• 文献检索
  • 文档翻译
  • 深度研究
  • 学术资讯
  • Suppr Zotero 插件Zotero 插件
  • 邀请有礼
  • 套餐&价格
  • 历史记录
应用&插件
Suppr Zotero 插件Zotero 插件浏览器插件Mac 客户端Windows 客户端微信小程序
定价
高级版会员购买积分包购买API积分包
服务
文献检索文档翻译深度研究API 文档MCP 服务
关于我们
关于 Suppr公司介绍联系我们用户协议隐私条款
关注我们

Suppr 超能文献

核心技术专利:CN118964589B侵权必究
粤ICP备2023148730 号-1Suppr @ 2026

文献检索

告别复杂PubMed语法,用中文像聊天一样搜索,搜遍4000万医学文献。AI智能推荐,让科研检索更轻松。

立即免费搜索

文件翻译

保留排版,准确专业,支持PDF/Word/PPT等文件格式,支持 12+语言互译。

免费翻译文档

深度研究

AI帮你快速写综述,25分钟生成高质量综述,智能提取关键信息,辅助科研写作。

立即免费体验

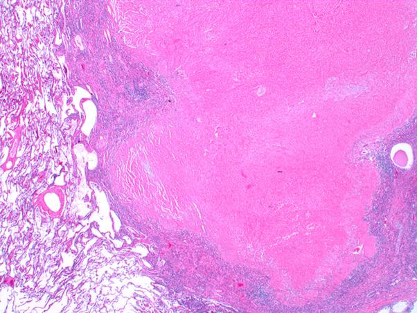
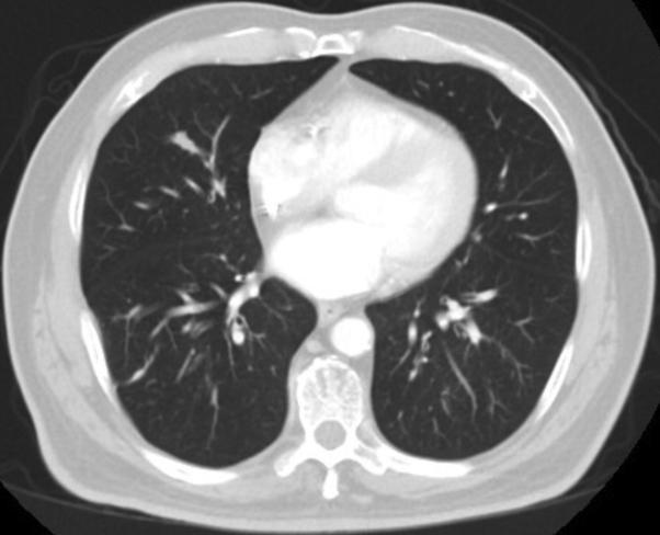
Complete pathologic response of metastatic cutaneous squamous cell carcinoma and allograft rejection after treatment with combination immune checkpoint blockade.

作者信息

Miller David M, Faulkner-Jones Beverly E, Stone James R, Drews Reed E

机构信息

Division of Hematology/Oncology, Beth Israel Deaconess Medical Center, Boston, Massachusetts.

Department of Dermatology, Massachusetts General Hospital, Boston, Massachusetts.

出版信息

JAAD Case Rep. 2017 Sep 8;3(5):412-415. doi: 10.1016/j.jdcr.2017.06.005. eCollection 2017 Sep.

