• 文献检索
  • 文档翻译
  • 深度研究
  • 学术资讯
  • Suppr Zotero 插件Zotero 插件
  • 邀请有礼
  • 套餐&价格
  • 历史记录
应用&插件
Suppr Zotero 插件Zotero 插件浏览器插件Mac 客户端Windows 客户端微信小程序
定价
高级版会员购买积分包购买API积分包
服务
文献检索文档翻译深度研究API 文档MCP 服务
关于我们
关于 Suppr公司介绍联系我们用户协议隐私条款
关注我们

Suppr 超能文献

核心技术专利:CN118964589B侵权必究
粤ICP备2023148730 号-1Suppr @ 2026

文献检索

告别复杂PubMed语法,用中文像聊天一样搜索,搜遍4000万医学文献。AI智能推荐,让科研检索更轻松。

立即免费搜索

文件翻译

保留排版,准确专业,支持PDF/Word/PPT等文件格式,支持 12+语言互译。

免费翻译文档

深度研究

AI帮你快速写综述,25分钟生成高质量综述,智能提取关键信息,辅助科研写作。

立即免费体验

利用相位对比磁共振成像技术测量的脑脊液流动与黏多糖贮积症患者脑室扩大及脑脊液开放压的相关性

Correlation of CSF flow using phase-contrast MRI with ventriculomegaly and CSF opening pressure in mucopolysaccharidoses.

作者信息

Corte Amauri Dalla, de Souza Carolina F M, Anés Maurício, Maeda Fabio K, Lokossou Armelle, Vedolin Leonardo M, Longo Maria Gabriela, Ferreira Monica M, Perrone Solanger G P, Balédent Olivier, Giugliani Roberto

机构信息

Post-Graduate Program in Medical Sciences, Universidade Federal do Rio Grande do Sul, Porto Alegre, Brazil.

Medical Genetics Service, Hospital de Clínicas de Porto Alegre, Rua Ramiro Barcelos 2350, Porto Alegre, RS, 90035-903, Brazil.

出版信息

Fluids Barriers CNS. 2017 Sep 18;14(1):23. doi: 10.1186/s12987-017-0073-2.

DOI:10.1186/s12987-017-0073-2
PMID:28918752
原文链接:https://pmc.ncbi.nlm.nih.gov/articles/PMC5603164/
Abstract

BACKGROUND

Very little is known about the incidence and prevalence of hydrocephalus in patients with mucopolysaccharidoses (MPS). The biggest challenge is to distinguish communicating hydrocephalus from ventricular dilatation secondary to brain atrophy, because both conditions share common clinical and neuroradiological features. The main purpose of this study is to assess the relationship between ventriculomegaly, brain and cerebrospinal fluid (CSF) volumes, aqueductal and cervical CSF flows, and CSF opening pressure in MPS patients, and to provide potential biomarkers for abnormal CSF circulation.

METHODS

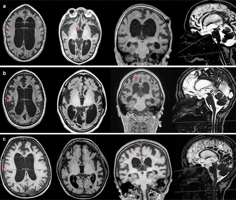
Forty-three MPS patients (12 MPS I, 15 MPS II, 5 MPS III, 9 MPS IV A and 2 MPS VI) performed clinical and developmental tests, and T1, T2, FLAIR and phase-contrast magnetic resonance imaging (MRI) followed by a lumbar puncture with the CSF opening pressure assessment. For the analysis of MRI variables, we measured the brain and CSF volumes, white matter (WM) lesion load, Evans' index, third ventricle width, callosal angle, dilated perivascular spaces (PVS), craniocervical junction stenosis, aqueductal and cervical CSF stroke volumes, and CSF glycosaminoglycans concentration.

RESULTS

All the scores used to assess the supratentorial ventricles enlargement and the ventricular CSF volume presented a moderate correlation with the aqueductal CSF stroke volume (ACSV). The CSF opening pressure did not correlate either with the three measures of ventriculomegaly, or the ventricular CSF volume, or with the ACSV. Dilated PVS showed a significant association with the ventriculomegaly, ventricular CSF volume and elevated ACSV.

