College of Pharmacy, Research Institute of Pharmaceutical Sciences, Gyeongsang National University, Jinju 52828, Gyeongnam, Korea.
Department of Pathology, College of Medicine, Yonsei University, Seoul 03722, Korea.
Int J Mol Sci. 2017 Sep 15;18(9):1989. doi: 10.3390/ijms18091989.
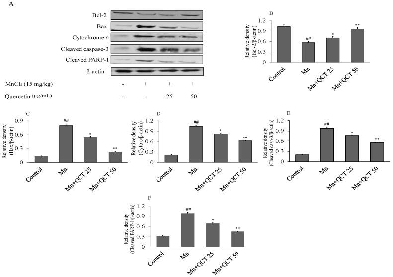
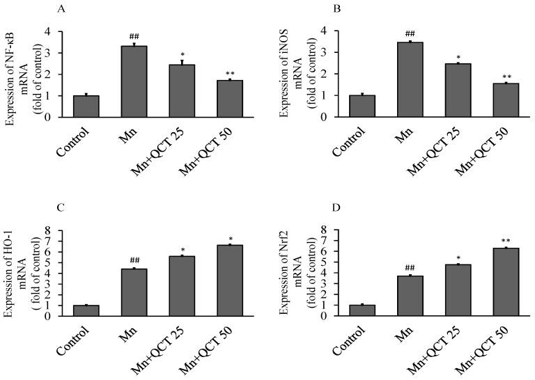
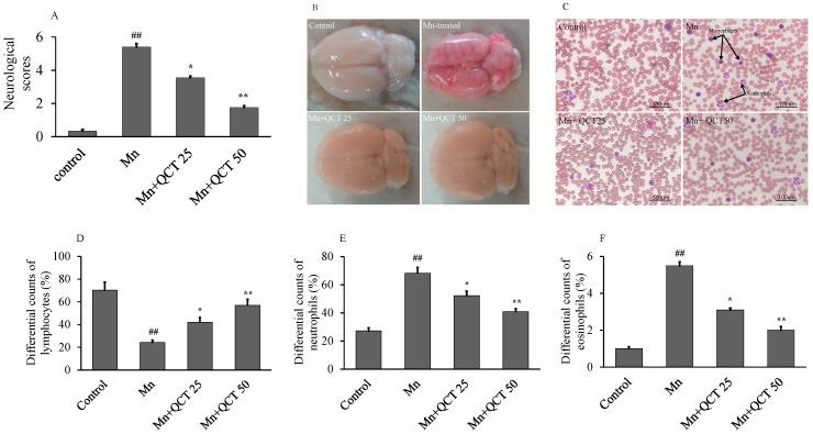
Manganese (Mn) is an essential trace element required for the development of human body and acts as an enzyme co-factor or activator for various reactions of metabolism. While essential in trace amounts, excessive Mn exposure can result in toxic accumulations in human brain tissue and resulting extrapyramidal symptoms called manganism similar to idiopathic Parkinson's disease (PD). Quercetin (QCT) has been demonstrated to play an important role in altering the progression of neurodegenerative diseases by protecting against oxidative stress. This study aimed to investigate the protective effect of QCT on Mn-induced neurotoxicity and the underlying mechanism in SK-N-MC human neuroblastoma cell line and Sprague-Dawley (SD) male rat brain. The results showed that Mn treatment significantly decreased the cell viability of SK-N-MC cell and increased the release of lactate dehydrogenase (LDH), which was attenuated by QCT pretreatment at 10 and 20 µg/mL. Compared to the Mn alone group, QCT pretreatment significantly attenuated Mn-induced oxidative stress, mitochondrial dysfunction and apoptosis. Meanwhile, QCT pretreatment markedly downregulated the NF-κB but upregulated the heme oxygenase-1 (HO-1) and Nrf2 proteins, compared to the Mn alone group. Our result showed the beneficial effect of QCT on hematological parameters against Mn in rat brain. QCT decrease reactive oxygen species (ROS) and protein carbonyl levels and increased Cu/Zn-superoxide dismutase (SOD) activity induced in Mn-treated rats. QCT administration caused a significant reduction in the Mn-induced