DOI:10.1016/j.jdcr.2017.06.005
PMID:28932782
原文链接:https://pmc.ncbi.nlm.nih.gov/articles/PMC5594230/
Abstract
摘要
https://cdn.ncbi.nlm.nih.gov/pmc/blobs/7b32/5594230/bd96c3ef80de/gr4.jpg
https://cdn.ncbi.nlm.nih.gov/pmc/blobs/7b32/5594230/838b6b4c1df1/gr1.jpg
https://cdn.ncbi.nlm.nih.gov/pmc/blobs/7b32/5594230/f23353347c8e/gr2.jpg
https://cdn.ncbi.nlm.nih.gov/pmc/blobs/7b32/5594230/c2cfcf13757b/gr3.jpg
https://cdn.ncbi.nlm.nih.gov/pmc/blobs/7b32/5594230/bd96c3ef80de/gr4.jpg
https://cdn.ncbi.nlm.nih.gov/pmc/blobs/7b32/5594230/838b6b4c1df1/gr1.jpg
https://cdn.ncbi.nlm.nih.gov/pmc/blobs/7b32/5594230/f23353347c8e/gr2.jpg
https://cdn.ncbi.nlm.nih.gov/pmc/blobs/7b32/5594230/c2cfcf13757b/gr3.jpg
https://cdn.ncbi.nlm.nih.gov/pmc/blobs/7b32/5594230/bd96c3ef80de/gr4.jpg

相似文献

1
Complete pathologic response of metastatic cutaneous squamous cell carcinoma and allograft rejection after treatment with combination immune checkpoint blockade.联合免疫检查点阻断治疗后转移性皮肤鳞状细胞癌的完全病理缓解及同种异体移植排斥反应
JAAD Case Rep. 2017 Sep 8;3(5):412-415. doi: 10.1016/j.jdcr.2017.06.005. eCollection 2017 Sep.
2
Nivolumab plus ipilimumab versus sunitinib in previously untreated advanced renal-cell carcinoma: analysis of Japanese patients in CheckMate 214 with extended follow-up.纳武利尤单抗联合伊匹单抗对比舒尼替尼用于既往未治疗的晚期肾细胞癌:CheckMate 214 研究中日本患者的分析结果,随访时间延长。
Jpn J Clin Oncol. 2020 Jan 24;50(1):12-19. doi: 10.1093/jjco/hyz132.
3
Nivolumab Plus Ipilimumab in Patients With Advanced Melanoma: Updated Survival, Response, and Safety Data in a Phase I Dose-Escalation Study.纳武利尤单抗联合伊匹单抗治疗晚期黑色素瘤:I 期剂量递增研究中更新的生存、缓解和安全性数据。
J Clin Oncol. 2018 Feb 1;36(4):391-398. doi: 10.1200/JCO.2017.72.2850. Epub 2017 Oct 17.
4
Association of Tumor Microenvironment T-cell Repertoire and Mutational Load with Clinical Outcome after Sequential Checkpoint Blockade in Melanoma.肿瘤微环境 T 细胞 repertoire 与突变负荷与黑色素瘤序贯检查点阻断后临床结局的相关性。
Cancer Immunol Res. 2019 Mar;7(3):458-465. doi: 10.1158/2326-6066.CIR-18-0226. Epub 2019 Jan 11.
5
The Next Immune-Checkpoint Inhibitors: PD-1/PD-L1 Blockade in Melanoma.下一代免疫检查点抑制剂:黑色素瘤中的PD-1/PD-L1阻断
Clin Ther. 2015 Apr 1;37(4):764-82. doi: 10.1016/j.clinthera.2015.02.018. Epub 2015 Mar 29.
6
Dual Checkpoint Inhibition with Ipilimumab plus Nivolumab After Progression on Sequential PD-1/PDL-1 Inhibitors Pembrolizumab and Atezolizumab in a Patient with Lynch Syndrome, Metastatic Colon, and Localized Urothelial Cancer.在林奇综合征、转移性结肠和局部尿路上皮癌患者中,在接受序贯 PD-1/PDL-1 抑制剂派姆单抗和阿特珠单抗治疗后进展的情况下,使用伊匹单抗加纳武单抗进行双重检查点抑制。
Oncologist. 2019 Nov;24(11):1416-1419. doi: 10.1634/theoncologist.2018-0686. Epub 2019 Aug 23.
7
Checkpoint inhibitors in chronic kidney failure and an organ transplant recipient.慢性肾衰竭及器官移植受者中的检查点抑制剂
Eur J Cancer. 2016 Nov;67:66-72. doi: 10.1016/j.ejca.2016.07.026. Epub 2016 Sep 8.
8
Rapid and sustained response to immune checkpoint inhibition in cutaneous squamous cell carcinoma after allogenic hematopoietic cell transplant for sézary syndrome.异基因造血细胞移植治疗蕈样肉芽肿后皮肤鳞状细胞癌对免疫检查点抑制的快速和持续反应。
J Immunother Cancer. 2019 Dec 4;7(1):338. doi: 10.1186/s40425-019-0801-z.
9
Efficacy and safety of concurrent immunoradiotherapy in patients with metastatic melanoma after progression on nivolumab.纳武利尤单抗治疗进展后转移性黑色素瘤患者同步免疫放疗的疗效和安全性。
Cancer Chemother Pharmacol. 2018 May;81(5):823-827. doi: 10.1007/s00280-018-3557-0. Epub 2018 Mar 3.
10
Concurrent development of high-stage cutaneous squamous cell carcinoma during complete response of metastatic cutaneous squamous cell carcinoma to programmed cell death protein 1 blockade with cemiplimab.在转移性皮肤鳞状细胞癌对西米普利单抗程序性细胞死亡蛋白1阻断完全缓解期间,同时发生高分期皮肤鳞状细胞癌。
JAAD Case Rep. 2021 Oct 20;18:23-25. doi: 10.1016/j.jdcr.2021.10.009. eCollection 2021 Dec.

