Suppr超能文献

一例伴有高度肾充血的肝肾综合征和腹腔间隔室综合征

A Case of Hepatorenal Syndrome and Abdominal Compartment Syndrome with High Renal Congestion.

作者信息

Kamimura Hiroteru, Watanabe Takayuki, Sugano Tomoyuki, Nakajima Nao, Yokoyama Junji, Kamimura Kenya, Tsuchiya Atsunori, Takamura Masaaki, Kawai Hirokazu, Kato Takashi, Watanabe Gen, Yamagiwa Satoshi, Terai Shuji

机构信息

Division of Gastroenterology and Hepatology, Niigata University Graduate School of Medical and Dental Sciences, Niigata City, Niigata, Japan.

Division of Molecular and Diagnostic Pathology, Niigata University Graduate School of Medical and Dental Sciences, Niigata City, Niigata, Japan.

出版信息

Am J Case Rep. 2017 Sep 18;18:1000-1004. doi: 10.12659/ajcr.904663.

Abstract

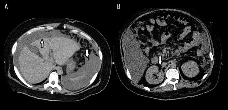
BACKGROUND Hepatorenal syndrome (HRS) is a reversible renal impairment that occurs in patients with acute liver failure and advanced liver cirrhosis. HRS is due to a renal vasoconstriction that results from extreme vasodilatation. It is therefore a functional disorder, not associated with structural kidney damage. On the other hand, end-stage liver diseases are often complicated by massive ascites. Massive ascites may cause abdominal compartment syndrome (ACS), which includes impairment of renal blood flow, but there are no reports indicating that kidney lesions caused by ACS may pathologically contribute to end-stage liver diseases. CASE REPORT A 40-year-old man with acute liver failure was admitted to our hospital. He was diagnosed with type 1 HRS and showed ACS at the same time. He died 30 days after admission. There were signs of congestion in the kidneys upon dissection and advanced erythroid fullness in the renal tubules. CONCLUSIONS We report an autopsy case with HRS and ACS diagnosed with a clinical and histopathological consideration of liver and kidney. Further clinical studies are needed to improve management of renal failure in patients with acute liver failure and advanced liver cirrhosis.

摘要

背景 肝肾综合征(HRS)是一种发生于急性肝衰竭和晚期肝硬化患者的可逆性肾功能损害。HRS是由极度血管扩张导致的肾血管收缩引起的。因此,它是一种功能性障碍,与肾脏结构损伤无关。另一方面,终末期肝病常并发大量腹水。大量腹水可能导致腹腔间隔室综合征(ACS),其中包括肾血流受损,但尚无报告表明ACS引起的肾脏病变在病理上会导致终末期肝病。病例报告 一名40岁急性肝衰竭男性入住我院。他被诊断为1型HRS,同时伴有ACS。入院30天后死亡。解剖时肾脏有充血迹象,肾小管有晚期红细胞充盈。结论 我们报告了一例经临床及肝脏和肾脏组织病理学检查确诊为HRS和ACS的尸检病例。需要进一步的临床研究来改善急性肝衰竭和晚期肝硬化患者肾衰竭的管理。

https://cdn.ncbi.nlm.nih.gov/pmc/blobs/24e0/5616135/d41f044bab04/amjcaserep-18-1000-g001.jpg

文献AI研究员

20分钟写一篇综述,助力文献阅读效率提升50倍。

立即体验

用中文搜PubMed

大模型驱动的PubMed中文搜索引擎

马上搜索

文档翻译

学术文献翻译模型,支持多种主流文档格式。

立即体验