Endrikat Jan, Anzalone Nicoletta
Radiology, Bayer AG, Berlin, Germany.
Department of Gynecology, Obstetrics and Reproductive Medicine, University Medical School of Saarland, Homburg, Germany.
Magn Reson Insights. 2017 Sep 11;10:1178623X17730048. doi: 10.1177/1178623X17730048. eCollection 2017.
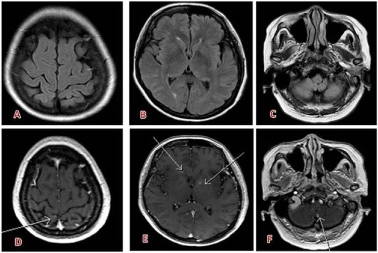
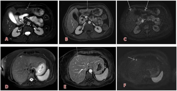
Gadobutrol is a gadolinium (Gd)-based contrast agent for magnetic resonance imaging (MRI). In India, gadobutrol is approved for MRI of the central nervous system (CNS), liver, kidneys, breast and for MR angiography for patients 2 years and older. The standard dose for all age groups is 0.1 mmol/kg body weight. The safety profile has been demonstrated in 42 clinical phase 2 to 4 studies (>6800 patients), 7 observational studies, and by assessing pharmacovigilance data of 29 million applications. Furthermore, studies in children, adults, and elderly and in patients with impaired liver or kidney function did not show any increased adverse event rate. Diagnostic efficacy was demonstrated in numerous studies and various indications, such as diseases of the CNS, peripheral and supra-aortic vessels, kidneys, liver, and breast.
钆布醇是一种用于磁共振成像(MRI)的基于钆(Gd)的造影剂。在印度,钆布醇被批准用于2岁及以上患者的中枢神经系统(CNS)、肝脏、肾脏、乳腺的MRI检查以及磁共振血管造影。所有年龄组的标准剂量为0.1 mmol/kg体重。在42项2期至4期临床研究(>6800例患者)、7项观察性研究以及通过评估2900万份用药的药物警戒数据中均已证明了其安全性。此外,在儿童成人、老年人以及肝肾功能受损患者中进行的研究并未显示不良事件发生率有任何增加。在众多研究以及各种适应症(如中枢神经系统疾病、外周和主动脉上血管疾病、肾脏疾病、肝脏疾病和乳腺疾病)中均证实了其诊断效能。