• 文献检索
  • 文档翻译
  • 深度研究
  • 学术资讯
  • Suppr Zotero 插件Zotero 插件
  • 邀请有礼
  • 套餐&价格
  • 历史记录
应用&插件
Suppr Zotero 插件Zotero 插件浏览器插件Mac 客户端Windows 客户端微信小程序
定价
高级版会员购买积分包购买API积分包
服务
文献检索文档翻译深度研究API 文档MCP 服务
关于我们
关于 Suppr公司介绍联系我们用户协议隐私条款
关注我们

Suppr 超能文献

核心技术专利:CN118964589B侵权必究
粤ICP备2023148730 号-1Suppr @ 2026

文献检索

告别复杂PubMed语法,用中文像聊天一样搜索,搜遍4000万医学文献。AI智能推荐,让科研检索更轻松。

立即免费搜索

文件翻译

保留排版,准确专业,支持PDF/Word/PPT等文件格式,支持 12+语言互译。

免费翻译文档

深度研究

AI帮你快速写综述,25分钟生成高质量综述,智能提取关键信息,辅助科研写作。

立即免费体验

乙型流感中的轻度脑病/伴有可逆性胼胝体病变的脑炎(MERS)和纵向广泛横贯性脊髓炎(LETM):嗜神经机制与诊断挑战

Mild Encephalopathy/Encephalitis With a Reversible Splenial Lesion (MERS) and Longitudinally Extensive Transverse Myelitis (LETM) in Influenza B: Neurotropic Mechanisms and Diagnostic Challenges.

作者信息

Srichawla Bahadar S

机构信息

Department of Neurology, University of Massachusetts Chan Medical School, Worcester, USA.

出版信息

Cureus. 2022 Oct 25;14(10):e30681. doi: 10.7759/cureus.30681. eCollection 2022 Oct.

DOI:10.7759/cureus.30681
PMID:36426329
原文链接:https://pmc.ncbi.nlm.nih.gov/articles/PMC9681700/
Abstract

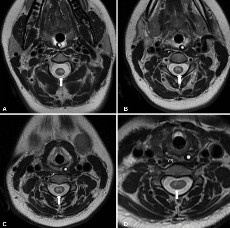
Mild encephalopathy/encephalitis with a reversible splenial lesion (MERS) and longitudinally extensive transverse myelitis (LETM) are neuroinflammatory conditions related to the brain and spinal cord, respectively. Most cases of MERS and LETM are related to a secondary autoimmune process in response to an initial insult (i.e., infection, immunization, etc.). The case of an 18-year-old female who developed a three-day history of fever, quadriplegia, cough, and mild encephalopathy is reported here. The patient tested positive for influenza B by nasopharyngeal swab with polymerase chain reaction (PCR). Initial magnetic resonance imaging (MRI) revealed the presence of a diffusion-restricted non-enhancing lesion confined to the splenium of the corpus callosum (MERS type I) and longitudinally extensive non-enhancing T2 hyperintensities from C1 to C5. The patient was managed with a five-day course of 1,000 mg of intravenous methylprednisolone (IVMP). Additionally, five days of therapeutic plasmapheresis (PLEX) was completed. The patient showed significant improvement with medical management and physical therapy. At the one-year follow-up, her motor symptoms had resolved and endorsed only mild paresthesia in the upper extremities. A repeat MRI revealed a reversal of the splenium lesion and moderate improvement in T2 hyperintensities of the cervical cord. Assessing neuroinvasion of the influenza virus is difficult, and diagnostic challenges arise in determining primary infectious versus autoimmune-mediated neuroinflammation. A review of the literature on influenza infection with radiographic findings of MERS and LETM is included.

摘要

伴有可逆性胼胝体压部病变的轻度脑病/脑炎(MERS)和纵向广泛横贯性脊髓炎(LETM)分别是与脑和脊髓相关的神经炎症性疾病。大多数MERS和LETM病例与对初始损伤(即感染、免疫接种等)的继发性自身免疫过程有关。本文报告了一名18岁女性的病例,该患者出现了为期三天的发热、四肢瘫痪、咳嗽和轻度脑病症状。患者经鼻咽拭子聚合酶链反应(PCR)检测乙型流感呈阳性。初始磁共振成像(MRI)显示胼胝体压部存在一个扩散受限的无强化病变(I型MERS),以及从C1到C5的纵向广泛无强化T2高信号。患者接受了为期五天的1000毫克静脉注射甲泼尼龙(IVMP)治疗。此外,还完成了五天的治疗性血浆置换(PLEX)。患者在药物治疗和物理治疗后有显著改善。在一年的随访中,她的运动症状已消失,仅上肢有轻度感觉异常。复查MRI显示胼胝体压部病变逆转,颈髓T2高信号中度改善。评估流感病毒的神经侵袭很困难,在确定原发性感染与自身免疫介导的神经炎症方面存在诊断挑战。本文还对流感感染伴MERS和LETM影像学表现的文献进行了综述。

