Soluk Tekkesin Merva, Erdem Mehmet Ali, Ozer Nedim, Olgac Vakur
Department of Tumor Pathology, Institute of Oncology, Istanbul University, Turkey.
Department of Oral and Maxillofacial Surgery, Faculty of Dentistry, Istanbul University, Turkey.
J Istanb Univ Fac Dent. 2015 Jan 31;49(1):56-60. doi: 10.17096/jiufd.38386. eCollection 2015.
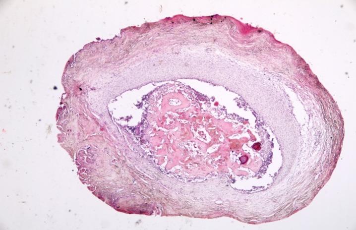
This paper aims to present both intraosseous and extraosseous variant of dentinogenic ghost cell tumor as well as a review of the literature. An 11-year old female patient presented a swelling and pain in the molar area of the mandible and a 15-year-old female patient reported a complaint of swelling in the right vestibular region of teeth 12 and 13(FDI 2-digit classification system). Microscopic examinations showed similar features which characterized by ameloblastoma-like islands of epithelial cells, containing numerous ghost cells. The patients have been disease-free for one year. This paper aims to describe this rare tumor and to increase the number of cases in the literature to better understand its biologic behavior and treatment options.
本文旨在介绍牙源性影细胞肿瘤的骨内和骨外变异型,并对相关文献进行综述。一名11岁女性患者下颌磨牙区出现肿胀和疼痛,一名15岁女性患者报告12和13号牙(FDI两位数分类系统)右侧前庭区肿胀。显微镜检查显示出相似特征,其特点是上皮细胞呈成釉细胞瘤样岛状,含有大量影细胞。患者已无病生存一年。本文旨在描述这种罕见肿瘤,并增加文献中的病例数量,以更好地了解其生物学行为和治疗选择。