Suppr超能文献

一例罕见的神经性腭部肿胀病例。

An unusual case of neural palatal swelling.

作者信息

Poonja Preethi A, Sattur Atul P, Burde Krishna N, Hallikeri Kaveri, Anehosur Venkatesh S

机构信息

Department of Oral Medicine and Radiology, SDM College of Dental Sciences and Hospital, Sattur, Dharwad, Karnataka, India.

Department of Oral Pathology, SDM College of Dental Sciences and Hospital, Sattur, Dharwad, Karnataka, India.

出版信息

Int J Health Sci (Qassim). 2017 Jul-Sep;11(3):71-73.

Abstract

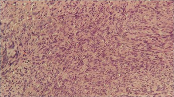
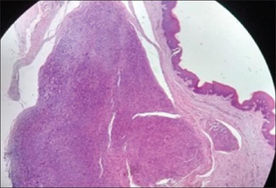
Neural tumors in the oral cavity occur both in the soft tissues and in the jaw bones. They occur as painless, smooth surface swelling in the soft tissues of the mouth, exhibiting a slow rate of growth and mild expansion of the cortical plates. Here, we report a rare case of a cellular variant of schwannoma in a young Indian female patient who presented with an asymptomatic nodule in the mid-palatine raphe region of the hard palate, mimicking a fibroma, thus creating a dilemma in the diagnosis.

摘要

口腔中的神经肿瘤可发生于软组织和颌骨。它们表现为口腔软组织中无痛、表面光滑的肿胀,生长速度缓慢,皮质板轻度扩张。在此,我们报告一例罕见病例,一名年轻的印度女性患者患有细胞型施万细胞瘤,该患者硬腭中缝区域出现无症状结节,类似纤维瘤,从而在诊断上造成了两难局面。

https://cdn.ncbi.nlm.nih.gov/pmc/blobs/a2ba/5604264/8aacc677cdd5/IJHS-11-71-g001.jpg

文献AI研究员

20分钟写一篇综述,助力文献阅读效率提升50倍。

立即体验

用中文搜PubMed

大模型驱动的PubMed中文搜索引擎

马上搜索

文档翻译

学术文献翻译模型,支持多种主流文档格式。

立即体验