• 文献检索
  • 文档翻译
  • 深度研究
  • 学术资讯
  • Suppr Zotero 插件Zotero 插件
  • 邀请有礼
  • 套餐&价格
  • 历史记录
应用&插件
Suppr Zotero 插件Zotero 插件浏览器插件Mac 客户端Windows 客户端微信小程序
定价
高级版会员购买积分包购买API积分包
服务
文献检索文档翻译深度研究API 文档MCP 服务
关于我们
关于 Suppr公司介绍联系我们用户协议隐私条款
关注我们

Suppr 超能文献

核心技术专利:CN118964589B侵权必究
粤ICP备2023148730 号-1Suppr @ 2026

文献检索

告别复杂PubMed语法,用中文像聊天一样搜索,搜遍4000万医学文献。AI智能推荐,让科研检索更轻松。

立即免费搜索

文件翻译

保留排版,准确专业,支持PDF/Word/PPT等文件格式,支持 12+语言互译。

免费翻译文档

深度研究

AI帮你快速写综述,25分钟生成高质量综述,智能提取关键信息,辅助科研写作。

立即免费体验

一名成年流感患者出现伴有可逆性胼胝体压部病变的轻度脑炎/脑病

Mild Encephalitis/Encephalopathy with a Reversible Splenial Lesion in an Adult Patient with Influenza.

作者信息

Takatsu Hana, Ishimaru Naoto, Ito Madoka, Kinami Saori

机构信息

Department of General Internal Medicine, Akashi Medical Center, Japan.

出版信息

Intern Med. 2017 Nov 15;56(22):3093-3095. doi: 10.2169/internalmedicine.8997-17. Epub 2017 Sep 25.

DOI:10.2169/internalmedicine.8997-17
PMID:28943565
原文链接:https://pmc.ncbi.nlm.nih.gov/articles/PMC5725867/
Abstract

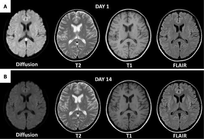
We herein report the case of a 31-year-old Japanese woman who developed adult-onset clinically mild encephalitis/encephalopathy with a reversible splenial lesion (MERS) and presented with consciousness disorder and olfactory disturbance secondary to influenza A infection. The patient's neurological symptoms and the lesion in the splenium resolved within 14 days without therapy. Magnetic resonance images and the clinical course were consistent with a diagnosis of MERS; however, mental changes following the influenza infection always present a diagnostic dilemma for physicians. We considered various diagnoses, including viral encephalitis, medication-related encephalopathy, and MERS. A comprehensive assessment may be required to diagnose MERS, since it may mimic other neurological diseases, such as viral encephalitis and medication-related encephalopathy.

摘要

我们在此报告一例31岁的日本女性病例,该患者患成人起病的临床症状较轻的伴有可逆性胼胝体压部病变的脑炎/脑病(MERS),继发于甲型流感感染后出现意识障碍和嗅觉障碍。患者的神经症状和胼胝体压部的病变在未经治疗的情况下于14天内消退。磁共振成像和临床病程与MERS的诊断相符;然而,流感感染后的精神变化总是给医生带来诊断难题。我们考虑了各种诊断,包括病毒性脑炎、药物相关性脑病和MERS。由于MERS可能模仿其他神经系统疾病,如病毒性脑炎和药物相关性脑病,因此可能需要进行全面评估以诊断MERS。

https://cdn.ncbi.nlm.nih.gov/pmc/blobs/2369/5725867/cf8455ebec97/1349-7235-56-3093-g001.jpg
https://cdn.ncbi.nlm.nih.gov/pmc/blobs/2369/5725867/cf8455ebec97/1349-7235-56-3093-g001.jpg
https://cdn.ncbi.nlm.nih.gov/pmc/blobs/2369/5725867/cf8455ebec97/1349-7235-56-3093-g001.jpg

