Suppr超能文献

金属对金属全髋关节置换术后的致命性钴中毒

Fatal Cobalt Toxicity after a Non-Metal-on-Metal Total Hip Arthroplasty.

作者信息

Peters Rinne M, Willemse Pax, Rijk Paul C, Hoogendoorn Mels, Zijlstra Wierd P

机构信息

Department of Orthopedic Surgery, Medical Center Leeuwarden, Henri Dunantweg 2, 8934 AD Leeuwarden, Netherlands.

Department of Internal Medicine, Medical Center Leeuwarden, Henri Dunantweg 2, 8934 AD Leeuwarden, Netherlands.

出版信息

Case Rep Orthop. 2017;2017:9123684. doi: 10.1155/2017/9123684. Epub 2017 Aug 27.

Abstract

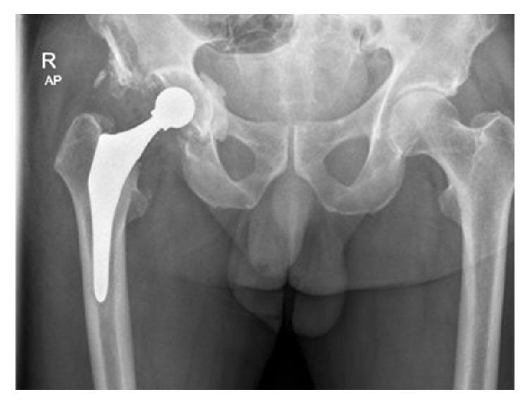
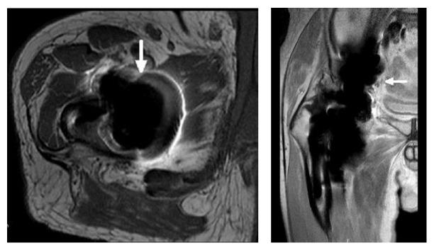
This case illustrates the potential for systemic cobalt toxicity in non-metal-on-metal bearings and its potentially devastating consequences. We present a 71-year-old male with grinding sensations in his right hip following ceramic-on-ceramic total hip arthroplasty (THA). After diagnosing a fractured ceramic liner, the hip prosthesis was revised into a metal-on-polyethylene bearing. At one year postoperatively, X-rays and MARS-MRI showed a fixed reversed hybrid THA, with periarticular densities, flattening of the femoral head component, and a pattern of periarticular metal wear debris and pseudotumor formation. Before revision could take place, the patient was admitted with the clinical picture of systemic cobalt toxicity, supported by excessively high serum cobalt and chromium levels, and ultimately died. At autopsy dilated cardiomyopathy as cause of death was hypothesized. A third body wear reaction between ceramic remnants and the metal femoral head very likely led to excessive metal wear, which contributed systemic cobalt toxicity leading to neurotoxicity and heart failure. This case emphasizes that fractured ceramic-on-ceramic bearings should be revised to ceramic-on-ceramic or ceramic-on-polyethylene bearings, but not to metal-on-polyethylene bearings. We aim to increase awareness among orthopedic surgeons for clinical clues for systemic cobalt intoxication, even when there is no metal-on-metal bearing surface.

摘要

该病例说明了在非金属对金属轴承中发生全身钴中毒的可能性及其潜在的灾难性后果。我们报告一名71岁男性,在接受陶瓷对陶瓷全髋关节置换术(THA)后右髋出现磨削感。在诊断为陶瓷内衬骨折后,将髋关节假体翻修为金属对聚乙烯轴承。术后一年,X线和MARS-MRI显示为固定的反向混合型THA,有关节周围密度、股骨头部件扁平,以及关节周围金属磨损碎片和假肿瘤形成的表现。在进行翻修之前,患者因全身钴中毒的临床表现入院,血清钴和铬水平过高支持了这一诊断,最终患者死亡。尸检推测死亡原因是扩张型心肌病。陶瓷残余物与金属股骨头之间的三体磨损反应很可能导致了过度的金属磨损,这导致了全身钴中毒,进而导致神经毒性和心力衰竭。该病例强调,陶瓷对陶瓷轴承骨折应翻修为陶瓷对陶瓷或陶瓷对聚乙烯轴承,而不应翻修为金属对聚乙烯轴承。我们旨在提高骨科医生对全身钴中毒临床线索的认识,即使不存在金属对金属轴承表面。

https://cdn.ncbi.nlm.nih.gov/pmc/blobs/bcf2/5591987/1055612d4aa8/CRIOR2017-9123684.001.jpg

文献AI研究员

20分钟写一篇综述,助力文献阅读效率提升50倍。

立即体验

用中文搜PubMed

大模型驱动的PubMed中文搜索引擎

马上搜索

文档翻译

学术文献翻译模型,支持多种主流文档格式。

立即体验