Suppr超能文献

血小板内皮细胞黏附分子增加人成纤维细胞的迁移并影响内皮细胞网络形成:癌症相关成纤维细胞在乳腺癌进展中的可能作用。

Podoplanin increases the migration of human fibroblasts and affects the endothelial cell network formation: A possible role for cancer-associated fibroblasts in breast cancer progression.

作者信息

Suchanski Jaroslaw, Tejchman Anna, Zacharski Maciej, Piotrowska Aleksandra, Grzegrzolka Jedrzej, Chodaczek Grzegorz, Nowinska Katarzyna, Rys Janusz, Dziegiel Piotr, Kieda Claudine, Ugorski Maciej

机构信息

Department of Biochemistry and Molecular Biology, Faculty of Veterinary Medicine, Wroclaw University of Environmental and Life Sciences, Wroclaw, Poland.

Laboratory of Glycobiology, Ludwik Hirszfeld Institute of Immunology and Experimental Therapy, Polish Academy of Sciences, Wroclaw, Poland.

出版信息

PLoS One. 2017 Sep 22;12(9):e0184970. doi: 10.1371/journal.pone.0184970. eCollection 2017.

Abstract

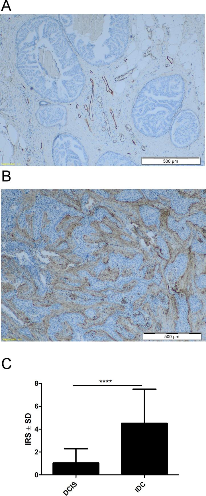
In our previous studies we showed that in breast cancer podoplanin-positive cancer-associated fibroblasts correlated positively with tumor size, grade of malignancy, lymph node metastasis, lymphovascular invasion and poor patients' outcome. Therefore, the present study was undertaken to assess if podoplanin expressed by fibroblasts can affect malignancy-associated properties of breast cancer cells. Human fibroblastic cell lines (MSU1.1 and Hs 578Bst) overexpressing podoplanin and control fibroblasts were co-cultured with breast cancer MDA-MB-231 and MCF7 cells and the impact of podoplanin expressed by fibroblasts on migration and invasiveness of breast cancer cells were studied in vitro. Migratory and invasive properties of breast cancer cells were not affected by the presence of podoplanin on the surface of fibroblasts. However, ectopic expression of podoplanin highly increases the migration of MSU1.1 and Hs 578Bst fibroblasts. The present study also revealed for the first time, that podoplanin expression affects the formation of pseudo tubes by endothelial cells. When human HSkMEC cells were co-cultured with podoplanin-rich fibroblasts the endothelial cell capillary-like network was characterized by significantly lower numbers of nodes and meshes than in co-cultures of endothelial cells with podoplanin-negative fibroblasts. The question remains as to how our experimental data can be correlated with previous clinical data showing an association between the presence of podoplanin-positive cancer-associated fibroblasts and progression of breast cancer. Therefore, we propose that expression of podoplanin by fibroblasts facilitates their movement into the tumor stroma, which creates a favorable microenvironment for tumor progression by increasing the number of cancer-associated fibroblasts, which produce numerous factors affecting proliferation, survival and invasion of cancer cells. In accordance with this, the present study revealed for the first time, that such podoplanin-mediated effects can affect tube formation by endothelial cells and participate in their pathological properties in the tumor context. Our experimental data were supported by clinical studies. First, when IDC and DCIS were analyzed by immunohistochemistry according to the presence of podoplanin-expressing cells, the numbers of cancer-associated fibroblasts with high expression of this glycoprotein were significantly higher in IDC than in DCIS cases. Second, using immunofluorescence, the co-localization of PDPN-positive CAFs with blood vessels stained with antibody directed against CD34 was observed in tumor stroma of IDC samples.

摘要

在我们之前的研究中,我们发现乳腺癌中波形蛋白聚糖阳性的癌症相关成纤维细胞与肿瘤大小、恶性程度、淋巴结转移、淋巴管浸润以及患者的不良预后呈正相关。因此,本研究旨在评估成纤维细胞表达的波形蛋白聚糖是否会影响乳腺癌细胞的恶性相关特性。将过表达波形蛋白聚糖的人成纤维细胞系(MSU1.1和Hs 578Bst)和对照成纤维细胞与乳腺癌MDA-MB-231和MCF7细胞共培养,并在体外研究成纤维细胞表达的波形蛋白聚糖对乳腺癌细胞迁移和侵袭能力的影响。成纤维细胞表面存在波形蛋白聚糖对乳腺癌细胞的迁移和侵袭特性没有影响。然而,波形蛋白聚糖的异位表达显著增加了MSU1.1和Hs 578Bst成纤维细胞的迁移能力。本研究还首次揭示,波形蛋白聚糖的表达会影响内皮细胞伪管的形成。当人HSkMEC细胞与富含波形蛋白聚糖的成纤维细胞共培养时,与波形蛋白聚糖阴性成纤维细胞共培养的内皮细胞相比,内皮细胞毛细血管样网络的节点和网孔数量明显减少。问题仍然存在,即我们的实验数据如何与之前的临床数据相关联,之前的临床数据显示波形蛋白聚糖阳性的癌症相关成纤维细胞的存在与乳腺癌进展之间存在关联。因此,我们提出成纤维细胞表达波形蛋白聚糖有助于它们向肿瘤基质移动,通过增加癌症相关成纤维细胞的数量为肿瘤进展创造有利的微环境,这些成纤维细胞会产生许多影响癌细胞增殖、存活和侵袭的因子。据此,本研究首次揭示,这种波形蛋白聚糖介导的效应会影响内皮细胞的管形成,并在肿瘤环境中参与其病理特性。我们的实验数据得到了临床研究的支持。首先,当根据波形蛋白聚糖表达细胞的存在情况通过免疫组织化学分析浸润性导管癌(IDC)和导管原位癌(DCIS)时,IDC中高表达这种糖蛋白的癌症相关成纤维细胞数量明显高于DCIS病例。其次,使用免疫荧光法,在IDC样本的肿瘤基质中观察到波形蛋白聚糖阳性的癌症相关成纤维细胞与用抗CD34抗体染色的血管共定位。

https://cdn.ncbi.nlm.nih.gov/pmc/blobs/f542/5609749/0d8211292ff5/pone.0184970.g001.jpg

文献AI研究员

20分钟写一篇综述,助力文献阅读效率提升50倍。

立即体验

用中文搜PubMed

大模型驱动的PubMed中文搜索引擎

马上搜索

文档翻译

学术文献翻译模型,支持多种主流文档格式。

立即体验