Suppr超能文献

Primary Cutaneous Mucinous Carcinoma Treated with Narrow Surgical Margin.

作者信息

Choi Jin-Hee, Kim Seung Chan, Kim Jiye, Chung Yoon Kyu

机构信息

Department of Plastic and Reconstructive Surgery, Yonsei University Wonju College of Medicine, Wonju, Korea.

出版信息

Arch Craniofac Surg. 2016 Sep;17(3):158-161. doi: 10.7181/acfs.2016.17.3.158. Epub 2016 Sep 23.

Abstract

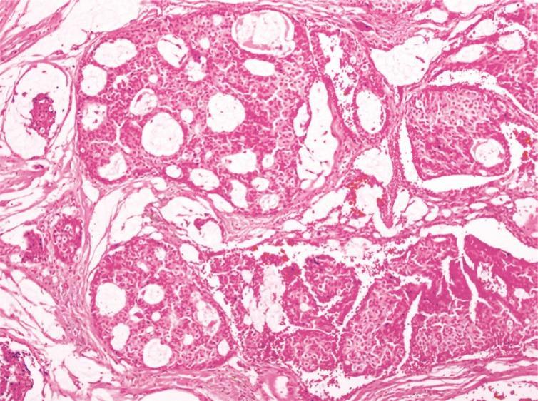
Primary cutaneous mucinous carcinoma (PCMC) is a rare malignant tumor of eccrine origin. Clinically, the carcinoma presents as a solitary, slow growing, and painless nodule. For this reason, this tumor is often considered to be a benign mass in the preoperative setting. The lesion is, however, malignant in nature and has a tendency for local recurrence and infrequent metastasis. Wide local excision is the treatment of choice. However, few reports exist with information regarding surgical margins and clinical outcomes. Herein, we report a case of PCMC excised with a narrow surgical margin and review the relevant literature. A 49-year-old man presented with a small cutaneous nodule of the right cheek. The mass was excised without any margin, but pathologic examination revealed histology of mucinous carcinoma. Because of this, the operative site was re-excised with a 5-mm margin, and the wound was closed using a V-Y advancement flap. Systemic work-up did not reveal other potential metastatic primary, for a final diagnosis of PCMC. We report this case of PCMC, treated with relatively narrow margin in a patient with good prognostic factors.

摘要
https://cdn.ncbi.nlm.nih.gov/pmc/blobs/8085/5556805/5f41538ef9d1/acfs-17-158-g001.jpg

文献检索

告别复杂PubMed语法,用中文像聊天一样搜索,搜遍4000万医学文献。AI智能推荐,让科研检索更轻松。

立即免费搜索

文件翻译

保留排版,准确专业,支持PDF/Word/PPT等文件格式,支持 12+语言互译。

免费翻译文档

深度研究

AI帮你快速写综述,25分钟生成高质量综述,智能提取关键信息,辅助科研写作。

立即免费体验