Suppr超能文献

[食管异物的处理:附36例报告]

[Management for esophageal foreign bodies: about 36 cases].

作者信息

Togo Seydou, Ouattara Moussa Abdoulaye, Li Xing, Yang Shang Wen, Koumaré Sékou

机构信息

Service de Chirurgie Thoracique, CHU Hôpital du Mali, Bamako.

23 Mission d'Aide Médicale Chinoise au Mali.

出版信息

Pan Afr Med J. 2017 Jul 20;27:207. doi: 10.11604/pamj.2017.27.207.7463. eCollection 2017.

Abstract

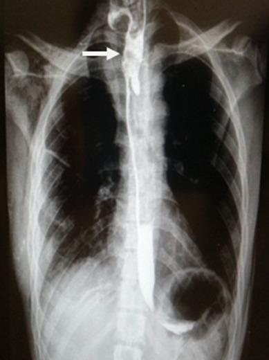
Esophageal foreign bodies are a frequent reason for consultation in the Pediatric Emergency Department. However, they can occur at all ages. This study aims to highlight the clinical, paraclinical and therapeutic features of esophageal foreign bodies management at the Hospital in Mali. We conducted a prospective study of all cases of ingestion of foreign bodies between January 2011 and December 2014. A total of 36 patients underwent endoscopic or surgical treatment. The average age was 6 years (with a range from 14 months to 62 years). They mainly affected male patients with a sex ratio of 1.75. Foreign bodies were blocked in the cricopharyngeal shrinkage in 69.45% of cases, 22.22% of whom had subsequent aortic shrinkage. The average time of foreign body removal was 7.30 hours. Rigid fibroscopy allowed the removal of the foreign body in 88.89% of cases. Thoracotomy allowed the removal of the foreign body in 5.55%. Esophageal foreign bodies can occur at all ages but they are more frequent among children. Endoscopic removal is the gold standard treatment but surgical removal of a blocked esophageal foreign body, although rare, is the last resort, due to the nature of the foreign body and to the occurrence of complications. The best way to reduce accidents is prevention.

摘要

食管异物是儿科急诊科常见的就诊原因。然而,各年龄段均可能发生。本研究旨在突出马里某医院食管异物处理的临床、辅助检查及治疗特点。我们对2011年1月至2014年12月期间所有异物摄入病例进行了一项前瞻性研究。共有36例患者接受了内镜或手术治疗。平均年龄为6岁(范围从14个月至62岁)。主要影响男性患者,性别比为1.75。69.45%的病例异物嵌顿于环咽肌收缩处,其中22.22%随后累及主动脉缩窄处。异物取出的平均时间为7.30小时。硬质纤维喉镜在88.89%的病例中成功取出异物。开胸手术在5.55%的病例中取出异物。食管异物各年龄段均可发生,但在儿童中更为常见。内镜取出是金标准治疗方法,但由于异物的性质及并发症的发生,尽管罕见,手术取出嵌顿的食管异物是最后的手段。减少事故的最佳方法是预防。

https://cdn.ncbi.nlm.nih.gov/pmc/blobs/71f4/5579447/a7badc6ec244/PAMJ-27-207-g001.jpg

文献AI研究员

20分钟写一篇综述,助力文献阅读效率提升50倍。

立即体验

用中文搜PubMed

大模型驱动的PubMed中文搜索引擎

马上搜索

文档翻译

学术文献翻译模型,支持多种主流文档格式。

立即体验