Suppr超能文献

一种基于数字曲波变换,通过提取PET和MRI图像上的病变来实现PET与MRI融合的新算法。

A novel algorithm for PET and MRI fusion based on digital curvelet transform via extracting lesions on both images.

作者信息

Alipour Shirin Hajeb Mohammad, Houshyari Mohammad, Mostaar Ahmad

机构信息

Ph.D. Candidate, Department of Medical Physics and Biomedical Engineering, School of Medicine, Shahid Beheshti University of Medical Sciences, Tehran, Iran.

M.D., Associate Professor, Department of Radiotherapy, Shohada-e-Tajrish Hospital, School of Medicine, Shahid Beheshti University of Medical Sciences, Tehran, Iran.

出版信息

Electron Physician. 2017 Jul 25;9(7):4872-4879. doi: 10.19082/4872. eCollection 2017 Jul.

Abstract

BACKGROUND AND AIM

Merging multimodal images is a useful tool for accurate and efficient diagnosis and analysis in medical applications. The acquired data are a high-quality fused image that contains more information than an individual image. In this paper, we focus on the fusion of MRI gray scale images and PET color images.

METHODS

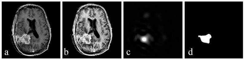
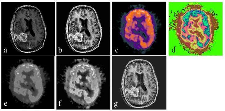
For the fusion of MRI gray scale images and PET color images, we used lesion region extracting based on the digital Curvelet transform (DCT) method. As curvelet transform has a better performance in detecting the edges, regions in each image are perfectly segmented. Curvelet decomposes each image into several low- and high-frequency sub-bands. Then, the entropy of each sub-band is calculated. By comparing the entropies and coefficients of the extracted regions, the best coefficients for the fused image are chosen. The fused image is obtained via inverse Curvelet transform. In order to assess the performance, the proposed method was compared with different fusion algorithms, both visually and statistically.

RESULT

The analysis of the results showed that our proposed algorithm has high spectral and spatial resolution. According to the results of the quantitative fusion metrics, this method achieves an entropy value of 6.23, an MI of 1.88, and an SSIM of 0.6779. Comparison of these experiments with experiments of four other common fusion algorithms showed that our method is effective.

CONCLUSION

The fusion of MRI and PET images is used to gather the useful information of both source images into one image, which is called the fused image. This study introduces a new fusion algorithm based on the digital Curvelet transform. Experiments show that our method has a high fusion effect.

摘要

背景与目的

融合多模态图像是医学应用中进行准确高效诊断与分析的有用工具。所获取的数据是高质量的融合图像,其包含的信息比单个图像更多。在本文中,我们专注于磁共振成像(MRI)灰度图像与正电子发射断层扫描(PET)彩色图像的融合。

方法

对于MRI灰度图像与PET彩色图像的融合,我们采用基于数字曲波变换(DCT)方法的病变区域提取。由于曲波变换在检测边缘方面具有更好的性能,每个图像中的区域都能被完美分割。曲波将每个图像分解为几个低频和高频子带。然后,计算每个子带的熵。通过比较提取区域的熵和系数,选择融合图像的最佳系数。通过逆曲波变换获得融合图像。为了评估性能,将所提出的方法与不同的融合算法在视觉和统计方面进行比较。

结果

结果分析表明,我们提出的算法具有高光谱和空间分辨率。根据定量融合指标的结果,该方法的熵值为6.23,互信息(MI)为1.88,结构相似性指数测量值(SSIM)为0.6779。将这些实验与其他四种常见融合算法的实验进行比较表明,我们的方法是有效的。

结论

MRI和PET图像的融合用于将两个源图像的有用信息收集到一个图像中,该图像称为融合图像。本研究介绍了一种基于数字曲波变换的新融合算法。实验表明,我们的方法具有较高的融合效果。

https://cdn.ncbi.nlm.nih.gov/pmc/blobs/2908/5587006/c74890ec6e72/EPJ-09-4872-g001.jpg

文献检索

告别复杂PubMed语法,用中文像聊天一样搜索,搜遍4000万医学文献。AI智能推荐,让科研检索更轻松。

立即免费搜索

文件翻译

保留排版,准确专业,支持PDF/Word/PPT等文件格式,支持 12+语言互译。

免费翻译文档

深度研究

AI帮你快速写综述,25分钟生成高质量综述,智能提取关键信息,辅助科研写作。

立即免费体验