• 文献检索
  • 文档翻译
  • 深度研究
  • 学术资讯
  • Suppr Zotero 插件Zotero 插件
  • 邀请有礼
  • 套餐&价格
  • 历史记录
应用&插件
Suppr Zotero 插件Zotero 插件浏览器插件Mac 客户端Windows 客户端微信小程序
定价
高级版会员购买积分包购买API积分包
服务
文献检索文档翻译深度研究API 文档MCP 服务
关于我们
关于 Suppr公司介绍联系我们用户协议隐私条款
关注我们

Suppr 超能文献

核心技术专利:CN118964589B侵权必究
粤ICP备2023148730 号-1Suppr @ 2026

文献检索

告别复杂PubMed语法,用中文像聊天一样搜索,搜遍4000万医学文献。AI智能推荐,让科研检索更轻松。

立即免费搜索

文件翻译

保留排版,准确专业,支持PDF/Word/PPT等文件格式,支持 12+语言互译。

免费翻译文档

深度研究

AI帮你快速写综述,25分钟生成高质量综述,智能提取关键信息,辅助科研写作。

立即免费体验

尸体脑和心脏组织中噬尸现象的进展。

Progression of thanatophagy in cadaver brain and heart tissues.

作者信息

Javan Gulnaz T, Kwon Insu, Finley Sheree J, Lee Youngil

机构信息

Forensic Science Program, Physical Sciences Department, Alabama State University, Montgomery, AL, United States.

Department of Exercise Science and Community Health, University of West Florida, Pensacola, FL, United States.

出版信息

Biochem Biophys Rep. 2015 Nov 18;5:152-159. doi: 10.1016/j.bbrep.2015.11.013. eCollection 2016 Mar.

DOI:10.1016/j.bbrep.2015.11.013
PMID:28955818
原文链接:https://pmc.ncbi.nlm.nih.gov/articles/PMC5600316/
Abstract

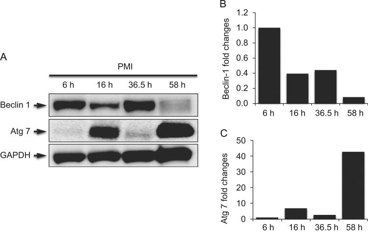
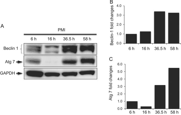
Autophagy is an evolutionarily conserved catabolic process for maintaining cellular homeostasis during both normal and stress conditions. Metabolic reprogramming in tissues of dead bodies is inevitable due to chronic ischemia and nutrient deprivation, which are well-known features that stimulate autophagy. Currently, it is not fully elucidated whether postmortem autophagy, also known as thanatophagy, occurs in dead bodies is a function of the time of death. In this study, we tested the hypothesis that thanatophagy would increase in proportion to time elapsed since death for tissues collected from cadavers. Brain and heart tissue from corpses at different time intervals after death were analyzed by Western blot. Densitometry analysis demonstrated that thanatophagy occurred in a manner that was dependent on the time of death. The autophagy-associated proteins, LC3 II, p62, Beclin-1 and Atg7, increased in a time-dependent manner in heart tissues. A potent inducer of autophagy, BNIP3, decreased in the heart tissues as time of death increased, whereas the protein levels increased in brain tissues. However, there was no expression of BNIP3 at extended postmortem intervals in both brain and heart samples. Collectively, the present study demonstrates for the first time that thanatophagy occurs in brain and heart tissues of cadavers in a time-dependent manner. Further, our data suggest that cerebral thanatophagy may occur in a Beclin-1- independent manner. This unprecedented study provides potential insight into thanatophagy as a novel method for the estimation of the time of death in criminal investigationsAbstract: Autophagy is an evolutionarily conserved catabolic process for maintaining cellular homeostasis during both normal and stress conditions. Metabolic reprogramming in tissues of dead bodies is inevitable due to chronic ischemia and nutrient deprivation, which are well-known features that stimulate autophagy. Currently, it is not fully elucidated whether postmortem autophagy, also known as thanatophagy, occurs in dead bodies is a function of the time of death. In this study, we tested the hypothesis that thanatophagy would increase in proportion to time elapsed since death for tissues collected from cadavers. Brain and heart tissue from corpses at different time intervals after death were analyzed by Western blot. Densitometry analysis demonstrated that thanatophagy occurred in a manner that was dependent on the time of death. The autophagy-associated proteins, LC3 II, p62, Beclin-1 and Atg7, increased in a time-dependent manner in heart tissues. A potent inducer of autophagy, BNIP3, decreased in the heart tissues as time of death increased, whereas the protein levels increased in brain tissues. However, there was no expression of BNIP3 at extended postmortem intervals in both brain and heart samples. Collectively, the present study demonstrates for the first time that thanatophagy occurs in brain and heart tissues of cadavers in a time-dependent manner. Further, our data suggest that cerebral thanatophagy may occur in a Beclin-1- independent manner. This unprecedented study provides potential insight into thanatophagy as a novel method for the estimation of the time of death in criminal investigations.