相似文献

1
Mild Encephalitis/Encephalopathy with a Reversible Splenial Lesion in an Adult Patient with Influenza.一名成年流感患者出现伴有可逆性胼胝体压部病变的轻度脑炎/脑病
Intern Med. 2017 Nov 15;56(22):3093-3095. doi: 10.2169/internalmedicine.8997-17. Epub 2017 Sep 25.
2
Mild encephalopathy with reversible splenial lesion in a patient with influenza A infection--first report in an adult patient in the USA.甲型流感感染患者出现轻度脑病伴可逆性胼胝体压部病变——美国首例成年患者报告
BMJ Case Rep. 2015 Jun 2;2015:bcr2015210197. doi: 10.1136/bcr-2015-210197.
3
Transient hemiparesis and hemianesthesia in an atypical case of adult-onset clinically mild encephalitis/ encephalopathy with a reversible splenial lesion associated with adenovirus infection.成人起病的临床轻度脑炎/脑病伴可逆性胼胝体病变合并腺病毒感染的非典型病例中的短暂性偏瘫和偏身感觉障碍
Intern Med. 2014;53(11):1183-5. doi: 10.2169/internalmedicine.53.1966. Epub 2014 Jun 1.
4
Mild encephalitis/encephalopathy with a reversible splenial lesion associated with systemic Mycoplasma pneumoniae infection in North America: a case report.北美与全身肺炎支原体感染相关的轻度脑炎/脑病伴可逆胼胝体病变:一例病例报告。
J Med Case Rep. 2022 Feb 20;16(1):74. doi: 10.1186/s13256-022-03299-6.
5
Mild encephalitis/encephalopathy with reversible splenial lesion (MERS) in adults-a case report and literature review.成人轻度脑炎/脑病伴可逆性胼胝体压部病变(MERS)——病例报告及文献综述
BMC Neurol. 2017 May 25;17(1):103. doi: 10.1186/s12883-017-0875-5.
6
Kleine-Levin syndrome elicited by encephalopathy with reversible splenial lesion.伴有可逆性胼胝体压部病变的脑病引发的克莱恩-莱文综合征
Pediatr Int. 2017 Aug;59(8):929-931. doi: 10.1111/ped.13326.
7
Is a reversible splenial lesion a sign of encephalopathy?可逆性胼胝体病变是脑病的一个迹象吗?
Pediatr Neurol. 2009 Aug;41(2):143-5. doi: 10.1016/j.pediatrneurol.2009.02.019.
8
Adult-onset of mild encephalitis/encephalopathy with reversible splenial lesion (MERS): case report and systematic review.成人发作性轻度脑炎/脑病伴可逆性胼胝体压部病变(MERS):病例报告和系统评价。
Neurol Sci. 2024 Nov;45(11):5189-5199. doi: 10.1007/s10072-024-07627-0. Epub 2024 Jun 21.
9
Reversible splenial lesion syndrome associated with encephalitis/encephalopathy presenting with great clinical heterogeneity.与脑炎/脑病相关的可逆性胼胝体压部病变综合征,临床表现具有高度异质性。
BMC Neurol. 2016 Apr 18;16:49. doi: 10.1186/s12883-016-0572-9.
10
Reversible splenial lesion associated with novel influenza A (H1N1) viral infection.与新型甲型 H1N1 流感病毒感染相关的可逆性胼胝体病变。
Pediatr Neurol. 2010 Jun;42(6):447-50. doi: 10.1016/j.pediatrneurol.2010.01.017.

引用本文的文献

1
Case report: Reversible splenial lesion syndrome caused by diquat poisoning.病例报告:敌草快中毒所致可逆性胼胝体病变综合征
Front Neurol. 2023 Aug 17;14:1178272. doi: 10.3389/fneur.2023.1178272. eCollection 2023.
2
Mild Encephalopathy/Encephalitis With a Reversible Splenial Lesion (MERS) and Longitudinally Extensive Transverse Myelitis (LETM) in Influenza B: Neurotropic Mechanisms and Diagnostic Challenges.乙型流感中的轻度脑病/伴有可逆性胼胝体病变的脑炎(MERS)和纵向广泛横贯性脊髓炎(LETM):嗜神经机制与诊断挑战
Cureus. 2022 Oct 25;14(10):e30681. doi: 10.7759/cureus.30681. eCollection 2022 Oct.
3
Magnetic resonance imaging findings in COVID-19-related anosmia.