https://cdn.ncbi.nlm.nih.gov/pmc/blobs/5635/9681700/494290ed52e5/cureus-0014-00000030681-i04.jpg
https://cdn.ncbi.nlm.nih.gov/pmc/blobs/5635/9681700/c395fce886c3/cureus-0014-00000030681-i02.jpg
https://cdn.ncbi.nlm.nih.gov/pmc/blobs/5635/9681700/494290ed52e5/cureus-0014-00000030681-i04.jpg
https://cdn.ncbi.nlm.nih.gov/pmc/blobs/5635/9681700/c395fce886c3/cureus-0014-00000030681-i02.jpg
https://cdn.ncbi.nlm.nih.gov/pmc/blobs/5635/9681700/494290ed52e5/cureus-0014-00000030681-i04.jpg

相似文献

1
Mild Encephalopathy/Encephalitis With a Reversible Splenial Lesion (MERS) and Longitudinally Extensive Transverse Myelitis (LETM) in Influenza B: Neurotropic Mechanisms and Diagnostic Challenges.乙型流感中的轻度脑病/伴有可逆性胼胝体病变的脑炎(MERS)和纵向广泛横贯性脊髓炎(LETM):嗜神经机制与诊断挑战
Cureus. 2022 Oct 25;14(10):e30681. doi: 10.7759/cureus.30681. eCollection 2022 Oct.
2
Mild encephalitis/encephalopathy with a reversible splenial lesion associated with systemic Mycoplasma pneumoniae infection in North America: a case report.北美与全身肺炎支原体感染相关的轻度脑炎/脑病伴可逆胼胝体病变:一例病例报告。
J Med Case Rep. 2022 Feb 20;16(1):74. doi: 10.1186/s13256-022-03299-6.
3
Seropositive Neuromyelitis Optica in a Case of Undiagnosed Ankylosing Spondylitis: A Neuro-Rheumatological Conundrum.未确诊的强直性脊柱炎病例中的血清阳性视神经脊髓炎:一个神经风湿病学难题
Qatar Med J. 2022 Jul 7;2022(3):29. doi: 10.5339/qmj.2022.29. eCollection 2022.
4
Mild Encephalitis/Encephalopathy with a Reversible Splenial Lesion in an Adult Patient with Influenza.一名成年流感患者出现伴有可逆性胼胝体压部病变的轻度脑炎/脑病
Intern Med. 2017 Nov 15;56(22):3093-3095. doi: 10.2169/internalmedicine.8997-17. Epub 2017 Sep 25.
5
Mild encephalitis/encephalopathy with a reversible splenial lesion secondary to encephalitis complicated by hyponatremia: A case report and literature review.轻度脑炎/脑病伴可逆性胼胝体压部病变继发于脑炎合并低钠血症:一例报告及文献复习
Medicine (Baltimore). 2019 Nov;98(47):e17982. doi: 10.1097/MD.0000000000017982.
6
Mild encephalitis/encephalopathy with reversible splenial lesion (MERS) associated with Streptococcus pneumoniae Bacteraemia.与肺炎链球菌菌血症相关的轻度脑炎/脑病伴可逆性胼胝体压部病变(MERS)
J Infect Public Health. 2017 Jul-Aug;10(4):479-482. doi: 10.1016/j.jiph.2016.08.019. Epub 2016 Sep 15.
7
[A Case of Clinically Mild Encephalitis/encephalopathy with a Reversible Splenial Lesion due to Dengue Fever].[1例因登革热导致的临床症状轻微的脑炎/脑病合并可逆性胼胝体压部病变]
Kansenshogaku Zasshi. 2015 Jul;89(4):465-9. doi: 10.11150/kansenshogakuzasshi.89.465.
8
Transient blindness associated with mild encephalitis/encephalopathy with a reversible splenial lesion (MERS): a case report and review of literature.伴有可逆性胼胝体压部病变的轻微脑炎/脑病伴发一过性失明:病例报告及文献复习。
Ital J Pediatr. 2020 Oct 12;46(1):152. doi: 10.1186/s13052-020-00918-0.
9
The first pediatric case of mild encephalitis/encephalopathy with a reversible splenial lesion (MERS) associated with Neisseria meningitidis.首例与脑膜炎奈瑟菌相关的轻度脑炎/脑病伴可逆性胼胝体病变(MERS)的儿科病例。
Brain Dev. 2022 Feb;44(2):184-188. doi: 10.1016/j.braindev.2021.09.002. Epub 2021 Sep 22.
10
Clinically mild encephalitis/encephalopathy with a reversible splenial lesion associated with Mycoplasma pneumoniae infection.与肺炎支原体感染相关的伴有可逆性胼胝体压部病变的临床轻度脑炎/脑病。
BMC Infect Dis. 2016 May 26;16:230. doi: 10.1186/s12879-016-1556-5.