摘要

自噬是一种在正常和应激条件下维持细胞内稳态的进化保守分解代谢过程。由于慢性缺血和营养剥夺,尸体组织中的代谢重编程不可避免,而慢性缺血和营养剥夺是刺激自噬的众所周知的特征。目前,尚不完全清楚死后自噬(也称为死亡自噬)是否在尸体中发生以及是否是死亡时间的函数。在本研究中,我们测试了这样一个假设:对于从尸体采集的组织,死亡自噬会随着死亡时间的延长而成比例增加。通过蛋白质免疫印迹法分析了死后不同时间间隔尸体的脑和心脏组织。光密度分析表明,死亡自噬以依赖于死亡时间的方式发生。自噬相关蛋白LC3 II、p62、Beclin-1和Atg7在心脏组织中呈时间依赖性增加。自噬的强效诱导剂BNIP3在心脏组织中随着死亡时间的增加而减少,而在脑组织中蛋白质水平增加。然而,在脑和心脏样本中延长的死后间隔时间均未检测到BNIP3的表达。总的来说,本研究首次证明死亡自噬以时间依赖性方式发生在尸体的脑和心脏组织中。此外,我们的数据表明,脑死亡自噬可能以不依赖Beclin-1的方式发生。这项前所未有的研究为死亡自噬作为刑事调查中估计死亡时间的一种新方法提供了潜在的见解。摘要:自噬是一种在正常和应激条件下维持细胞内稳态的进化保守分解代谢过程。由于慢性缺血和营养剥夺,尸体组织中的代谢重编程不可避免,而慢性缺血和营养剥夺是刺激自噬的众所周知的特征。目前,尚不完全清楚死后自噬(也称为死亡自噬)是否在尸体中发生以及是否是死亡时间的函数。在本研究中,我们测试了这样一个假设:对于从尸体采集的组织,死亡自噬会随着死亡时间的延长而成比例增加。通过蛋白质免疫印迹法分析了死后不同时间间隔尸体的脑和心脏组织。光密度分析表明,死亡自噬以依赖于死亡时间的方式发生。自噬相关蛋白LC3 II、p62、Beclin-1和Atg7在心脏组织中呈时间依赖性增加。自噬的强效诱导剂BNIP3在心脏组织中随着死亡时间的增加而减少,而在脑组织中蛋白质水平增加。然而,在脑和心脏样本中延长的死后间隔时间均未检测到BNIP3的表达。总的来说,本研究首次证明死亡自噬以时间依赖性方式发生在尸体的脑和心脏组织中。此外,我们的数据表明,脑死亡自噬可能以不依赖Beclin-1的方式发生。这项前所未有的研究为死亡自噬作为刑事调查中估计死亡时间的一种新方法提供了潜在的见解。