CONCLUSIONS

In MPS patients ventriculomegaly is associated with a severe phenotype, increased cognitive decline, WM lesion severity and enlarged PVS. The authors have shown that there are associations between CSF flow measurements and measurements related to CSF volumetrics. There was also an association of volumetric measurements with the degree of dilated PVS.

摘要

背景

关于黏多糖贮积症(MPS)患者脑积水的发病率和患病率知之甚少。最大的挑战是区分交通性脑积水与继发于脑萎缩的脑室扩张,因为这两种情况具有共同的临床和神经放射学特征。本研究的主要目的是评估MPS患者脑室扩大、脑和脑脊液(CSF)体积、导水管和颈段脑脊液流量以及脑脊液开放压之间的关系,并为异常脑脊液循环提供潜在的生物标志物。

方法

43例MPS患者(12例MPS I型、15例MPS II型、5例MPS III型、9例MPS IV A型和2例MPS VI型)进行了临床和发育测试,以及T1、T2、FLAIR和相位对比磁共振成像(MRI),随后进行腰椎穿刺并评估脑脊液开放压。为了分析MRI变量,我们测量了脑和脑脊液体积、白质(WM)病变负荷、埃文斯指数、第三脑室宽度、胼胝体角、扩张的血管周围间隙(PVS)、颅颈交界狭窄、导水管和颈段脑脊液搏出量以及脑脊液糖胺聚糖浓度。

结果

所有用于评估幕上脑室扩大和脑室脑脊液体积的评分与导水管脑脊液搏出量(ACSV)均呈中度相关。脑脊液开放压与脑室扩大的三项测量指标、脑室脑脊液体积或ACSV均无相关性。扩张的PVS与脑室扩大、脑室脑脊液体积增加和ACSV升高显著相关。

结论

在MPS患者中,脑室扩大与严重的表型、认知功能下降增加、WM病变严重程度和PVS扩大有关。作者表明,脑脊液流量测量与脑脊液容量测量相关指标之间存在关联。体积测量也与PVS扩张程度有关。

https://cdn.ncbi.nlm.nih.gov/pmc/blobs/d0df/5603164/19e70856f33e/12987_2017_73_Fig4_HTML.jpg
https://cdn.ncbi.nlm.nih.gov/pmc/blobs/d0df/5603164/a19425837d0e/12987_2017_73_Fig1_HTML.jpg
https://cdn.ncbi.nlm.nih.gov/pmc/blobs/d0df/5603164/7336799f5778/12987_2017_73_Fig2_HTML.jpg
https://cdn.ncbi.nlm.nih.gov/pmc/blobs/d0df/5603164/51a118a8c18e/12987_2017_73_Fig3_HTML.jpg
https://cdn.ncbi.nlm.nih.gov/pmc/blobs/d0df/5603164/19e70856f33e/12987_2017_73_Fig4_HTML.jpg
https://cdn.ncbi.nlm.nih.gov/pmc/blobs/d0df/5603164/a19425837d0e/12987_2017_73_Fig1_HTML.jpg
https://cdn.ncbi.nlm.nih.gov/pmc/blobs/d0df/5603164/7336799f5778/12987_2017_73_Fig2_HTML.jpg
https://cdn.ncbi.nlm.nih.gov/pmc/blobs/d0df/5603164/51a118a8c18e/12987_2017_73_Fig3_HTML.jpg
https://cdn.ncbi.nlm.nih.gov/pmc/blobs/d0df/5603164/19e70856f33e/12987_2017_73_Fig4_HTML.jpg