引用本文的文献

1
Influenza B-induced longitudinally extensive transverse myelitis and bithalamic acute disseminated encephalomyelitis.乙型流感诱发的纵向广泛横贯性脊髓炎和双侧丘脑急性播散性脑脊髓炎。
Neurol Sci. 2024 Mar;45(3):1299-1301. doi: 10.1007/s10072-023-07127-7. Epub 2023 Oct 17.
2
Polyarteritis Nodosa Following mRNA-1273 COVID-19 Vaccination: Case Study and Review of Immunological Mechanisms.mRNA-1273新冠疫苗接种后发生的结节性多动脉炎:病例研究及免疫机制综述
Cureus. 2023 Jan 10;15(1):e33620. doi: 10.7759/cureus.33620. eCollection 2023 Jan.

本文引用的文献

1
Extensive Longitudinal Transverse Myelitis after Influenza A Virus Infection in a Patient with Systemic Lupus Erythematosus.一名系统性红斑狼疮患者感染甲型流感病毒后发生广泛纵向横贯性脊髓炎
Case Rep Rheumatol. 2022 Jan 7;2022:9506733. doi: 10.1155/2022/9506733. eCollection 2022.
2
Myelitis and Other Autoimmune Myelopathies.脊髓炎和其他自身免疫性脊髓病。
Continuum (Minneap Minn). 2021 Feb 1;27(1):62-92. doi: 10.1212/CON.0000000000000900.
3
Evidence of Coronavirus (CoV) Pathogenesis and Emerging Pathogen SARS-CoV-2 in the Nervous System: A Review on Neurological Impairments and Manifestations.
新型冠状病毒(CoV)在神经系统中的发病机制和新兴病原体 SARS-CoV-2 的证据:神经系统损伤和表现的综述。
J Mol Neurosci. 2021 Nov;71(11):2192-2209. doi: 10.1007/s12031-020-01767-6. Epub 2021 Jan 19.
4
Acute Influenza Encephalitis/Encephalopathy Associated with Influenza A in an Incompetent Adult.一名功能不全成人中与甲型流感相关的急性流感脑炎/脑病
Case Rep Crit Care. 2020 Dec 22;2020:6616805. doi: 10.1155/2020/6616805. eCollection 2020.
5
Understanding the neurotropic characteristics of SARS-CoV-2: from neurological manifestations of COVID-19 to potential neurotropic mechanisms.了解 SARS-CoV-2 的神经嗜性特征:从 COVID-19 的神经系统表现到潜在的神经嗜性机制。
J Neurol. 2020 Aug;267(8):2179-2184. doi: 10.1007/s00415-020-09929-7. Epub 2020 May 26.
6
Mild encephalitis/encephalopathy with a reversible splenial lesion (MERS) following influenza virus infection.流感病毒感染后伴可逆性胼胝体压部病变的轻度脑炎/脑病(MERS)
BMJ Case Rep. 2020 May 11;13(5):e235461. doi: 10.1136/bcr-2020-235461.
7
Typical MRI Imaging with Clinically Mild Encephalitis/Encephalopathy of a Reversible Splenial Lesion (MERS) Caused by Influenza A Virus.甲型流感病毒引起的具有可逆性胼胝体病变的临床轻度脑炎/脑病(MERS)的典型磁共振成像
Iran J Public Health. 2020 Jan;49(1):191-192.
8
The Spectrum of Acute Disseminated Encephalomyelitis and Mild Encephalopathy with Reversible Splenial Lesion.急性播散性脑脊髓炎与伴可逆性胼胝体病变的轻度脑病的谱系
Case Rep Neurol Med. 2019 Oct 17;2019:9272074. doi: 10.1155/2019/9272074. eCollection 2019.
9
Viruses and Autoimmunity: A Review on the Potential Interaction and Molecular Mechanisms.病毒与自身免疫:潜在相互作用和分子机制的综述。
Viruses. 2019 Aug 19;11(8):762. doi: 10.3390/v11080762.
10
Mild encephalitis/encephalopathy with reversible splenial lesion: A little-known entity with favourable prognosis.
Neurologia (Engl Ed). 2020 Oct;35(8):581-583. doi: 10.1016/j.nrl.2019.03.006. Epub 2019 Jun 29.