https://cdn.ncbi.nlm.nih.gov/pmc/blobs/0dcd/5600316/9614e4cfade5/gr4.jpg
https://cdn.ncbi.nlm.nih.gov/pmc/blobs/0dcd/5600316/a1c239600478/gr1.jpg
https://cdn.ncbi.nlm.nih.gov/pmc/blobs/0dcd/5600316/d1dfc3b8e725/gr2.jpg
https://cdn.ncbi.nlm.nih.gov/pmc/blobs/0dcd/5600316/f4773f92edb1/gr3.jpg
https://cdn.ncbi.nlm.nih.gov/pmc/blobs/0dcd/5600316/9614e4cfade5/gr4.jpg
https://cdn.ncbi.nlm.nih.gov/pmc/blobs/0dcd/5600316/a1c239600478/gr1.jpg
https://cdn.ncbi.nlm.nih.gov/pmc/blobs/0dcd/5600316/d1dfc3b8e725/gr2.jpg
https://cdn.ncbi.nlm.nih.gov/pmc/blobs/0dcd/5600316/f4773f92edb1/gr3.jpg
https://cdn.ncbi.nlm.nih.gov/pmc/blobs/0dcd/5600316/9614e4cfade5/gr4.jpg

相似文献

1
Progression of thanatophagy in cadaver brain and heart tissues.尸体脑和心脏组织中噬尸现象的进展。
Biochem Biophys Rep. 2015 Nov 18;5:152-159. doi: 10.1016/j.bbrep.2015.11.013. eCollection 2016 Mar.
2
[Regulation of autophagy by GLT25D2 gene in acetaminophen-induced hepatotoxicity injury].[对乙酰氨基酚诱导的肝毒性损伤中GLT25D2基因对自噬的调控作用]
Zhonghua Wei Zhong Bing Ji Jiu Yi Xue. 2018 Sep;30(9):882-887. doi: 10.3760/cma.j.issn.2095-4352.2018.09.012.
3
Cardiac Kinetophagy Coincides with Activation of Anabolic Signaling.心肌细胞噬心现象与合成代谢信号的激活一致。
Med Sci Sports Exerc. 2016 Feb;48(2):219-26. doi: 10.1249/MSS.0000000000000774.
4
p53 mediates autophagy and cell death by a mechanism contingent on Bnip3.p53 通过一种依赖于 Bnip3 的机制介导自噬和细胞死亡。
Hypertension. 2013 Jul;62(1):70-7. doi: 10.1161/HYPERTENSIONAHA.113.01028. Epub 2013 May 6.
5
[Therapeutic hypothermia reduced brain damage on rats after cardiopulmonary resuscitation by activating III-type PI3K pathway to increase autophagy].[治疗性低温通过激活III型PI3K通路增加自噬来减轻大鼠心肺复苏后的脑损伤]
Zhonghua Wei Zhong Bing Ji Jiu Yi Xue. 2019 Jan;31(1):55-60. doi: 10.3760/cma.j.issn.2095-4352.2019.01.012.
6
Impaired autophagy and APP processing in Alzheimer's disease: The potential role of Beclin 1 interactome.阿尔茨海默病中自噬和 APP 处理受损:Beclin 1 相互作用组的潜在作用。
Prog Neurobiol. 2013 Jul-Aug;106-107:33-54. doi: 10.1016/j.pneurobio.2013.06.002. Epub 2013 Jul 1.
7
Estrogen and/or Estrogen Receptor α Inhibits BNIP3-Induced Apoptosis and Autophagy in H9c2 Cardiomyoblast Cells.雌激素和/或雌激素受体 α 抑制 H9c2 心肌细胞中 BNIP3 诱导的细胞凋亡和自噬。
Int J Mol Sci. 2018 Apr 26;19(5):1298. doi: 10.3390/ijms19051298.
8
Tissue kallikrein promotes survival and β-catenin degradation in SH-SY5Y cells under nutrient stress conditions via autophagy.组织激肽释放酶在营养应激条件下通过自噬促进SH-SY5Y细胞的存活及β-连环蛋白降解。
Mol Med Rep. 2016 Feb;13(2):1389-94. doi: 10.3892/mmr.2015.4664. Epub 2015 Dec 9.
9
Loss of VAPB Regulates Autophagy in a Beclin 1-Dependent Manner.VAPB 的缺失以 Beclin 1 依赖的方式调控自噬。
Neurosci Bull. 2018 Dec;34(6):1037-1046. doi: 10.1007/s12264-018-0276-9. Epub 2018 Aug 24.
10
[Changes in expression of autophagy-related proteins, Beclin-1 and LC3, and effects of rapamycin on their expression in hypoxic-ischemic hippocampus].[自噬相关蛋白Beclin-1和LC3在缺氧缺血性海马中的表达变化及雷帕霉素对其表达的影响]
Zhongguo Dang Dai Er Ke Za Zhi. 2015 Apr;17(4):400-4.