本文引用的文献

1
Reversible splenial lesion syndrome associated with encephalitis/encephalopathy presenting with great clinical heterogeneity.与脑炎/脑病相关的可逆性胼胝体压部病变综合征,临床表现具有高度异质性。
BMC Neurol. 2016 Apr 18;16:49. doi: 10.1186/s12883-016-0572-9.
2
Analysis of a child who developed abnormal neuropsychiatric symptoms after administration of oseltamivir: a case report.一名儿童在服用奥司他韦后出现异常神经精神症状的分析:病例报告
BMC Neurol. 2015 Aug 5;15:130. doi: 10.1186/s12883-015-0393-2.
3
Mild encephalopathy with reversible splenial lesion in a patient with influenza A infection--first report in an adult patient in the USA.
COVID-19 相关嗅觉丧失的磁共振成像表现。
Turk J Med Sci. 2022 Oct;52(5):1506-1512. doi: 10.55730/1300-0144.5490. Epub 2022 Oct 19.
4
Japanese Spotted Fever Associated with Mild Encephalitis/Encephalopathy with a Reversible Splenial Lesion.伴有可逆性胼胝体病变的轻度脑炎/脑病的日本斑点热。
Intern Med. 2023 Mar 15;62(6):935-938. doi: 10.2169/internalmedicine.9685-22. Epub 2022 Aug 10.
5
Reversible Splenial Lesion Syndrome with Some Novel Causes and Clinical Manifestations.可逆性顶叶病变综合征:一些新病因与临床表现。
Intern Med. 2020 Oct 15;59(20):2471-2480. doi: 10.2169/internalmedicine.4516-20. Epub 2020 Jun 30.
6
Mild encephalitis/encephalopathy with a reversible splenial lesion secondary to encephalitis complicated by hyponatremia: A case report and literature review.轻度脑炎/脑病伴可逆性胼胝体压部病变继发于脑炎合并低钠血症:一例报告及文献复习
Medicine (Baltimore). 2019 Nov;98(47):e17982. doi: 10.1097/MD.0000000000017982.
7
Reversible lesion in the splenium of the corpus callosum.胼胝体压部可逆性病变。
Brain Behav. 2019 Nov;9(11):e01440. doi: 10.1002/brb3.1440. Epub 2019 Oct 6.
8
Clinically Mild Encephalitis/Encephalopathy with a Reversible Splenial Lesion due to Legionella pneumonia.因军团菌肺炎导致的伴可逆性胼胝体压部病变的临床轻度脑炎/脑病
Intern Med. 2018 Oct 1;57(19):2911-2912. doi: 10.2169/internalmedicine.0928-18. Epub 2018 May 18.
甲型流感感染患者出现轻度脑病伴可逆性胼胝体压部病变——美国首例成年患者报告
BMJ Case Rep. 2015 Jun 2;2015:bcr2015210197. doi: 10.1136/bcr-2015-210197.
4
Transient hemiparesis and hemianesthesia in an atypical case of adult-onset clinically mild encephalitis/ encephalopathy with a reversible splenial lesion associated with adenovirus infection.成人起病的临床轻度脑炎/脑病伴可逆性胼胝体病变合并腺病毒感染的非典型病例中的短暂性偏瘫和偏身感觉障碍
Intern Med. 2014;53(11):1183-5. doi: 10.2169/internalmedicine.53.1966. Epub 2014 Jun 1.
5
A reversible lesion of the corpus callosum splenium with adult influenza-associated encephalitis/encephalopathy: a case report.成人流感相关性脑炎/脑病伴胼胝体压部可逆性病变:一例报告
J Med Case Rep. 2008 Jun 28;2:220. doi: 10.1186/1752-1947-2-220.
6
Influenza-associated central nervous system dysfunction: a literature review.流感相关的中枢神经系统功能障碍:文献综述
Travel Med Infect Dis. 2008 May;6(3):114-24. doi: 10.1016/j.tmaid.2008.03.003. Epub 2008 May 7.
7
Transient splenial lesion of the corpus callosum in clinically mild influenza-associated encephalitis/encephalopathy.临床症状轻微的流感相关脑炎/脑病中胼胝体的短暂性胼胝体病变
AJNR Am J Neuroradiol. 2006 Oct;27(9):1983-6.
8
Clinically mild encephalitis/encephalopathy with a reversible splenial lesion.伴有可逆性胼胝体压部病变的临床轻度脑炎/脑病
Neurology. 2004 Nov 23;63(10):1854-8. doi: 10.1212/01.wnl.0000144274.12174.cb.
9
Hypothetical pathophysiology of acute encephalopathy and encephalitis related to influenza virus infection and hypothermia therapy.与流感病毒感染及低温治疗相关的急性脑病和脑炎的假设病理生理学
Pediatr Int. 2000 Apr;42(2):197-203. doi: 10.1046/j.1442-200x.2000.01204.x.