Suppr超能文献

原发性中枢神经系统纤维肉瘤

Primary Central Nervous System Fibrosarcoma.

作者信息

Vinodh V P, Harun Rahmat, Sellamuthu Pulivendhan, Kandasamy Regunath

机构信息

Department of Neurosurgery, Hospital Queen Elizabeth II, Kota Kinabalu, Sabah, Malaysia.

Department of Neurosciences, School of Medical Sciences, Universiti Sains Malaysia, Kubang Kerian, Kelantan, Malaysia.

出版信息

J Neurosci Rural Pract. 2017 Aug;8(Suppl 1):S111-S113. doi: 10.4103/jnrp.jnrp_165_17.

Abstract

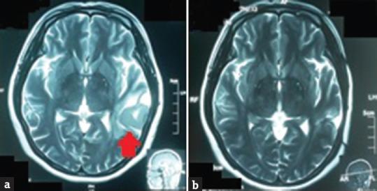
We report a rare case of a young female with primary brain fibrosarcoma, and to the best of our knowledge, we believe that only <50 cases have been reported or described worldwide so far. Fibrosarcoma is a malignant neoplasm, in which histologically the predominant cells are fibroblasts that divide excessively without cellular control and they can invade local tissues or metastasize. Primary central nervous system fibrosarcomas are very aggressive neoplasms and generally have a poor prognosis. This tumor is either from sarcomatous transformation of a meningioma or arises within the brain parenchyma. Our patient, a 48-year-old woman, who presented with progressive speech disorder over the period of 4 months, showed a left temporoparietal lesion with surrounding edema and local mass effect. Total surgical resection was achieved. Histopathology revealed classical fibrosarcoma features and secondary screening revealed no other distant lesion as diagnosis of primary brain fibrosarcoma was established. This case is deemed to be extremely rare because most reports claim that recurrence is within 6 months with poor prognosis; however, this patient is currently recurrence-free at 3 years. This would suggest of the possibility for a relook into this disease's course and recurrence rate when complete excision is achieved. Due to extreme rarity of these tumors, more comparative studies will be needed to improve the disease outcome.

摘要

我们报告了一例罕见的原发性脑纤维肉瘤年轻女性病例,据我们所知,到目前为止,全球仅报告或描述了不到50例。纤维肉瘤是一种恶性肿瘤,从组织学上看,主要细胞是成纤维细胞,它们不受细胞控制地过度分裂,可侵犯局部组织或发生转移。原发性中枢神经系统纤维肉瘤是极具侵袭性的肿瘤,通常预后较差。这种肿瘤要么是脑膜瘤的肉瘤样转化,要么起源于脑实质内。我们的患者是一名48岁女性,在4个月内出现进行性言语障碍,表现为左颞顶叶病变,伴有周围水肿和局部占位效应。实现了肿瘤全切。组织病理学显示为典型的纤维肉瘤特征,二次筛查未发现其他远处病变,从而确诊为原发性脑纤维肉瘤。该病例被认为极为罕见,因为大多数报告称复发在6个月内,预后较差;然而,该患者目前3年无复发。这表明在实现完全切除后,有可能重新审视这种疾病的病程和复发率。由于这些肿瘤极为罕见,需要更多的对比研究来改善疾病的治疗结果。

https://cdn.ncbi.nlm.nih.gov/pmc/blobs/5f92/5602233/1920b0f6cffe/JNRP-8-111-g001.jpg

文献检索

告别复杂PubMed语法,用中文像聊天一样搜索,搜遍4000万医学文献。AI智能推荐,让科研检索更轻松。

立即免费搜索

文件翻译

保留排版,准确专业,支持PDF/Word/PPT等文件格式,支持 12+语言互译。

免费翻译文档

深度研究

AI帮你快速写综述,25分钟生成高质量综述,智能提取关键信息,辅助科研写作。

立即免费体验