Suppr超能文献

抗生素治疗后小鼠肾盂肾炎的肾瘢痕形成和肾功能变化。

Renal scar formation and kidney function following antibiotic-treated murine pyelonephritis.

机构信息

Medical Scientist Training Program, Washington University School of Medicine, St Louis, MO 63110, USA.

Department of Pediatrics, Washington University School of Medicine, St Louis, MO 63110, USA.

出版信息

Dis Model Mech. 2017 Nov 1;10(11):1371-1379. doi: 10.1242/dmm.030130. Epub 2017 Sep 7.

Abstract

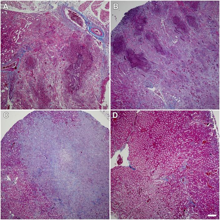
We present a new preclinical model to study treatment, resolution and sequelae of severe ascending pyelonephritis. Urinary tract infection (UTI), primarily caused by uropathogenic (UPEC), is a common disease in children. Severe pyelonephritis is the primary cause of acquired renal scarring in childhood, which may eventually lead to hypertension and chronic kidney disease in a small but important fraction of patients. Preclinical modeling of UTI utilizes almost exclusively females, which (in most mouse strains) exhibit inherent resistance to severe ascending kidney infection; consequently, no existing preclinical model has assessed the consequences of recovery from pyelonephritis following antibiotic treatment. We recently published a novel mini-surgical bladder inoculation technique, with which male C3H/HeN mice develop robust ascending pyelonephritis, highly prevalent renal abscesses and evidence of fibrosis. Here, we devised and optimized an antibiotic treatment strategy within this male model to more closely reflect the clinical course of pyelonephritis. A 5-day ceftriaxone regimen initiated at the onset of abscess development achieved resolution of bladder and kidney infection. A minority of treated mice displayed persistent histological abscess at the end of treatment, despite microbiological cure of pyelonephritis; a matching fraction of mice 1 month later exhibited renal scars featuring fibrosis and ongoing inflammatory infiltrates. Successful antibiotic treatment preserved renal function in almost all infected mice, as assessed by biochemical markers 1 and 5 months post-treatment; hydronephrosis was observed as a late effect of treated pyelonephritis. An occasional mouse developed chronic kidney disease, generally reflecting the incidence of this late sequela in humans. In total, this model offers a platform to study the molecular pathogenesis of pyelonephritis, response to antibiotic therapy and emergence of sequelae, including fibrosis and renal scarring. Future studies in this system may inform adjunctive therapies that may reduce the long-term complications of this very common bacterial infection.

摘要

我们提出了一种新的临床前模型,用于研究严重上行性肾盂肾炎的治疗、缓解和后遗症。尿路感染(UTI)主要由尿路致病性大肠杆菌(UPEC)引起,是儿童中的一种常见疾病。严重的肾盂肾炎是儿童获得性肾瘢痕形成的主要原因,在一小部分但很重要的患者中,它最终可能导致高血压和慢性肾脏病。UTI 的临床前建模几乎完全使用雌性动物,而雌性动物(在大多数小鼠品系中)对严重上行性肾脏感染具有固有抵抗力;因此,没有现有的临床前模型评估抗生素治疗后肾盂肾炎恢复的后果。我们最近发表了一种新的小型手术膀胱接种技术,该技术使雄性 C3H/HeN 小鼠发展出强大的上行性肾盂肾炎、高度流行的肾脓肿和纤维化证据。在这里,我们在该雄性模型中设计并优化了抗生素治疗策略,以更紧密地反映肾盂肾炎的临床过程。在脓肿形成开始时启动的 5 天头孢曲松治疗方案实现了膀胱和肾脏感染的缓解。尽管肾盂肾炎的微生物学治愈,但少数接受治疗的小鼠在治疗结束时仍显示持续的组织学脓肿;1 个月后,相当一部分小鼠出现肾脏瘢痕,伴有纤维化和持续的炎症浸润。几乎所有受感染的小鼠的肾功能均通过生化标志物在治疗后 1 和 5 个月进行评估而得到保留;治疗性肾盂肾炎的晚期影响是观察到肾积水。偶尔有小鼠发生慢性肾脏病,通常反映了这种晚期后遗症在人类中的发生率。总的来说,该模型为研究肾盂肾炎的分子发病机制、对抗生素治疗的反应以及后遗症(包括纤维化和肾瘢痕形成)的出现提供了一个平台。未来在该系统中的研究可能为减少这种非常常见的细菌感染的长期并发症提供辅助治疗方法。

https://cdn.ncbi.nlm.nih.gov/pmc/blobs/d3b3/5719254/9983e4ad148b/dmm-10-030130-g1.jpg

文献AI研究员

20分钟写一篇综述,助力文献阅读效率提升50倍。

立即体验

用中文搜PubMed

大模型驱动的PubMed中文搜索引擎

马上搜索

文档翻译

学术文献翻译模型,支持多种主流文档格式。

立即体验