• 文献检索
  • 文档翻译
  • 深度研究
  • 学术资讯
  • Suppr Zotero 插件Zotero 插件
  • 邀请有礼
  • 套餐&价格
  • 历史记录
应用&插件
Suppr Zotero 插件Zotero 插件浏览器插件Mac 客户端Windows 客户端微信小程序
定价
高级版会员购买积分包购买API积分包
服务
文献检索文档翻译深度研究API 文档MCP 服务
关于我们
关于 Suppr公司介绍联系我们用户协议隐私条款
关注我们

Suppr 超能文献

核心技术专利:CN118964589B侵权必究
粤ICP备2023148730 号-1Suppr @ 2026

文献检索

告别复杂PubMed语法,用中文像聊天一样搜索,搜遍4000万医学文献。AI智能推荐,让科研检索更轻松。

立即免费搜索

文件翻译

保留排版,准确专业,支持PDF/Word/PPT等文件格式,支持 12+语言互译。

免费翻译文档

深度研究

AI帮你快速写综述,25分钟生成高质量综述,智能提取关键信息,辅助科研写作。

立即免费体验

药物洗脱支架植入术后早期发生巨大冠状动脉瘤1例:一种不可预测的威胁。

A case of early development of giant coronary artery aneurysms after drug-eluting stents implantation: An unpredictable menace.

作者信息

Gadepalli Ramesh, Rayidi Gopikrishna, Pramod Gururaj, Srivastava Shashi K, Venkata Balakrishna Sai Nyayapathi

机构信息

Department of Cardiology, Yashoda Hospital, Secunderabad, Telangana, India.

出版信息

Interv Med Appl Sci. 2017 Mar;9(1):47-50. doi: 10.1556/1646.9.2017.1.10.

DOI:10.1556/1646.9.2017.1.10
PMID:28932496
原文链接:https://pmc.ncbi.nlm.nih.gov/articles/PMC5598122/
Abstract

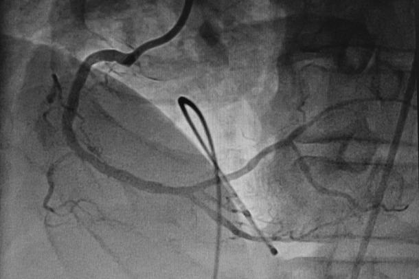
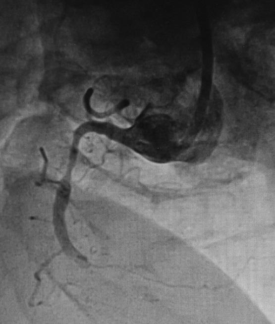
Development of coronary artery aneurysm (CAA) after implantation of drug-eluting stent is occasionally observed. We present a case of a 67-year-old man who underwent everolimus-eluting stent (EES) implantation in right coronary artery (RCA) for inferior wall myocardial infarction, and thereafter, giant CAAs were developed in the vessel of stent deployment, within 2 months. However, the patient was managed with coronary artery bypass grafting (CABG). On follow-up, the patient's condition was stable. To the best of our knowledge, we report the first case of occurrence of EES-associated giant CAAs in RCA subsequently treated with CABG.

摘要

药物洗脱支架植入后偶尔会观察到冠状动脉瘤(CAA)的发生。我们报告一例67岁男性患者,其因下壁心肌梗死在右冠状动脉(RCA)植入依维莫司洗脱支架(EES),此后在支架置入血管内2个月内出现巨大CAA。然而,该患者接受了冠状动脉旁路移植术(CABG)治疗。随访时,患者病情稳定。据我们所知,我们报告了首例RCA中发生EES相关巨大CAA并随后接受CABG治疗的病例。

https://cdn.ncbi.nlm.nih.gov/pmc/blobs/75c8/5598122/19f59c38aa26/imas-09-01-47_f004.jpg
https://cdn.ncbi.nlm.nih.gov/pmc/blobs/75c8/5598122/fa98efb3eaae/imas-09-01-47_f001.jpg
https://cdn.ncbi.nlm.nih.gov/pmc/blobs/75c8/5598122/bd9775b5ff03/imas-09-01-47_f002.jpg
https://cdn.ncbi.nlm.nih.gov/pmc/blobs/75c8/5598122/d52575648604/imas-09-01-47_f003.jpg
https://cdn.ncbi.nlm.nih.gov/pmc/blobs/75c8/5598122/19f59c38aa26/imas-09-01-47_f004.jpg
https://cdn.ncbi.nlm.nih.gov/pmc/blobs/75c8/5598122/fa98efb3eaae/imas-09-01-47_f001.jpg
https://cdn.ncbi.nlm.nih.gov/pmc/blobs/75c8/5598122/bd9775b5ff03/imas-09-01-47_f002.jpg
https://cdn.ncbi.nlm.nih.gov/pmc/blobs/75c8/5598122/d52575648604/imas-09-01-47_f003.jpg
https://cdn.ncbi.nlm.nih.gov/pmc/blobs/75c8/5598122/19f59c38aa26/imas-09-01-47_f004.jpg

