Suppr超能文献

雷公藤内酯醇抑制成骨细胞 MC3T3-E1 细胞的增殖、分化并诱导其凋亡。

Triptolide inhibits proliferation, differentiation and induces apoptosis of osteoblastic MC3T3‑E1 cells.

机构信息

Department of Rheumatology and Immunology, Affiliated Hospital of Nanjing University of Traditional Chinese Medicine, Nanjing, Jiangsu 210029, P.R. China.

Laboratory of Clinical Pharmacology, Affiliated Hospital of Nanjing University of Traditional Chinese Medicine, Nanjing, Jiangsu 210029, P.R. China.

出版信息

Mol Med Rep. 2017 Nov;16(5):7391-7397. doi: 10.3892/mmr.2017.7568. Epub 2017 Sep 21.

Abstract

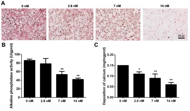
Ankylosing spondylitis (AS) is characterized by the formation of bony spurs. Treatment of the resulting ankylosis, excessive bone formation and associated functional impairment, remain the primary therapeutic aims in research regarding this condition. Triptolide is the primary active component of the perennial vine Tripterygium wilfordii Hook. f., and has previously been demonstrated to exert anti‑tumor activities including inhibition of cell growth and the induction of apoptosis, however, the effect of triptolide on osteoblasts remains to be elucidated. In the present study, the MC3T3‑E1 mouse osteoblast cell line was treated with differing concentrations of triptolide for various intervals. Cell proliferation was detected using the bromodeoxyuridine assay, cell cycle and apoptosis were measured by flow cytometry, nuclear apoptosis was observed by Hoechst staining and associated proteins were determined via western blot analysis. The cells were then further incubated with osteogenic induction medium supplemented with triptolide for 7 or 12 days and the differentiation to osteoblasts was examined by picrosirius staining, observation of alkaline phosphatase activity and a calcium deposition assay. It was demonstrated that treatment with triptolide significantly inhibited osteoblast proliferation and induced cell cycle arrest and apoptosis of the osteoblasts. Furthermore, treatment with triptolide reduced collagen formation, alkaline phosphatase activity and calcium deposition. The present study demonstrated an inhibitory effect of triptolide on osteoblast proliferation and differentiation, and therefore suggests a potential therapeutic agent for the treatment of AS in the future.

摘要

强直性脊柱炎(AS)的特征是骨赘的形成。治疗由此导致的关节强直、过度骨形成和相关的功能障碍,仍然是该疾病研究的主要治疗目标。雷公藤红素是多年生藤本植物雷公藤(Tripterygium wilfordii Hook. f.)的主要活性成分,先前已被证实具有抗肿瘤活性,包括抑制细胞生长和诱导细胞凋亡,然而,雷公藤红素对成骨细胞的影响仍有待阐明。在本研究中,使用不同浓度的雷公藤红素处理 MC3T3-E1 小鼠成骨细胞系不同时间。通过溴脱氧尿苷测定法检测细胞增殖,通过流式细胞术测量细胞周期和细胞凋亡,通过 Hoechst 染色观察核凋亡,并通过 Western blot 分析测定相关蛋白。然后,将细胞在含有雷公藤红素的成骨诱导培养基中进一步孵育 7 或 12 天,并通过苦味酸染色、碱性磷酸酶活性观察和钙沉积测定来检查成骨细胞的分化。结果表明,雷公藤红素处理显著抑制成骨细胞增殖,并诱导成骨细胞周期停滞和凋亡。此外,雷公藤红素处理降低了胶原蛋白的形成、碱性磷酸酶活性和钙沉积。本研究表明雷公藤红素对成骨细胞增殖和分化具有抑制作用,因此提示其可能成为未来治疗 AS 的一种治疗药物。

https://cdn.ncbi.nlm.nih.gov/pmc/blobs/c86d/5865870/855df7aad40e/mmr-16-05-7391-g00.jpg

