Suppr超能文献

高渗应激通过多囊蛋白-2刺激自噬。

Hyperosmotic stress stimulates autophagy via polycystin-2.

作者信息

Peña-Oyarzun Daniel, Troncoso Rodrigo, Kretschmar Catalina, Hernando Cecilia, Budini Mauricio, Morselli Eugenia, Lavandero Sergio, Criollo Alfredo

机构信息

Advanced Center for Chronic Diseases, Facultad Ciencias Quimicas y Farmaceuticas & Facultad Medicina, Universidad de Chile, Santiago, Chile.

Center for Molecular Studies of the Cell, Facultad de Medicina, Universidad de Chile, Santiago, Chile.

出版信息

Oncotarget. 2017 Jul 5;8(34):55984-55997. doi: 10.18632/oncotarget.18995. eCollection 2017 Aug 22.

Abstract

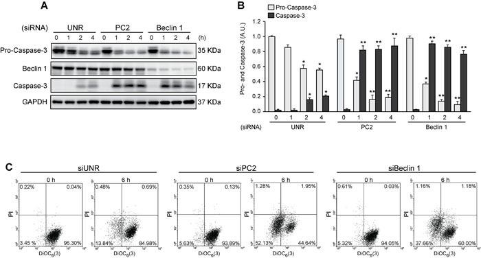
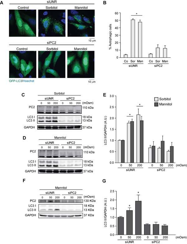
Various intracellular mechanisms are activated in response to stress, leading to adaptation or death. Autophagy, an intracellular process that promotes lysosomal degradation of proteins, is an adaptive response to several types of stress. Osmotic stress occurs under both physiological and pathological conditions, provoking mechanical stress and activating various osmoadaptive mechanisms. Polycystin-2 (PC2), a membrane protein of the polycystin family, is a mechanical sensor capable of activating the cell signaling pathways required for cell adaptation and survival. Here we show that hyperosmotic stress provoked by treatment with hyperosmolar concentrations of sorbitol or mannitol induces autophagy in HeLa and HCT116 cell lines. In addition, we show that mTOR and AMPK, two stress sensor proteins involved modulating autophagy, are downregulated and upregulated, respectively, when cells are subjected to hyperosmotic stress. Finally, our findings show that PC2 is required to promote hyperosmotic stress-induced autophagy. Downregulation of PC2 prevents inhibition of hyperosmotic stress-induced mTOR pathway activation. In conclusion, our data provide new insight into the role of PC2 as a mechanosensor that modulates autophagy under hyperosmotic stress conditions.

摘要

多种细胞内机制会因应激而被激活,从而导致细胞适应或死亡。自噬是一种促进蛋白质溶酶体降解的细胞内过程,是对多种应激的适应性反应。渗透应激在生理和病理条件下都会发生,引发机械应激并激活各种渗透适应机制。多囊蛋白-2(PC2)是多囊蛋白家族的一种膜蛋白,是一种能够激活细胞适应和存活所需细胞信号通路的机械传感器。在这里,我们表明用高渗浓度的山梨醇或甘露醇处理引发的高渗应激可诱导HeLa和HCT116细胞系中的自噬。此外,我们表明,当细胞受到高渗应激时,参与调节自噬的两种应激传感器蛋白mTOR和AMPK分别被下调和上调。最后,我们的研究结果表明,PC2是促进高渗应激诱导自噬所必需的。PC2的下调可阻止高渗应激诱导的mTOR途径激活的抑制。总之,我们的数据为PC2作为一种在高渗应激条件下调节自噬的机械传感器的作用提供了新的见解。

https://cdn.ncbi.nlm.nih.gov/pmc/blobs/f94b/5593539/fb24754f9d68/oncotarget-08-55984-g001.jpg

文献AI研究员

20分钟写一篇综述,助力文献阅读效率提升50倍。

立即体验

用中文搜PubMed

大模型驱动的PubMed中文搜索引擎

马上搜索

文档翻译

学术文献翻译模型,支持多种主流文档格式。

立即体验