Suppr超能文献

微结节性胸腺瘤伴淋巴间质:两例报告,一例发生于多房性胸腺囊肿内,并复习文献。

Micronodular thymoma with lymphoid stroma: Two cases, one in a multilocular thymic cyst, and literature review.

机构信息

Department of Pathology, Peking University First Hospital, Beijing, China.

Department of Pathology, Peking University Third Hospital, Beijing, China.

出版信息

Thorac Cancer. 2017 Nov;8(6):734-740. doi: 10.1111/1759-7714.12517. Epub 2017 Sep 20.

Abstract

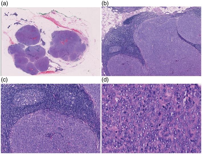
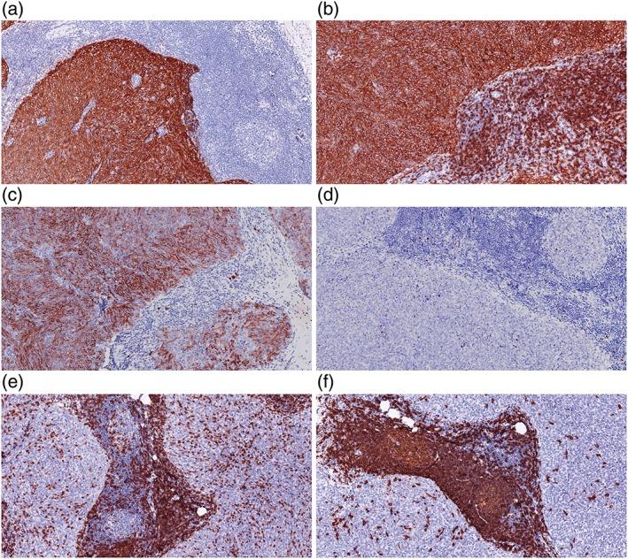
Micronodular thymoma with lymphoid stroma (MTWLS) is a rare type of thymoma that shows a similar pattern but varied morphology and immunophenotype of tumor cells. Because of the extremely limited number of cases reported, the pathology and biology of MTWLS are equivocal. Herein, we report two cases located in the anterior mediastinum: Case 1: a 58-year-old woman with a cystic mass measuring 5 × 3.0 × 2.5 cm in Mosaoka stage I; and Case 2: a 50-year-old man with a solid mass measuring 2.5 × 2.5 × 2.0 cm in stage IIb. Both patients were treated by thymectomy and are alive without recurrence or metastasis 15 and 17 months after surgery, respectively. Regardless of the spectrum of pathology and stage of MTWLS, this unique type of thymoma has a homogeneously favorable prognosis.

摘要

微结节性胸腺瘤伴淋巴间质(MTWLS)是一种罕见的胸腺瘤,其肿瘤细胞具有相似的形态,但形态和免疫表型存在差异。由于报道的病例极其有限,MTWLS 的病理学和生物学仍存在争议。在此,我们报告 2 例位于前纵隔的病例:病例 1:一名 58 岁女性,Mosaoka 分期为 I 期,囊性肿块大小为 5×3.0×2.5cm;病例 2:一名 50 岁男性,Mosaoka 分期为 IIb 期,实性肿块大小为 2.5×2.5×2.0cm。两名患者均接受了胸腺切除术,术后分别随访 15 个月和 17 个月,均无复发或转移,且存活。无论 MTWLS 的病理学范围和分期如何,这种独特类型的胸腺瘤均具有一致的良好预后。

https://cdn.ncbi.nlm.nih.gov/pmc/blobs/2def/5668509/2bde55d097c9/TCA-8-734-g002.jpg

文献AI研究员

20分钟写一篇综述,助力文献阅读效率提升50倍。

立即体验

用中文搜PubMed

大模型驱动的PubMed中文搜索引擎

马上搜索

文档翻译

学术文献翻译模型,支持多种主流文档格式。

立即体验