引用本文的文献

1
A Retrospective Review and Comprehensive Tumour Profiling of Advanced Non-Melanomatous Cutaneous Spindle Cell Neoplasms Treated with Immune-Checkpoint Inhibitors.免疫检查点抑制剂治疗晚期非黑素性皮肤梭形细胞瘤的回顾性研究与全面肿瘤分析
Cancers (Basel). 2024 Apr 10;16(8):1452. doi: 10.3390/cancers16081452.
2
Molecular targeted therapies for cutaneous squamous cell carcinoma: recent developments and clinical implications.皮肤鳞状细胞癌的分子靶向治疗:最新进展与临床意义
EXCLI J. 2024 Feb 27;23:300-334. doi: 10.17179/excli2023-6489. eCollection 2024.
3
Update on the Molecular Pathology of Cutaneous Squamous Cell Carcinoma.

本文引用的文献

1
Preserved Renal-Allograft Function and the PD-1 Pathway Inhibitor Nivolumab.保存肾移植功能与PD-1通路抑制剂纳武单抗
N Engl J Med. 2017 Jan 12;376(2):191-192. doi: 10.1056/NEJMc1614298.
2
Programmed Death-Ligand 1 Expression and Response to the Anti-Programmed Death 1 Antibody Pembrolizumab in Melanoma.程序性死亡配体1的表达及黑色素瘤对抗程序性死亡1抗体帕博利珠单抗的反应
J Clin Oncol. 2016 Dec;34(34):4102-4109. doi: 10.1200/JCO.2016.67.2477. Epub 2016 Oct 31.
3
Fulminant Myocarditis with Combination Immune Checkpoint Blockade.暴发性心肌炎合并免疫检查点阻断治疗
皮肤鳞状细胞癌的分子病理学进展。
Int J Mol Sci. 2023 Apr 2;24(7):6646. doi: 10.3390/ijms24076646.
4
Treatment of Cutaneous Squamous Cell Carcinoma with Immune Checkpoint Inhibitors in Special Populations.特殊人群中免疫检查点抑制剂治疗皮肤鳞状细胞癌
Dermatol Pract Concept. 2021 Nov 1;11(Suppl 2):e2021170S. doi: 10.5826/dpc.11S2a170S. eCollection 2021 Nov.
5
Application of Immune Checkpoint Inhibitors in Solid Organ Transplantation Recipients: A Systematic Review.免疫检查点抑制剂在实体器官移植受者中的应用:系统评价。
Interdiscip Sci. 2021 Dec;13(4):801-814. doi: 10.1007/s12539-021-00437-4. Epub 2021 Jun 21.
6
Cancer immunotherapy in special challenging populations: recommendations of the Advisory Committee of Spanish Melanoma Group (GEM).特殊挑战性人群中的癌症免疫治疗:西班牙黑色素瘤专家组(GEM)的建议。
J Immunother Cancer. 2021 Mar;9(3). doi: 10.1136/jitc-2020-001664.
7
Immune Checkpoint Blockade in Advanced Cutaneous Squamous Cell Carcinoma: What Do We Currently Know in 2020?免疫检查点阻断在晚期皮肤鳞状细胞癌中的应用:2020 年我们对此了解多少?
Int J Mol Sci. 2020 Dec 6;21(23):9300. doi: 10.3390/ijms21239300.
8