相似文献

1
A case of early development of giant coronary artery aneurysms after drug-eluting stents implantation: An unpredictable menace.药物洗脱支架植入术后早期发生巨大冠状动脉瘤1例:一种不可预测的威胁。
Interv Med Appl Sci. 2017 Mar;9(1):47-50. doi: 10.1556/1646.9.2017.1.10.
2
Efficacy of everolimus-eluting stent implantation in patients with small coronary arteries (≤2.5 mm): outcomes of 3-year clinical follow-up.依维莫司洗脱支架植入术在小冠状动脉(≤2.5毫米)患者中的疗效:3年临床随访结果
Heart Vessels. 2017 Jul;32(7):796-803. doi: 10.1007/s00380-016-0937-4. Epub 2016 Dec 26.
3
Long-term clinical outcomes after coronary artery bypass graft versus everolimus-eluting stent implantation in chronic hemodialysis patients.慢性血液透析患者冠状动脉旁路移植术与依维莫司洗脱支架植入术后的长期临床结局
Coron Artery Dis. 2018 Sep;29(6):489-494. doi: 10.1097/MCA.0000000000000628.
4
A clinical and angiographic study of the XIENCE V everolimus-eluting coronary stent system in the treatment of patients with multivessel coronary artery disease: the EXECUTIVE trial (EXecutive RCT: evaluating XIENCE V in a multi vessel disease).XIENCE V 依维莫司洗脱冠状动脉支架系统治疗多支冠状动脉疾病患者的临床和血管造影研究:EXECUTIVE 试验(EXecutive RCT:评估 XIENCE V 在多支血管疾病中的应用)。
JACC Cardiovasc Interv. 2013 Oct;6(10):1012-22. doi: 10.1016/j.jcin.2013.05.016. Epub 2013 Sep 18.
5
Three-Year Clinical and Angiographic Outcomes After Everolimus-Eluting Stent Implantation in Patients With a History of Coronary Artery Bypass Grafting.既往有冠状动脉旁路移植术病史患者植入依维莫司洗脱支架后的三年临床和血管造影结果
Int Heart J. 2016;57(2):158-66. doi: 10.1536/ihj.15-312. Epub 2016 Mar 11.
6
A randomized comparison of platinum chromium-based everolimus-eluting stents versus cobalt chromium-based Zotarolimus-Eluting stents in all-comers receiving percutaneous coronary intervention: HOST-ASSURE (harmonizing optimal strategy for treatment of coronary artery stenosis-safety & effectiveness of drug-eluting stents & anti-platelet regimen), a randomized, controlled, noninferiority trial.随机比较全人群经皮冠状动脉介入治疗中使用基于铂铬的依维莫司洗脱支架与基于钴铬的佐他莫司洗脱支架:HOST-ASSURE(优化治疗冠状动脉狭窄策略的协调性研究-药物洗脱支架和抗血小板方案的安全性和有效性),一项随机、对照、非劣效性试验。
J Am Coll Cardiol. 2014 Jul 1;63(25 Pt A):2805-16. doi: 10.1016/j.jacc.2014.04.013. Epub 2014 May 7.
7
Meta-analysis of everolimus-eluting versus paclitaxel-eluting stents in coronary artery disease: final 3-year results of the SPIRIT clinical trials program (Clinical Evaluation of the Xience V Everolimus Eluting Coronary Stent System in the Treatment of Patients With De Novo Native Coronary Artery Lesions).在冠状动脉疾病中,依维莫司洗脱支架与紫杉醇洗脱支架的荟萃分析:SPIRIT 临床试验计划的最终 3 年结果(在治疗新发病变的患者中,使用依维莫司洗脱冠状动脉支架系统治疗的西里斯 V 依维莫司洗脱冠状动脉支架系统的临床评估)。
JACC Cardiovasc Interv. 2013 Sep;6(9):914-22. doi: 10.1016/j.jcin.2013.05.005.
8
Zotarolimus- versus everolimus-eluting stents for unprotected left main coronary artery disease.无保护左主干冠状动脉疾病中使用佐他莫司洗脱支架与依维莫司洗脱支架的比较。
J Am Coll Cardiol. 2013 Dec 3;62(22):2075-82. doi: 10.1016/j.jacc.2013.07.044. Epub 2013 Aug 21.
9
Randomized comparison of everolimus-eluting and paclitaxel-eluting stents: two-year clinical follow-up from the Clinical Evaluation of the Xience V Everolimus Eluting Coronary Stent System in the Treatment of Patients with de novo Native Coronary Artery Lesions (SPIRIT) III trial.依维莫司洗脱支架与紫杉醇洗脱支架的随机对照比较:来自Xience V依维莫司洗脱冠状动脉支架系统治疗初发原发性冠状动脉病变患者的临床评估(SPIRIT)III试验的两年临床随访
Circulation. 2009 Feb 10;119(5):680-6. doi: 10.1161/CIRCULATIONAHA.108.803528. Epub 2009 Jan 26.
10
Coronary Artery Aneurysm after Second-Generation Drug-Eluting Stent Implantation.第二代药物洗脱支架植入术后冠状动脉瘤。
Yonsei Med J. 2019 Sep;60(9):824-831. doi: 10.3349/ymj.2019.60.9.824.

