Suppr超能文献

起源于髂静脉的原发性骨外间叶性软骨肉瘤。

Primary extraskeletal mesenchymal chondrosarcoma arising from the iliac vein.

作者信息

Zhang Hua, Wang Shuai, Cheng Zhihua, Liu Han

机构信息

Department of Respiration, The First Hospital of Jilin University, Changchun, Jilin, China. E-mail.

出版信息

Saudi Med J. 2017 Oct;38(10):1058-1061. doi: 10.15537/smj.2017.10.20498.

Abstract

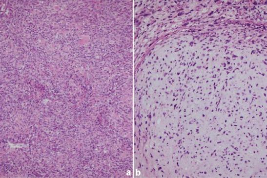
The iliac vein is an extremely rare site for mesenchymal chondrosarcoma, and patients with primary extraskeletal mesenchymal chondrosarcoma arising from a vein always suffer a very poor prognosis. We report a case of a 45-year-old female who presented with a 5-month history of left leg edema in 2015. Contrast-enhanced computed tomography showed a large mass in the left iliac vein with scattered calcifications. Wide-margin resection was performed, and histopathologic and immunohistochemical analyses confirmed the presence of intraluminal mesenchymal chondrosarcoma with local invasion out of the vein wall. Due to poor patient compliance, postoperative neoadjuvant chemotherapy and radiotherapy were not started, and a bone scan performed 16 weeks postoperatively showed multiple bone metastases. The patient died on the twenty-fourth postoperative week.

摘要

髂静脉是间叶性软骨肉瘤极为罕见的发病部位,源于静脉的原发性骨外间叶性软骨肉瘤患者的预后通常很差。我们报告一例45岁女性病例,该患者于2015年出现左腿水肿,病程5个月。增强计算机断层扫描显示左髂静脉有一个巨大肿块,伴有散在钙化。进行了广泛边缘切除,组织病理学和免疫组织化学分析证实腔内存在间叶性软骨肉瘤,并侵犯静脉壁外。由于患者依从性差,术后未开始新辅助化疗和放疗,术后16周的骨扫描显示多处骨转移。患者于术后第24周死亡。

https://cdn.ncbi.nlm.nih.gov/pmc/blobs/332e/5694641/e0f0bf4c8aef/SaudiMedJ-38-1058-g001.jpg

文献检索

告别复杂PubMed语法,用中文像聊天一样搜索,搜遍4000万医学文献。AI智能推荐,让科研检索更轻松。

立即免费搜索

文件翻译

保留排版,准确专业,支持PDF/Word/PPT等文件格式,支持 12+语言互译。

免费翻译文档

深度研究

AI帮你快速写综述,25分钟生成高质量综述,智能提取关键信息,辅助科研写作。

立即免费体验