Suppr超能文献

PRP4 通过激活 p53 诱导结肠癌细胞上皮-间充质转化和耐药性。

PRP4 Induces Epithelial-Mesenchymal Transition and Drug Resistance in Colon Cancer Cells via Activation of p53.

机构信息

Department of Pharmacy, Cecos University, Hayatabad, Peshawar 25000, Pakistan.

School of Life Sciences, College of Natural Sciences, Kyungpook National University, Daegu 41566, Korea.

出版信息

Int J Mol Sci. 2022 Mar 13;23(6):3092. doi: 10.3390/ijms23063092.

Abstract

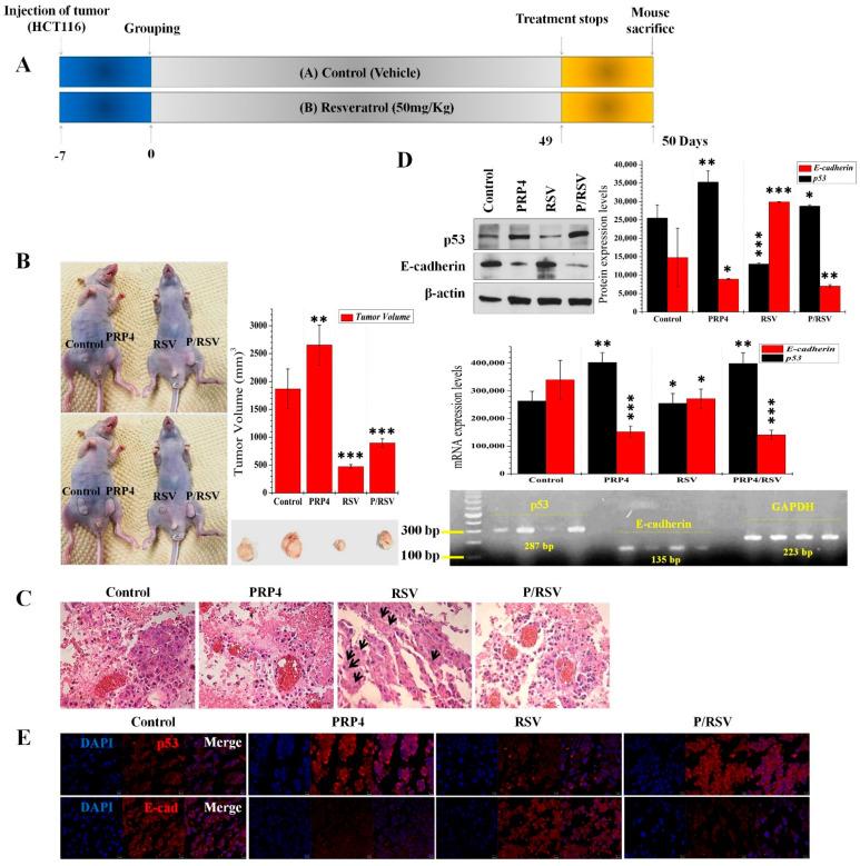
Pre-mRNA processing factor 4B (PRP4) promotes pre-mRNA splicing and signal transduction. Recent studies have shown that PRP4 modulates the assembly of actin cytoskeleton in cancer cells and induces epithelial-mesenchymal transition (EMT) and drug resistance. PRP4 displays kinase domain-like cyclin-dependent kinases and mitogen-activated protein kinases, making it capable of phosphorylating p53 and other target proteins. In the current study, we report that PRP4 induces drug resistance and EMT via direct binding to the p53 protein, inducing its phosphorylation. Moreover, PRP4 overexpression activates the transcription of miR-210 in a hypoxia-inducible factor 1α (HIF-1α)-dependent manner, which activates p53. The involvement of miR-210 in the activation of p53 was confirmed by utilizing si-miR210. si-miR210 blocked the PRP4-activated cell survival pathways and reversed the PRP4-induced EMT phenotype. Moreover, we used deferoxamine as a hypoxia-mimetic agent, and si-HIF to silence HIF-1α. This procedure demonstrated that PRP4-induced EMT and drug resistance emerged in response to consecutive activation of HIF-1α, miR-210, and p53 by PRP4 overexpression. Collectively, our findings suggest that the PRP4 contributes to EMT and drug resistance induction via direct interactions with p53 and actions that promote upregulation of HIF-1α and miR-210. We conclude that PRP4 is an essential factor promoting cancer development and progression. Specific PRP4 inhibition could benefit patients with colon cancer.

摘要

前体 mRNA 处理因子 4B(PRP4)促进前体 mRNA 的剪接和信号转导。最近的研究表明,PRP4 调节癌细胞中肌动蛋白细胞骨架的组装,并诱导上皮-间充质转化(EMT)和耐药性。PRP4 显示激酶结构域样细胞周期蛋白依赖性激酶和有丝分裂原激活的蛋白激酶,使其能够磷酸化 p53 和其他靶蛋白。在本研究中,我们报告 PRP4 通过直接与 p53 蛋白结合诱导其磷酸化,从而诱导药物耐药性和 EMT。此外,PRP4 过表达以缺氧诱导因子 1α(HIF-1α)依赖性方式激活 miR-210 的转录,从而激活 p53。利用 si-miR210 证实了 miR-210 在 p53 激活中的作用。si-miR210 阻断了 PRP4 激活的细胞存活途径,并逆转了 PRP4 诱导的 EMT 表型。此外,我们使用去铁胺作为缺氧模拟物,并用 si-HIF 沉默 HIF-1α。该程序表明,PRP4 诱导的 EMT 和耐药性是通过 PRP4 过表达连续激活 HIF-1α、miR-210 和 p53 而出现的。总之,我们的研究结果表明,PRP4 通过与 p53 的直接相互作用以及促进 HIF-1α 和 miR-210 上调的作用,促进 EMT 和耐药性的诱导。我们得出结论,PRP4 是促进癌症发生和发展的重要因素。特异性 PRP4 抑制可能有益于结肠癌患者。

https://cdn.ncbi.nlm.nih.gov/pmc/blobs/3093/8955441/833d2b73be12/ijms-23-03092-g001.jpg

文献检索

告别复杂PubMed语法,用中文像聊天一样搜索,搜遍4000万医学文献。AI智能推荐,让科研检索更轻松。

立即免费搜索

文件翻译

保留排版,准确专业,支持PDF/Word/PPT等文件格式,支持 12+语言互译。

免费翻译文档

深度研究

AI帮你快速写综述,25分钟生成高质量综述,智能提取关键信息,辅助科研写作。

立即免费体验