相似文献

1
Triptolide inhibits proliferation, differentiation and induces apoptosis of osteoblastic MC3T3‑E1 cells.
Mol Med Rep. 2017 Nov;16(5):7391-7397. doi: 10.3892/mmr.2017.7568. Epub 2017 Sep 21.
2
Triptolide inhibits cell proliferation and tumorigenicity of human neuroblastoma cells.
Mol Med Rep. 2015 Feb;11(2):791-6. doi: 10.3892/mmr.2014.2814. Epub 2014 Oct 29.
4
Caspase 3 is involved in the apoptosis induced by triptolide in HK-2 cells.
Toxicol In Vitro. 2009 Jun;23(4):598-602. doi: 10.1016/j.tiv.2009.01.021. Epub 2009 Feb 20.
5
Triptolide suppresses growth and hormone secretion in murine pituitary corticotroph tumor cells via NF-kappaB signaling pathway.
Biomed Pharmacother. 2017 Nov;95:771-779. doi: 10.1016/j.biopha.2017.08.127. Epub 2017 Sep 8.
7
Triptolide inhibits Bcr-Abl transcription and induces apoptosis in STI571-resistant chronic myelogenous leukemia cells harboring T315I mutation.
Clin Cancer Res. 2009 Mar 1;15(5):1686-97. doi: 10.1158/1078-0432.CCR-08-2141. Epub 2009 Feb 24.
8
The Inhibition Effect of Triptolide on Human Endometrial Carcinoma Cell Line HEC-1B: a in vitro and in vivo Studies.
Asian Pac J Cancer Prev. 2015;16(11):4571-6. doi: 10.7314/apjcp.2015.16.11.4571.

引用本文的文献

1
Jianpi Qingre Tongluo Decoction exerted an anti-inflammatory effect on AS by inhibiting the NONHSAT227927.1/JAK2/STAT3 axis.
Heliyon. 2024 Jul 14;10(14):e34634. doi: 10.1016/j.heliyon.2024.e34634. eCollection 2024 Jul 30.
2
Triptolide alleviates the development of inflammation in ankylosing spondylitis via the NONHSAT227927.1/JAK2/STAT3 pathway.
Exp Ther Med. 2023 Nov 16;27(1):17. doi: 10.3892/etm.2023.12305. eCollection 2024 Jan.
3
Human cells with osteogenic potential in bone tissue research.
Biomed Eng Online. 2023 Apr 3;22(1):33. doi: 10.1186/s12938-023-01096-w.
6
8
Effects Of Triptolide On Tooth Movement And Root Resorption In Rats.
Drug Des Devel Ther. 2019 Nov 25;13:3963-3975. doi: 10.2147/DDDT.S217936. eCollection 2019.

本文引用的文献

3
Synergistic anticancer effects of triptolide and celastrol, two main compounds from thunder god vine.
Oncotarget. 2015 Oct 20;6(32):32790-804. doi: 10.18632/oncotarget.5411.
5
Triptolide abrogates growth of colon cancer and induces cell cycle arrest by inhibiting transcriptional activation of E2F.
Lab Invest. 2015 Jun;95(6):648-659. doi: 10.1038/labinvest.2015.46. Epub 2015 Apr 20.
7
Triptolide, a diterpene, inhibits osteoclastogenesis, induced by RANKL signaling and human cancer cells.
Biochimie. 2014 Oct;105:129-36. doi: 10.1016/j.biochi.2014.07.003. Epub 2014 Jul 15.
8
Triptolide Prevents Bone Destruction in the Collagen-Induced Arthritis Model of Rheumatoid Arthritis by Targeting RANKL/RANK/OPG Signal Pathway.
Evid Based Complement Alternat Med. 2013;2013:626038. doi: 10.1155/2013/626038. Epub 2013 Mar 12.
9
Triptolide inhibits proliferation and invasion of malignant glioma cells.
J Neurooncol. 2012 Aug;109(1):53-62. doi: 10.1007/s11060-012-0885-5. Epub 2012 May 5.
10
Effect of triptolide on T-cell receptor beta variable gene mRNA expression in rats with collagen-induced arthritis.
Anat Rec (Hoboken). 2012 Jun;295(6):922-7. doi: 10.1002/ar.22479. Epub 2012 Apr 27.

文献AI研究员

20分钟写一篇综述,助力文献阅读效率提升50倍。

立即体验

用中文搜PubMed

大模型驱动的PubMed中文搜索引擎

马上搜索

文档翻译

学术文献翻译模型,支持多种主流文档格式。

立即体验