Suppr超能文献

伴有淋巴样间质的微结节性胸腺瘤:一例报告并文献复习

Micronodular thymic tumor with lymphoid stroma: A case report and review of the literature.

作者信息

Wang Bei, Li Kai, Song Qing-Kun, Wang Xiu-Hong, Yang Lei, Zhang Hong-Lei, Zhong Ding-Rong

机构信息

Department of Pathology, China-Japan Friendship Hospital, Beijing 100029, China.

Department of Surgical Oncology, Beijing Shijitan Hospital, Capital Medical University, Beijing 100038, China.

出版信息

World J Clin Cases. 2019 Dec 6;7(23):4063-4074. doi: 10.12998/wjcc.v7.i23.4063.

Abstract

BACKGROUND

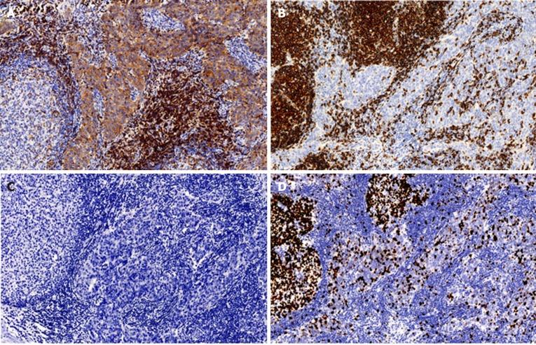
Micronodular thymic tumors with lymphoid stroma include micronodular thymoma with lymphoid stroma (MNT) and micronodular thymic carcinoma with lymphoid hyperplasia (MNC), whose micromorphological features are lymphoid stromal hyperplasia and nodular arrangement of tumor epithelial cells. This type of tumor is rare; therefore, the corresponding clinical guidelines, histopathological diagnostic criteria, prognostic factors, and therapeutic regimens have not been established.

CASE SUMMARY

This study covers a novel presentation of MNC in a patient and summarizes the clinicopathological characteristics of this type of tumor by using pooled-analysis methods. Morphologically, this tumor type is a series of benign to malignant pedigrees. We establish the following criteria for the classification of micronodular thymic tumors with lymphoid stroma: (1) Tumor cells with moderate-to-severe dysplasia; (2) Tumor cell mitotic figures > 2/10 high-power fields; (3) Appearance of neoplastic necrosis; (4) No terminal deoxynucleotidyl transferase-positive immature T lymphocytes within the tumor; (5) Tumor cells with a Ki-67 index ≥ 10%; and (6) Tumor cells express CD5. Cases that fall into the borders of two categories in terms of morphology are attributed to atypical MNT. It is proposed that the diagnosis of MNT should be established on the diagnostic criteria mentioned above.

CONCLUSION

Our diagnostic algorithm can effectively distinguish malignant tumors from benign tumors and provides a potent basis for predicting a prognosis, which offers a practical reference for oncologists and pathologists.

摘要

背景

伴有淋巴样间质的微结节性胸腺肿瘤包括伴有淋巴样间质的微结节性胸腺瘤(MNT)和伴有淋巴样增生的微结节性胸腺癌(MNC),其微观形态特征为淋巴样间质增生和肿瘤上皮细胞的结节状排列。这类肿瘤较为罕见;因此,相应的临床指南、组织病理学诊断标准、预后因素及治疗方案尚未确立。

病例摘要

本研究涵盖了1例MNC的新病例,并采用汇总分析方法总结了这类肿瘤的临床病理特征。形态学上,这类肿瘤是一系列从良性到恶性的谱系。我们制定了以下伴有淋巴样间质的微结节性胸腺肿瘤的分类标准:(1)肿瘤细胞有中度至重度发育异常;(2)肿瘤细胞有丝分裂象>2/10高倍视野;(3)出现肿瘤性坏死;(4)肿瘤内无末端脱氧核苷酸转移酶阳性的未成熟T淋巴细胞;(5)肿瘤细胞Ki-67指数≥10%;(6)肿瘤细胞表达CD5。形态学上处于两类边界的病例归为非典型MNT。建议根据上述诊断标准建立MNT的诊断。

结论

我们的诊断算法能有效区分恶性肿瘤和良性肿瘤,并为预测预后提供有力依据,为肿瘤学家和病理学家提供了实用参考。

https://cdn.ncbi.nlm.nih.gov/pmc/blobs/5fe6/6906565/c930bd7a4792/WJCC-7-4063-g001.jpg

文献AI研究员

20分钟写一篇综述,助力文献阅读效率提升50倍。

立即体验

用中文搜PubMed

大模型驱动的PubMed中文搜索引擎

马上搜索

文档翻译

学术文献翻译模型,支持多种主流文档格式。

立即体验