相似文献

1
Correlation of CSF flow using phase-contrast MRI with ventriculomegaly and CSF opening pressure in mucopolysaccharidoses.利用相位对比磁共振成像技术测量的脑脊液流动与黏多糖贮积症患者脑室扩大及脑脊液开放压的相关性
Fluids Barriers CNS. 2017 Sep 18;14(1):23. doi: 10.1186/s12987-017-0073-2.
2
Relationship between ventricular morphology and aqueductal cerebrospinal fluid flow in healthy and communicating hydrocephalus.健康及交通性脑积水患者的脑室形态与导水管脑脊液流动之间的关系
Invest Radiol. 2009 Apr;44(4):192-9. doi: 10.1097/RLI.0b013e31819a640b.
3
Hydrocephalus and mucopolysaccharidoses: what do we know and what do we not know?脑积水与黏多糖贮积症:我们知道什么,又不知道什么?
Childs Nerv Syst. 2017 Jul;33(7):1073-1080. doi: 10.1007/s00381-017-3476-0. Epub 2017 Jun 7.
4
Mucopolysaccharidoses type I and II: new neuroimaging findings in the cerebellum.黏多糖贮积症 I 型和 II 型:小脑的新神经影像学发现。
Eur J Paediatr Neurol. 2014 Mar;18(2):211-7. doi: 10.1016/j.ejpn.2013.11.014. Epub 2013 Dec 31.
5
Ventriculomegaly in the Elderly: Who Needs a Shunt? A MRI Study on 90 Patients.老年人脑室扩大:谁需要分流术?一项针对90例患者的MRI研究
Acta Neurochir Suppl. 2018;126:221-228. doi: 10.1007/978-3-319-65798-1_45.
6
Aqueductal CSF stroke volume is associated with the burden of perivascular space enlargement in chronic adult hydrocephalus.导水管脑脊液容积与慢性成人脑积水患者血管周围间隙扩大负担相关。
Sci Rep. 2024 Jun 5;14(1):12966. doi: 10.1038/s41598-024-63926-8.
7
The oscillatory flow of the cerebrospinal fluid in the Sylvian aqueduct and the prepontine cistern measured with phase contrast MRI in children with hydrocephalus-a preliminary report.用相位对比磁共振成像测量脑积水患儿中脑导水管和脑桥前池内脑脊液的振荡流动——初步报告
Childs Nerv Syst. 2018 May;34(5):845-851. doi: 10.1007/s00381-017-3699-0. Epub 2018 Jan 10.
8
Brain MRI in mucopolysaccharidosis: effect of aging and correlation with biochemical findings.黏多糖贮积症的脑部磁共振成像:年龄的影响及与生化检查结果的相关性
Neurology. 2007 Aug 28;69(9):917-24. doi: 10.1212/01.wnl.0000269782.80107.fe.
9
Treatment reduces or stabilizes brain imaging abnormalities in patients with MPS I and II.治疗可减少或稳定 MPS I 和 II 患者的脑部影像学异常。
Mol Genet Metab. 2009 Dec;98(4):406-11. doi: 10.1016/j.ymgme.2009.07.015. Epub 2009 Aug 5.
10
Direction and magnitude of cerebrospinal fluid flow vary substantially across central nervous system diseases.脑脊液流动的方向和幅度在中枢神经系统疾病中有很大的变化。
Fluids Barriers CNS. 2021 Apr 1;18(1):16. doi: 10.1186/s12987-021-00251-6.

引用本文的文献

1
Influence of interaction of cerebral fluids on ventricular deformation: A mathematical approach.脑液相互作用对脑室变形的影响:一种数学方法。
PLoS One. 2022 Feb 28;17(2):e0264395. doi: 10.1371/journal.pone.0264395. eCollection 2022.
2
from diffusion MRI reveals a correspondence between ventricular cerebrospinal fluid volume and flow in the ischemic rodent model.从弥散磁共振成像可以看出,在缺血性啮齿动物模型中,脑室脑脊液体积与流动之间存在对应关系。
J Cereb Blood Flow Metab. 2022 Apr;42(4):572-583. doi: 10.1177/0271678X211060741. Epub 2021 Nov 19.
3
Characterization of Fluid Biomarkers Reveals Lysosome Dysfunction and Neurodegeneration in Neuronopathic MPS II Patients.