Multidisciplinary management of locally advanced and metastatic cutaneous squamous cell carcinoma.局部晚期和转移性皮肤鳞状细胞癌的多学科管理。
Curr Oncol. 2020 Aug;27(4):e399-e407. doi: 10.3747/co.27.6015. Epub 2020 Aug 1.
9
Combination checkpoint blockade for metastatic cutaneous malignancies in kidney transplant recipients.肾移植受者转移性皮肤恶性肿瘤的联合检查点阻断治疗。
J Immunother Cancer. 2020 Jun;8(1). doi: 10.1136/jitc-2020-000908.
10
Cutaneous Squamous Cell Carcinoma: From Biology to Therapy.皮肤鳞状细胞癌:从生物学到治疗。
Int J Mol Sci. 2020 Apr 22;21(8):2956. doi: 10.3390/ijms21082956.
N Engl J Med. 2016 Nov 3;375(18):1749-1755. doi: 10.1056/NEJMoa1609214.
4
Pembrolizumab versus Chemotherapy for PD-L1-Positive Non-Small-Cell Lung Cancer.帕博利珠单抗对比化疗用于 PD-L1 阳性非小细胞肺癌。
N Engl J Med. 2016 Nov 10;375(19):1823-1833. doi: 10.1056/NEJMoa1606774. Epub 2016 Oct 8.
5
Rescue therapy with anti-programmed cell death protein 1 inhibitors of advanced cutaneous squamous cell carcinoma and basosquamous carcinoma: preliminary experience in five cases.抗程序性细胞死亡蛋白1抑制剂用于晚期皮肤鳞状细胞癌和基底鳞状细胞癌的挽救治疗:5例初步经验
Br J Dermatol. 2016 Dec;175(6):1382-1386. doi: 10.1111/bjd.14642. Epub 2016 Oct 17.
6
Tumor Regression and Allograft Rejection after Administration of Anti-PD-1.抗PD-1给药后的肿瘤消退和同种异体移植排斥反应
N Engl J Med. 2016 Mar 3;374(9):896-8. doi: 10.1056/NEJMc1509268.
7
A Case Report of Unresectable Cutaneous Squamous Cell Carcinoma Responsive to Pembrolizumab, a Programmed Cell Death Protein 1 Inhibitor.一例对程序性细胞死亡蛋白1抑制剂帕博利珠单抗敏感的不可切除皮肤鳞状细胞癌病例报告
JAMA Dermatol. 2016 Jan;152(1):106-8. doi: 10.1001/jamadermatol.2015.2705.
8
Genomic correlates of response to CTLA-4 blockade in metastatic melanoma.转移性黑色素瘤中对CTLA-4阻断反应的基因组关联
Science. 2015 Oct 9;350(6257):207-211. doi: 10.1126/science.aad0095. Epub 2015 Sep 10.
9
PD-1 Blockade in Tumors with Mismatch-Repair Deficiency.错配修复缺陷肿瘤中的程序性死亡受体-1阻断
N Engl J Med. 2015 Jun 25;372(26):2509-20. doi: 10.1056/NEJMoa1500596. Epub 2015 May 30.
10
Combined Nivolumab and Ipilimumab or Monotherapy in Untreated Melanoma.纳武利尤单抗与伊匹木单抗联合用药或单药治疗初治黑色素瘤
N Engl J Med. 2015 Jul 2;373(1):23-34. doi: 10.1056/NEJMoa1504030. Epub 2015 May 31.