neuroinflammation by inhibiting the expression of inflammatory markers such as tumor necrosis factor-α (TNF-α), interleukin-1β (IL-1β), interleukin-6 (IL-6) cyclooxygenase-2 (COX-2) and inducible nitric oxide synthase (iNOS). QCT lowered the Mn elevated levels of various downstream apoptotic markers, including Bax, cytochrome , cleaved caspase-3 and polymerase-1 (PARP-1), while QCT treatment upregulated anti-apoptotic Bcl-2 proteins and prevented Mn-induced neurodegeneration. Furthermore, administration of QCT (25 and 50 mg/kg) to Mn-exposed rats showed improvement of histopathological alteration in comparison to Mn-treated rats. Moreover, administration of QCT to Mn-exposed rats showed significant reduction of 8-hydroxy-2'-deoxyguanosine (8-OHdG), Bax, activated caspase-3 and PARP-1 immunoreactivity. These results indicate that QCT could effectively inhibit Mn induced apoptosis and inflammatory response in SK-N-MC cells and SD rats, which may involve the activation of HO-1/Nrf2 and inhibition of NF-κB pathway.
锰(Mn)是人体发育所必需的微量元素,作为各种代谢反应的酶辅因子或激活剂。虽然在痕量时是必需的,但过量的 Mn 暴露会导致其在人脑组织中有毒积累,并产生类似特发性帕金森病(PD)的锥体外系症状,称为锰中毒。槲皮素(QCT)已被证明通过防止氧化应激在改变神经退行性疾病的进展中发挥重要作用。本研究旨在探讨 QCT 对 SK-N-MC 人神经母细胞瘤细胞系和 Sprague-Dawley(SD)雄性大鼠脑内 Mn 诱导的神经毒性的保护作用及其潜在机制。结果表明,Mn 处理显著降低了 SK-N-MC 细胞的细胞活力,并增加了乳酸脱氢酶(LDH)的释放,而 QCT 预处理可在 10 和 20μg/mL 时减轻这种作用。与单独的 Mn 组相比,QCT 预处理可显著减轻 Mn 诱导的氧化应激、线粒体功能障碍和细胞凋亡。同时,与单独的 Mn 组相比,QCT 预处理可显著下调 NF-κB,但上调血红素加氧酶-1(HO-1)和 Nrf2 蛋白。我们的结果表明,QCT 对大鼠脑内 Mn 有有益的血液学参数作用。QCT 降低了 Mn 处理大鼠中诱导的活性氧(ROS)和蛋白羰基水平,并增加了 Cu/Zn-超氧化物歧化酶(SOD)的活性。QCT 给药通过抑制肿瘤坏死因子-α(TNF-α)、白细胞介素-1β(IL-1β)、白细胞介素-6(IL-6)环加氧酶-2(COX-2)和诱导型一氧化氮合酶(iNOS)等炎症标志物的表达,显著减少了 Mn 诱导的神经炎症。QCT 降低了各种下游凋亡标志物,包括 Bax、细胞色素 c、裂解 caspase-3 和聚合酶-1(PARP-1)的 Mn 升高水平,同时 QCT 处理上调了抗凋亡 Bcl-2 蛋白并防止了 Mn 诱导的神经退行性变。此外,与 Mn 处理大鼠相比,给予 QCT(25 和 50mg/kg)可改善 Mn 暴露大鼠的组织病理学改变。此外,给予 QCT 可显著减少 Mn 暴露大鼠 8-羟基-2'-脱氧鸟苷(8-OHdG)、Bax、活化 caspase-3 和 PARP-1 的免疫反应性。这些结果表明,QCT 可有效抑制 SK-N-MC 细胞和 SD 大鼠中 Mn 诱导的细胞凋亡和炎症反应,这可能涉及 HO-1/Nrf2 的激活和 NF-κB 途径的抑制。