed.

摘要

肺多形性癌(PC)是一种罕见的非小细胞肺癌,表现出侵袭性行为和对化疗和放疗的耐药性。先前的一项研究表明,PCs 表达高水平的 PD-L1,提示免疫检查点抑制剂在这些肿瘤中的潜在疗效。我们回顾性分析了三例接受纳武利尤单抗治疗的肺 PC 患者的临床记录:一名 59 岁女性(病例 1)、一名 66 岁男性(病例 2)和一名 83 岁男性(病例 3)。他们的肿瘤细胞中 PD-L1 高表达。两例患者表现出部分缓解和较长的无进展生存期。然而,在病例 2 中,尽管 PD-L1 高表达,但在纳武利尤单抗治疗期间脑和骨转移仍进展。本病例系列表明,纳武利尤单抗对肺 PC 具有一定的疗效。然而,即使 PD-L1 高表达,接受纳武利尤单抗治疗的患者的临床过程也应仔细观察。

https://cdn.ncbi.nlm.nih.gov/pmc/blobs/7c67/5668504/9d9f964be99b/TCA-8-724-g003.jpg

文献AI研究员

20分钟写一篇综述,助力文献阅读效率提升50倍。

立即体验

用中文搜PubMed

大模型驱动的PubMed中文搜索引擎

马上搜索

文档翻译

学术文献翻译模型,支持多种主流文档格式。

立即体验