本文引用的文献

1
Hydrocephalus and mucopolysaccharidoses: what do we know and what do we not know?脑积水与黏多糖贮积症:我们知道什么,又不知道什么?
Childs Nerv Syst. 2017 Jul;33(7):1073-1080. doi: 10.1007/s00381-017-3476-0. Epub 2017 Jun 7.
2
The lack of relationship between intracranial pressure and cerebral ventricle indices based on brain computed tomography in patients undergoing ventriculoperitoneal shunt.在接受脑室腹腔分流术的患者中,基于脑部计算机断层扫描的颅内压与脑室指数之间缺乏相关性。
Acta Neurochir (Wien). 2015 Feb;157(2):257-63. doi: 10.1007/s00701-014-2295-2. Epub 2014 Dec 13.
3
CSF Flow in the Brain in the Context of Normal Pressure Hydrocephalus.
神经病变型黏多糖贮积症 II 患者液生物标志物的特征分析显示溶酶体功能障碍和神经退行性变。
Int J Mol Sci. 2020 Jul 22;21(15):5188. doi: 10.3390/ijms21155188.
4
Correction to: Correlation of CSF flow using phase-contrast MRI with ventriculomegaly and CSF opening pressure in mucopolysaccharidoses.对《黏多糖贮积症中使用相位对比磁共振成像测量脑脊液流动与脑室扩大及脑脊液开放压的相关性》的更正
Fluids Barriers CNS. 2017 Oct 13;14(1):28. doi: 10.1186/s12987-017-0076-z.
正常压力脑积水背景下的脑脊液在脑内的流动
AJNR Am J Neuroradiol. 2015 May;36(5):831-8. doi: 10.3174/ajnr.A4124. Epub 2014 Oct 29.
4
Preoperative prognostic value of MRI findings in 108 patients with idiopathic normal pressure hydrocephalus.108例特发性正常压力脑积水患者MRI表现的术前预后价值
AJNR Am J Neuroradiol. 2014 Dec;35(12):2311-8. doi: 10.3174/ajnr.A4046. Epub 2014 Jul 10.
5
Third ventricular enlargement in early stages of multiple sclerosis is a predictor of motor and neuropsychological deficits: a cross-sectional study.多发性硬化早期第三脑室扩大是运动和神经心理学缺陷的预测指标:一项横断面研究。
BMJ Open. 2013 Sep 10;3(9):e003582. doi: 10.1136/bmjopen-2013-003582.
6
Craniocervical decompression in patients with mucopolysaccharidosis VI: development of a scoring system to determine indication and outcome of surgery.黏多糖贮积症 VI 患者的颅颈减压:确定手术适应证和结果的评分系统的制定。
J Inherit Metab Dis. 2013 Nov;36(6):1005-13. doi: 10.1007/s10545-013-9591-5. Epub 2013 Feb 14.
7
Correlation between tap test and CSF aqueductal stroke volume in idiopathic normal pressure hydrocephalus.特发性正常压力脑积水患者轻叩试验与脑脊液导水管卒中体积的相关性
Acta Neurochir Suppl. 2012;113:43-6. doi: 10.1007/978-3-7091-0923-6_9.
8
Radiologic and neuroradiologic findings in the mucopolysaccharidoses.黏多糖贮积症的放射学和神经放射学表现。
J Pediatr Rehabil Med. 2010;3(2):109-18. doi: 10.3233/PRM-2010-0115.
9
Brain and spine MRI features of Hunter disease: frequency, natural evolution and response to therapy.亨特病的脑和脊柱 MRI 特征:频率、自然演变和治疗反应。
J Inherit Metab Dis. 2011 Jun;34(3):763-80. doi: 10.1007/s10545-011-9317-5. Epub 2011 Apr 5.
10
Clinical outcome of cerebrospinal fluid shunting for communicating hydrocephalus in mucopolysaccharidoses I, II, and III: a retrospective analysis of 13 patients.黏多糖贮积症 I、II、III 型交通性脑积水行脑脊液分流术的临床疗效:13 例回顾性分析。
Neurosurgery. 2010 Dec;67(6):1476-81; discussion 1481-2. doi: 10.1227/NEU.0b013e3181f8c11d.