本文引用的文献

1
Neuroprotective Effect of Simvastatin via Inducing the Autophagy on Spinal Cord Injury in the Rat Model.辛伐他汀通过诱导自噬对大鼠脊髓损伤的神经保护作用
Biomed Res Int. 2015;2015:260161. doi: 10.1155/2015/260161. Epub 2015 Oct 11.
2
The apoptotic thanatotranscriptome associated with the liver of cadavers.与尸体肝脏相关的凋亡死亡转录组
Forensic Sci Med Pathol. 2015 Dec;11(4):509-16. doi: 10.1007/s12024-015-9704-6. Epub 2015 Aug 30.
3
Autophagy Portends the Level of Cardiac Hypertrophy in Experimental Hypertensive Swine Model.
自噬预示实验性高血压猪模型中心肌肥厚的程度。
Am J Hypertens. 2016 Jan;29(1):81-9. doi: 10.1093/ajh/hpv057. Epub 2015 Apr 22.
4
Nutrient-sensing mechanisms and pathways.营养感知机制与途径。
Nature. 2015 Jan 15;517(7534):302-10. doi: 10.1038/nature14190.
5
LC3- and p62-based biochemical methods for the analysis of autophagy progression in mammalian cells.基于LC3和p62的生化方法用于分析哺乳动物细胞中的自噬进程。
Methods. 2015 Mar;75:13-8. doi: 10.1016/j.ymeth.2014.11.021. Epub 2014 Dec 5.
6
Beclin 1 biology and its role in heart disease.贝克林1的生物学特性及其在心脏病中的作用。
Curr Cardiol Rev. 2015;11(3):229-37. doi: 10.2174/1573403x10666141106104606.
7
High expression of HIF-1α, BNIP3 and PI3KC3: hypoxia-induced autophagy predicts cholangiocarcinoma survival and metastasis.低氧诱导因子-1α、BNIP3和Ⅲ型磷脂酰肌醇3激酶的高表达:低氧诱导的自噬可预测胆管癌的生存和转移。
Asian Pac J Cancer Prev. 2014;15(14):5873-8. doi: 10.7314/apjcp.2014.15.14.5873.
8
Cannabinoid receptor 1 modulates the autophagic flux independent of mTOR- and BECLIN1-complex.大麻素受体1独立于mTOR和贝克林1复合物调节自噬通量。
J Neurochem. 2014 Nov;131(4):484-97. doi: 10.1111/jnc.12839. Epub 2014 Aug 26.
9
Prosurvival Bcl-2 family members affect autophagy only indirectly, by inhibiting Bax and Bak.促生存 Bcl-2 家族成员仅通过抑制 Bax 和 Bak 间接影响自噬。
Proc Natl Acad Sci U S A. 2014 Jun 10;111(23):8512-7. doi: 10.1073/pnas.1406425111. Epub 2014 May 27.
10
Induction of autophagy biomarker BNIP3 requires a JAK2/STAT3 and MT1-MMP signaling interplay in Concanavalin-A-activated U87 glioblastoma cells.在伴刀豆球蛋白A激活的U87胶质母细胞瘤细胞中,自噬生物标志物BNIP3的诱导需要JAK2/STAT3和MT1-MMP信号相互作用。
Cell Signal. 2014 May;26(5):917-24. doi: 10.1016/j.cellsig.2014.01.012. Epub 2014 Jan 22.