引用本文的文献

1
Long-Term Outcomes of Conservative Versus Invasive Approach of Coronary Aneurysm.冠状动脉瘤保守治疗与侵入性治疗的长期结果
Rev Cardiovasc Med. 2022 Aug 10;23(8):281. doi: 10.31083/j.rcm2308281. eCollection 2022 Aug.
2
Coronary artery aneurysm: A review.冠状动脉瘤:综述
World J Cardiol. 2021 Sep 26;13(9):446-455. doi: 10.4330/wjc.v13.i9.446.
3
Very Early Coronary Artery Aneurysm After Primary Percutaneous Coronary Intervention in Patient With HIV and Thrombophilia.HIV与血栓形成倾向患者经皮冠状动脉介入治疗后极早期冠状动脉瘤

本文引用的文献

1
High prevalence of coronary artery events and non-coronary events in patients with coronary artery aneurysm in the observational group.观察组中冠状动脉瘤患者冠状动脉事件和非冠状动脉事件的高发生率。
Int J Cardiol Heart Vasc. 2015 Oct 22;10:29-31. doi: 10.1016/j.ijcha.2015.10.005. eCollection 2016 Mar.
2
Left Main Coronary Artery Aneurysm.左冠状动脉动脉瘤
J Tehran Heart Cent. 2016 Jan 13;11(1):41-5.
3
Giant coronary artery aneurysms: review and update.巨大冠状动脉瘤:综述与更新
Cardiol Res. 2019 Oct;10(5):312-317. doi: 10.14740/cr907. Epub 2019 Oct 4.
Tex Heart Inst J. 2014 Dec 1;41(6):603-8. doi: 10.14503/THIJ-13-3896. eCollection 2014 Dec.
4
Early aneurysm formation after everolimus-eluting stent implantation.依维莫司洗脱支架植入术后早期动脉瘤形成。
Circ Cardiovasc Interv. 2014 Apr;7(2):266-7. doi: 10.1161/CIRCINTERVENTIONS.113.000945.
5
A novel platinum chromium everolimus-eluting stent for the treatment of coronary artery disease.一种用于治疗冠状动脉疾病的新型铂铬依维莫司洗脱支架。
Biologics. 2013;7:149-59. doi: 10.2147/BTT.S34939. Epub 2013 Jun 19.
6
Coronary artery aneurysm after implantation of an endothelial progenitor cell capturing stent.植入内皮祖细胞捕获支架后发生冠状动脉瘤。
Kardiol Pol. 2012;70(6):641-4.
7
Coronary artery aneurysm can occur in drug eluting stents: is plaque composition important?
Hellenic J Cardiol. 2011 Nov-Dec;52(6):538-40.
8
Position dependent right ventricular dysfunction caused by a giant right coronary artery aneurysm.位置依赖性右心室功能障碍由巨大右冠状动脉瘤引起。
Wien Klin Wochenschr. 2011 Jan;123(1-2):58-60. doi: 10.1007/s00508-010-1516-9. Epub 2011 Jan 21.
9
Multiple giant coronary artery aneurysms.多发性巨大冠状动脉瘤
Tex Heart Inst J. 2009;36(3):244-6.
10
Coronary artery aneurysms after drug-eluting stent implantation.药物洗脱支架植入术后冠状动脉瘤
JACC Cardiovasc Interv. 2008 Feb;1(1):14-21. doi: 10.1016/j.jcin.2007.10.004.