Suppr超能文献

PRPF过表达通过肌动蛋白细胞骨架重排和上皮-间质转化诱导耐药性。

PRPF overexpression induces drug resistance through actin cytoskeleton rearrangement and epithelial-mesenchymal transition.

作者信息

Islam Salman Ul, Shehzad Adeeb, Sonn Jong Kyung, Lee Young Sup

机构信息

School of Life Sciences, College of Natural Sciences, Kyungpook National University, Daegu, Korea.

Department of Biomedical Engineering and Sciences, School of Mechanical and Manufacturing Engineering, National University of Sciences and Technology, Islamabad, Pakistan.

出版信息

Oncotarget. 2017 May 15;8(34):56659-56671. doi: 10.18632/oncotarget.17855. eCollection 2017 Aug 22.

Abstract

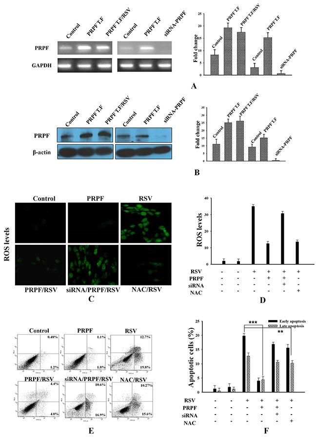
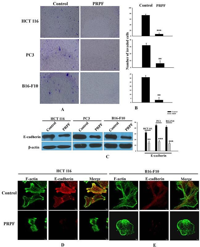
Pre-mRNA processing factor (PRPF) 4B kinase belongs to the CDK-like kinase family, and is involved in pre-mRNA splicing, and in signal transduction. In this study, we observed that PRPF overexpression decreased the intracellular levels of reactive oxygen species, and inhibited resveratrol-induced apoptosis by activating the cell survival signaling proteins NFκB, ERK, and c-MYC in HCT116 human colon cancer cells. PRPF overexpression altered cellular morphology, and rearranged the actin cytoskeleton, by regulating the activity of Rho family proteins. Moreover, it decreased the activity of RhoA, but increased the expression of Rac1. In addition, PRPF triggered the epithelial-mesenchymal transition (EMT), and decreased the invasiveness of HCT116, PC3 human prostate, and B16-F10 melanoma cells. The loss of E-cadherin, a hallmark of EMT, was observed in HCT116 cells overexpressing PRPF. Taken together, these results indicate that PRPF blocks the apoptotic effects of resveratrol by activating cell survival signaling pathways, rearranging the actin cytoskeleton, and inducing EMT. The elucidation of the mechanisms that underlie anticancer drug resistance and the anti-apoptosis effect of PRPF may provide a therapeutic basis for inhibiting tumor growth and preventing metastasis in various cancers.

摘要

前体mRNA加工因子(PRPF)4B激酶属于类周期蛋白依赖性激酶家族,参与前体mRNA剪接和信号转导。在本研究中,我们观察到PRPF过表达降低了HCT116人结肠癌细胞内活性氧水平,并通过激活细胞存活信号蛋白NFκB、ERK和c-MYC抑制白藜芦醇诱导的细胞凋亡。PRPF过表达通过调节Rho家族蛋白的活性改变细胞形态并重新排列肌动蛋白细胞骨架。此外,它降低了RhoA的活性,但增加了Rac1的表达。另外,PRPF引发上皮-间质转化(EMT),并降低了HCT116、PC3人前列腺癌和B16-F10黑色素瘤细胞的侵袭性。在过表达PRPF的HCT116细胞中观察到E-钙黏蛋白的缺失,这是EMT的一个标志。综上所述,这些结果表明PRPF通过激活细胞存活信号通路、重新排列肌动蛋白细胞骨架和诱导EMT来阻断白藜芦醇的凋亡作用。阐明PRPF介导的抗癌药物耐药性和抗凋亡作用的机制可能为抑制各种癌症的肿瘤生长和预防转移提供治疗依据。

https://cdn.ncbi.nlm.nih.gov/pmc/blobs/62a4/5593591/c9d27c9e38fb/oncotarget-08-56659-g001.jpg

文献AI研究员

20分钟写一篇综述,助力文献阅读效率提升50倍。

立即体验

用中文搜PubMed

大模型驱动的PubMed中文搜索引擎

马上搜索

文档翻译

学术文献翻译模型,支持多种主流文档格式。

立即体验